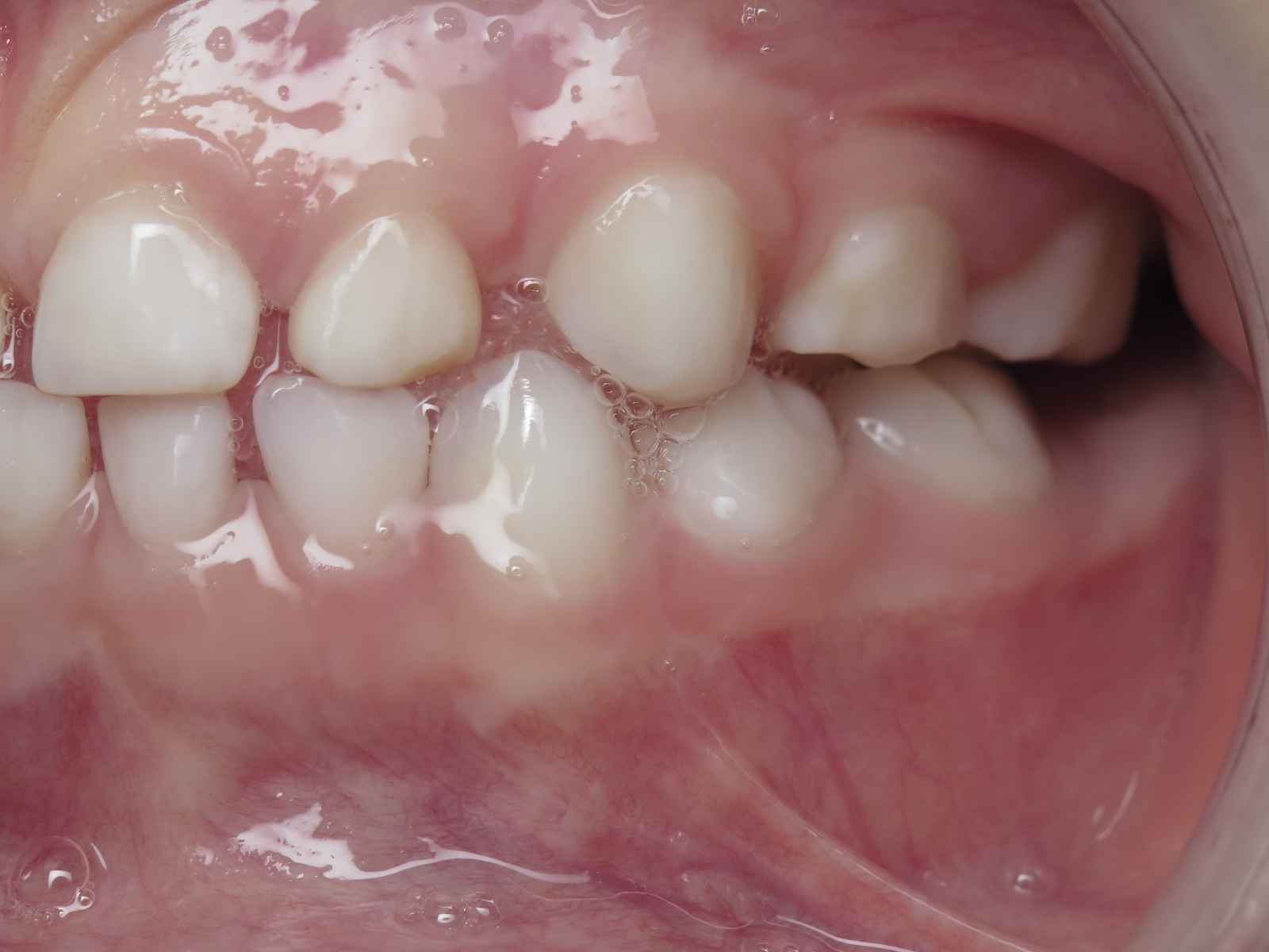
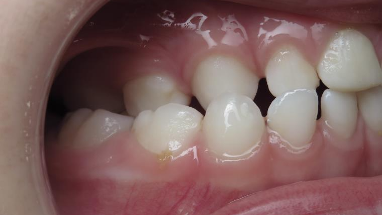
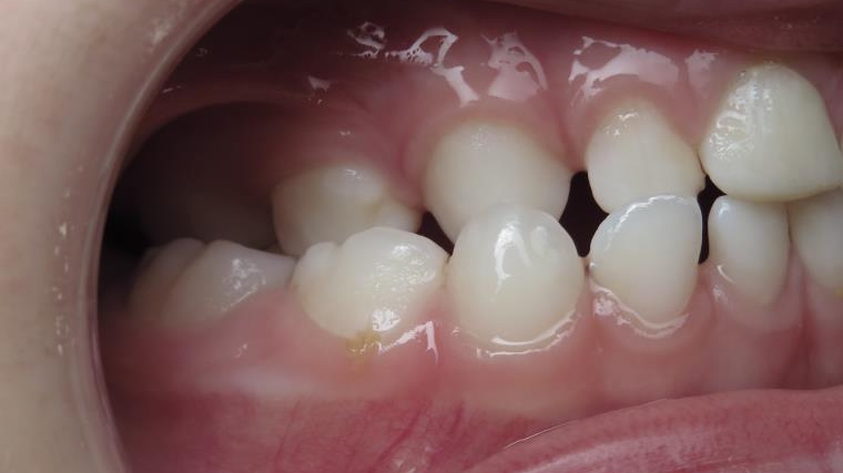
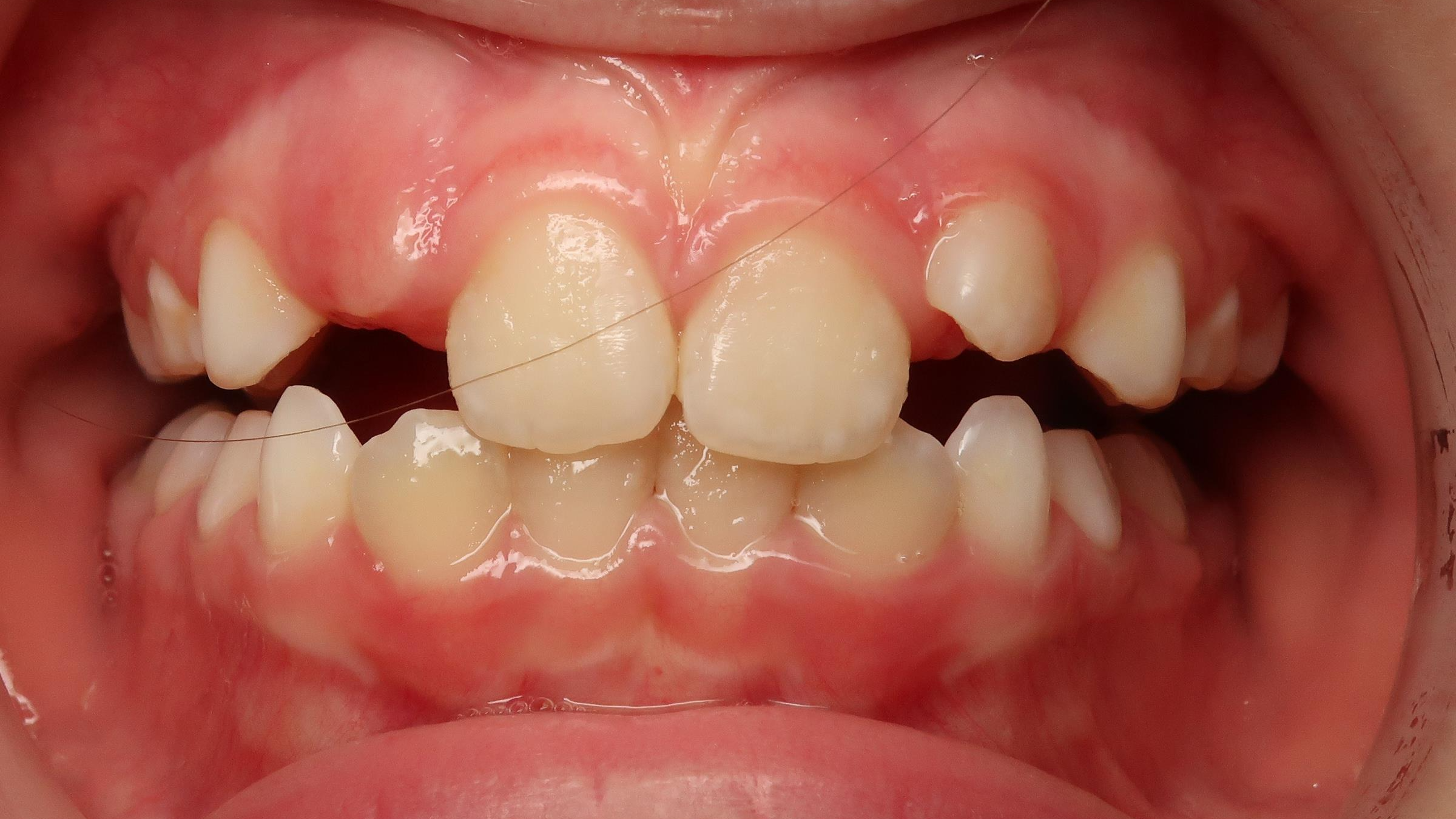
