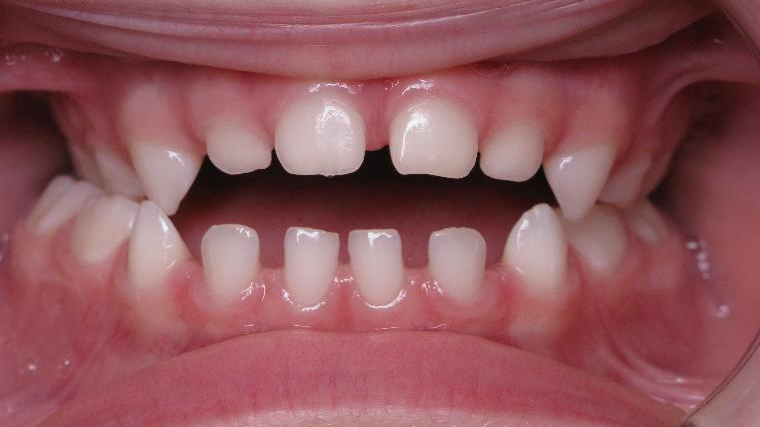
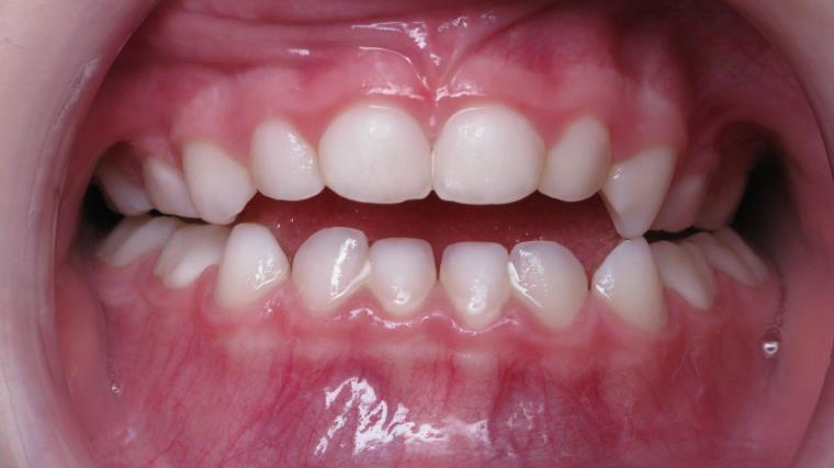
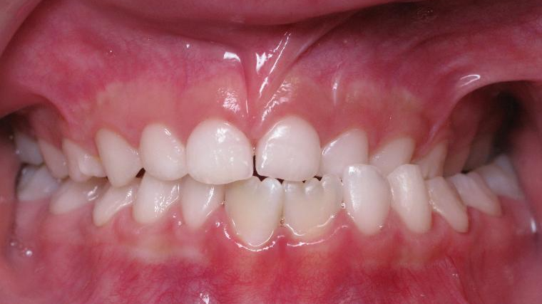
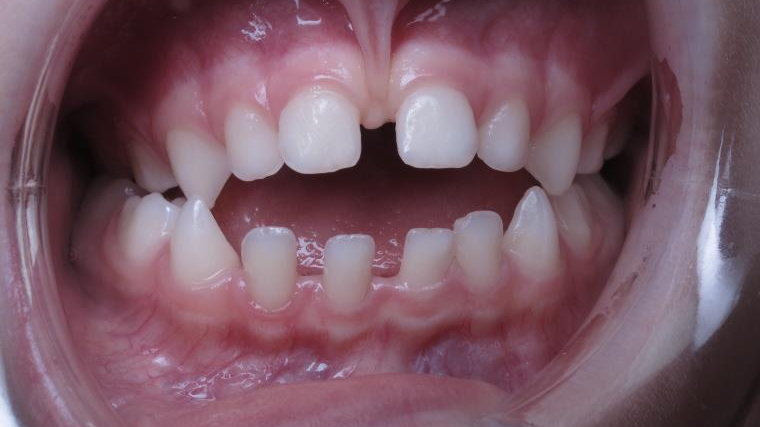
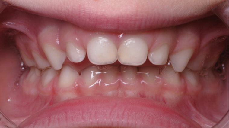
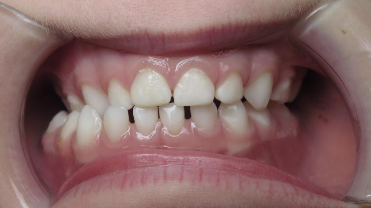
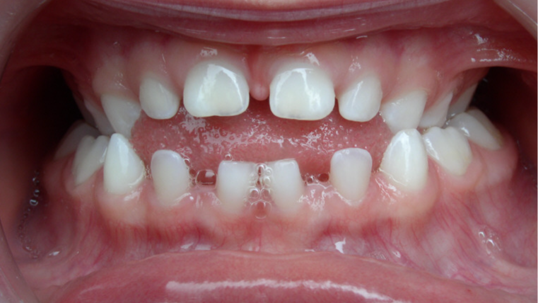
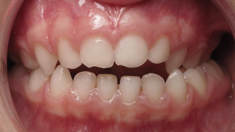
Liste des cas cliniques

N° du cas
Age dentaire

Voici différents traitements mis en place sur des cas cliniques présentant une dentition similaire à la vôtre.