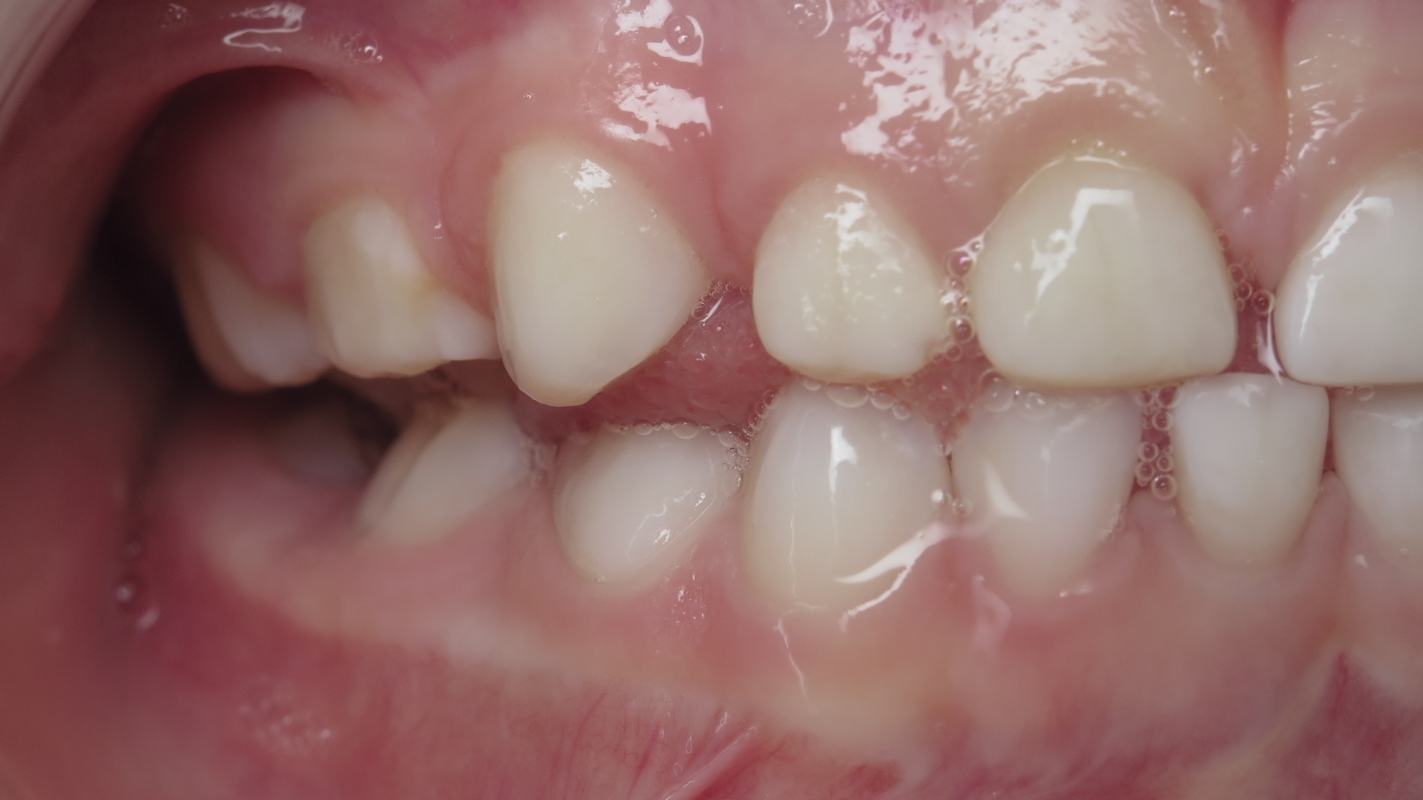
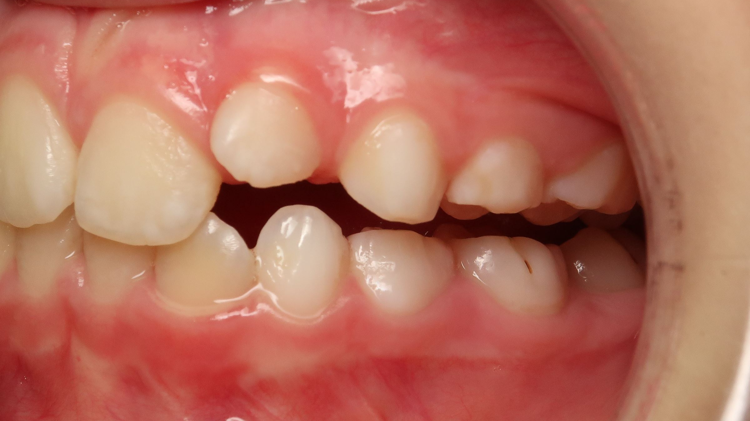
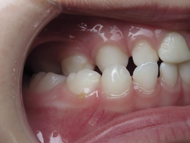
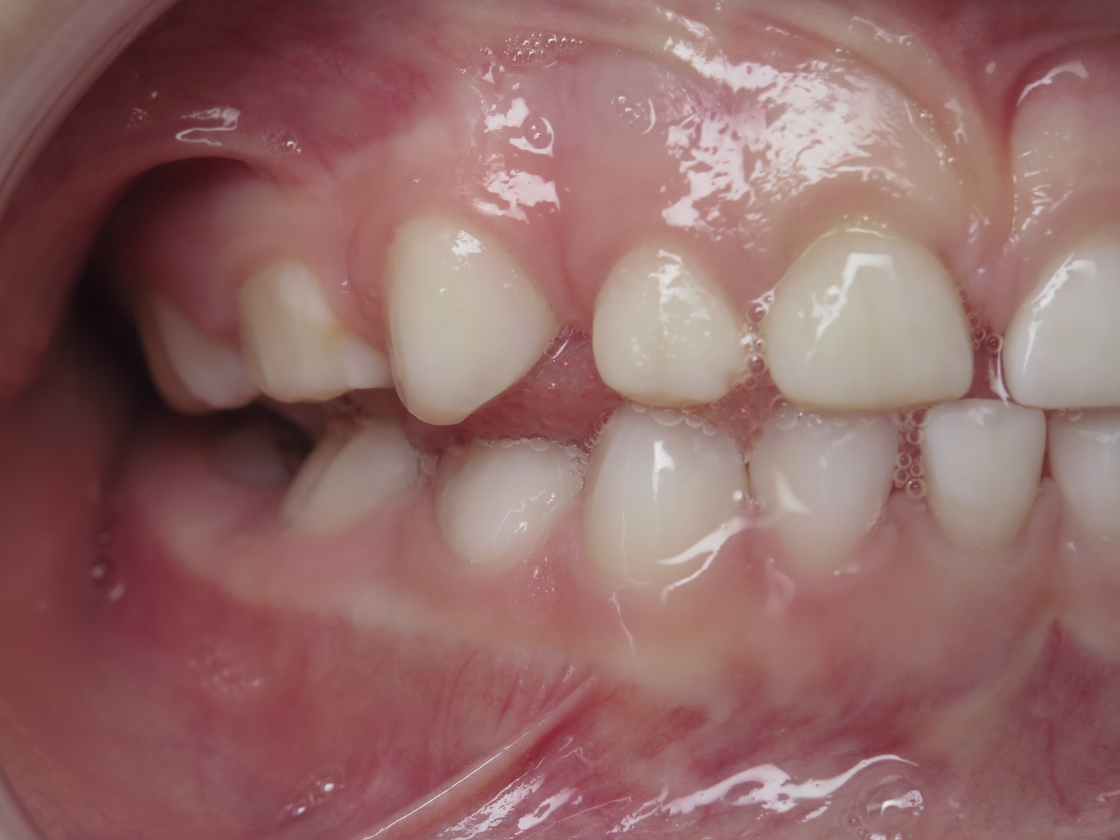
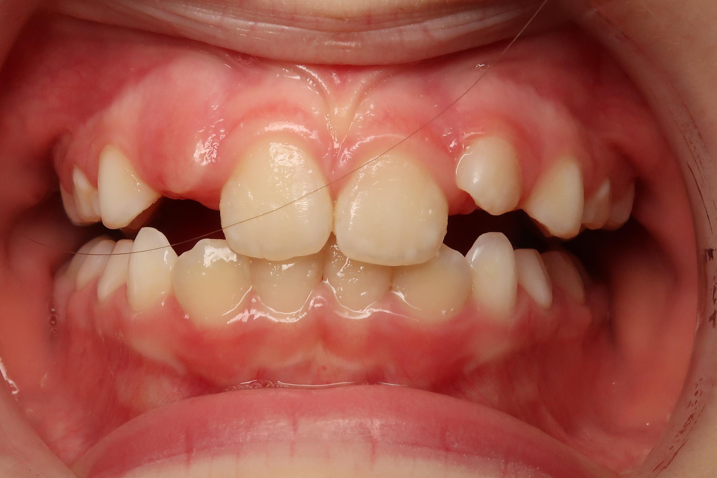
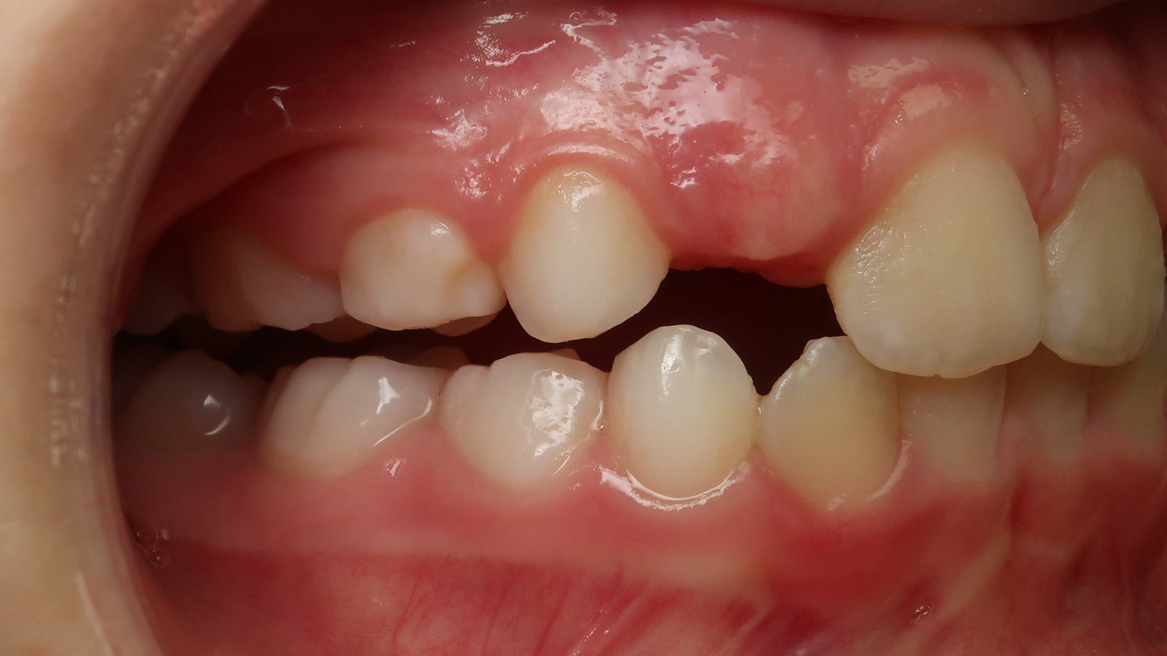
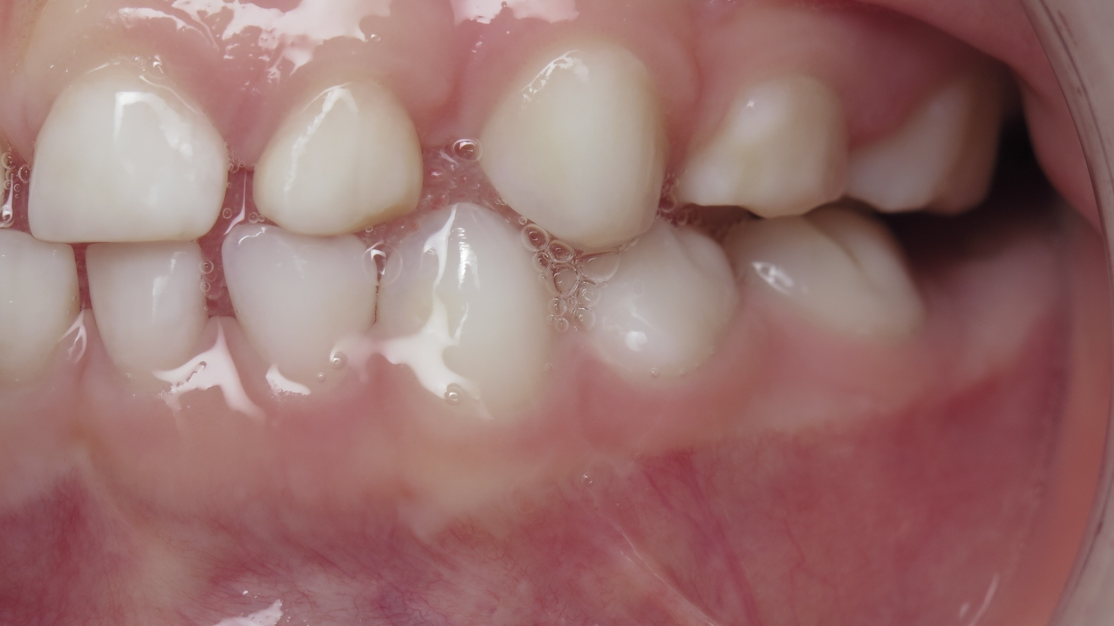
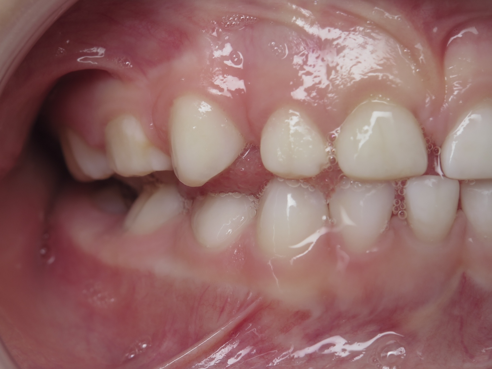
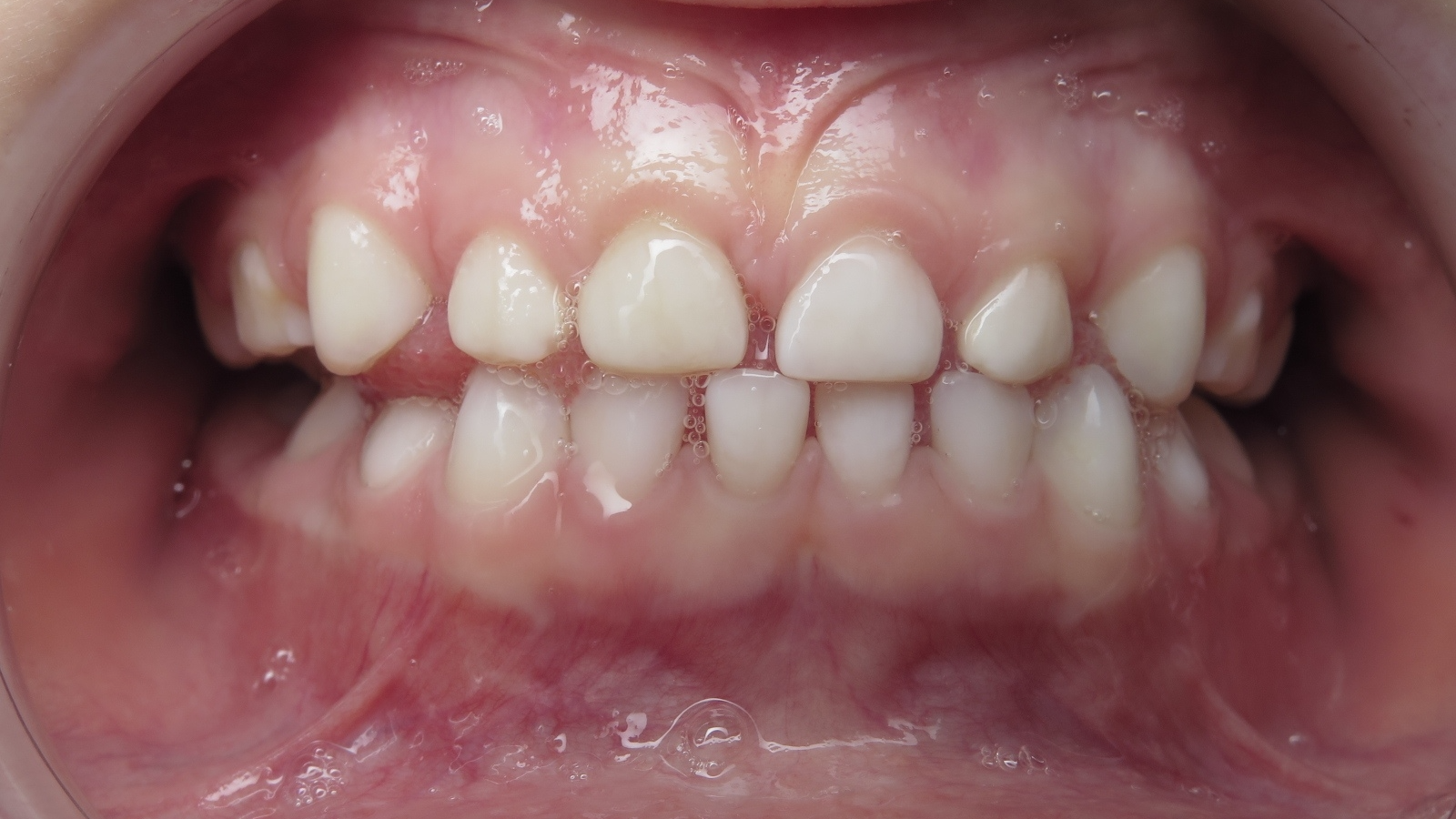
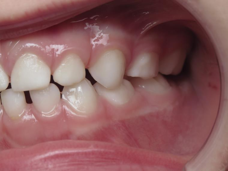
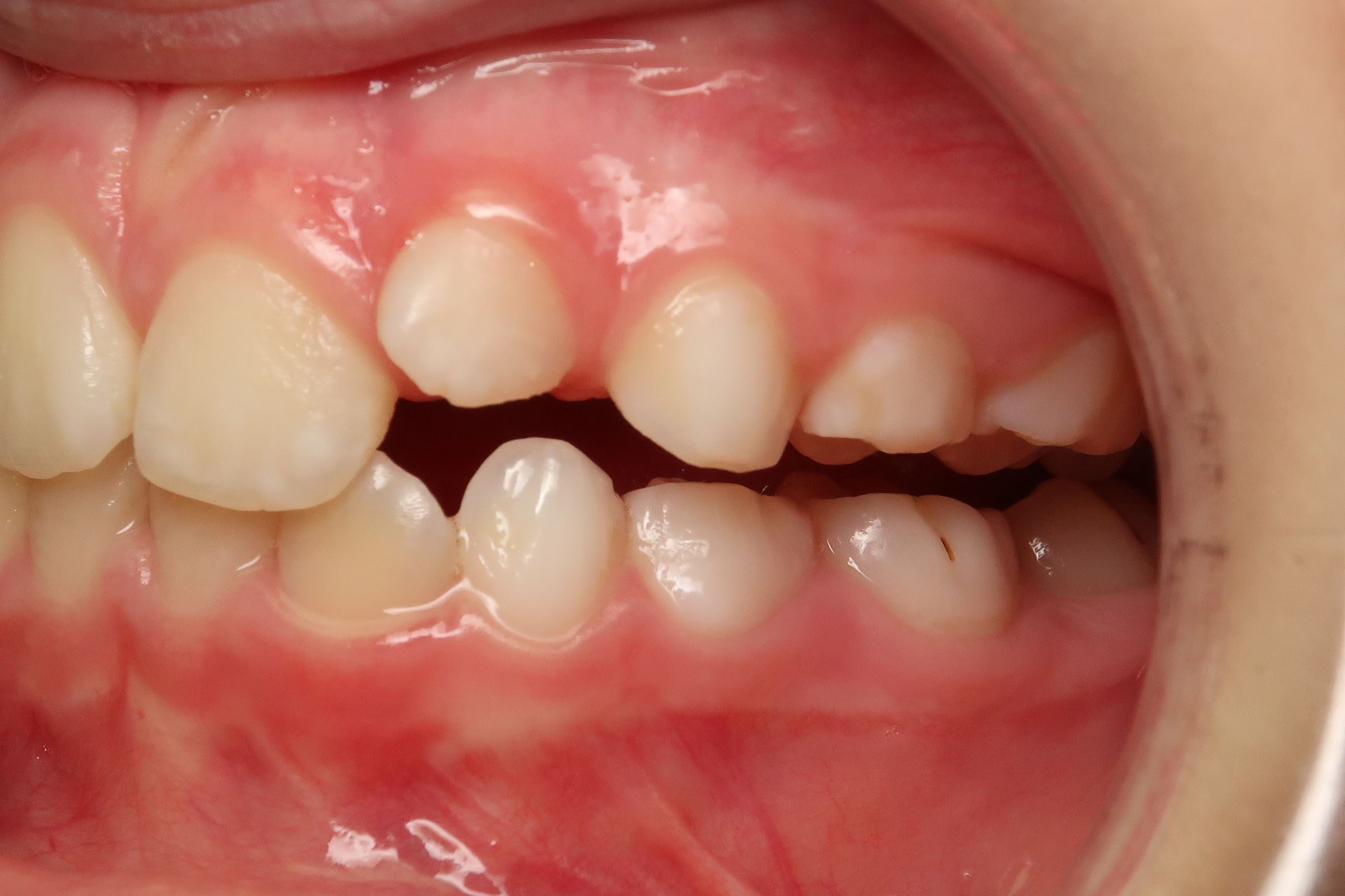
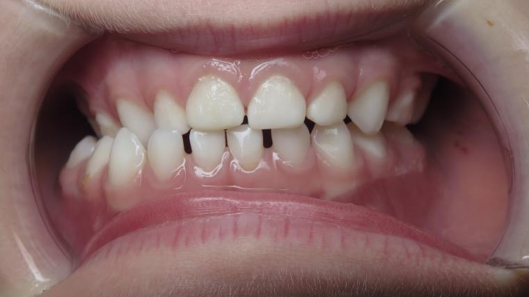
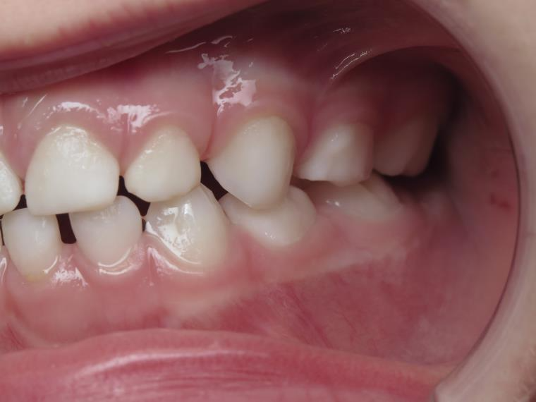
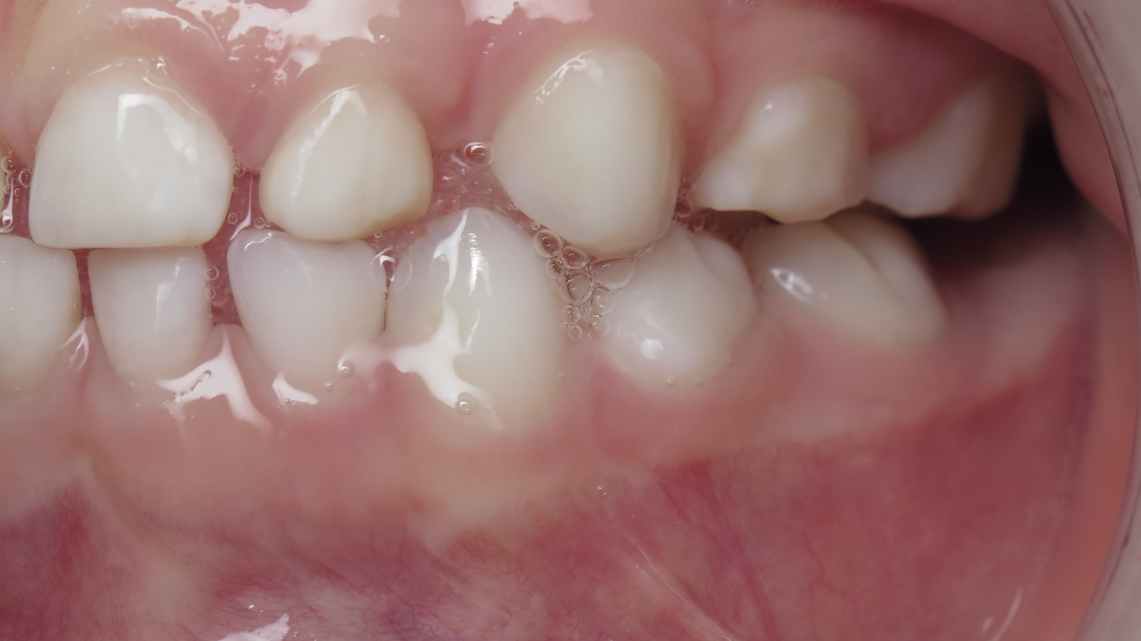
7.inversé droit 4 ans

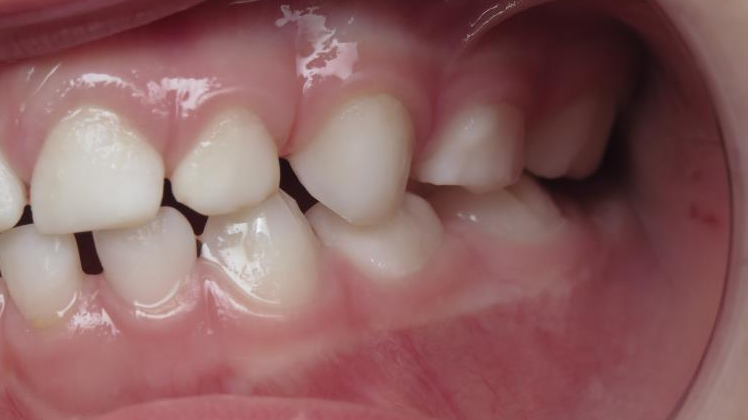
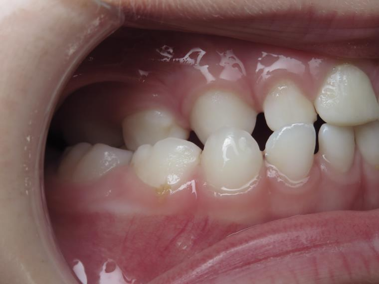
Sélectionnez les différentes étapes du traitement pour comparer et analyser la dentition du cas clinique.

inversion des dents postérieur coté droit
appareillage mobile pendant 13 mois
surveillance de la dentition pendant 16 mois
sectionnel multibagues pendant 24 mois
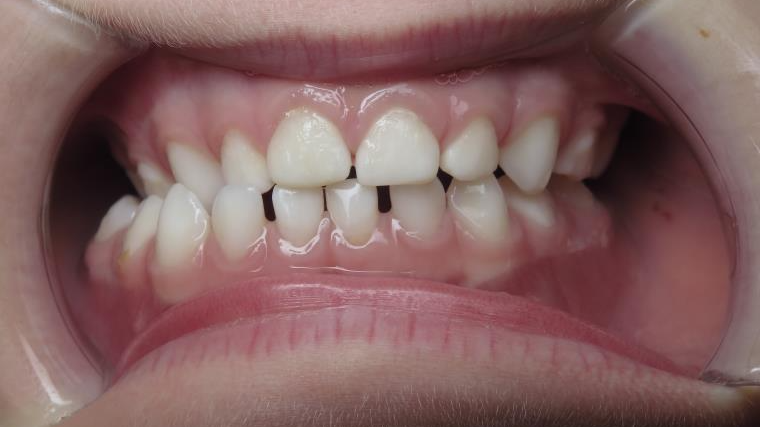
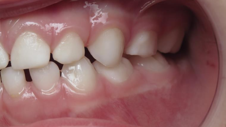
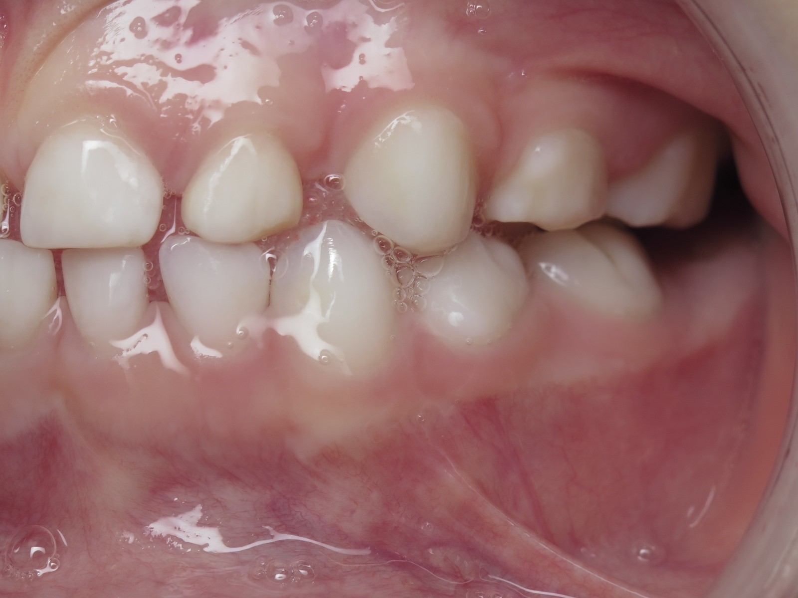
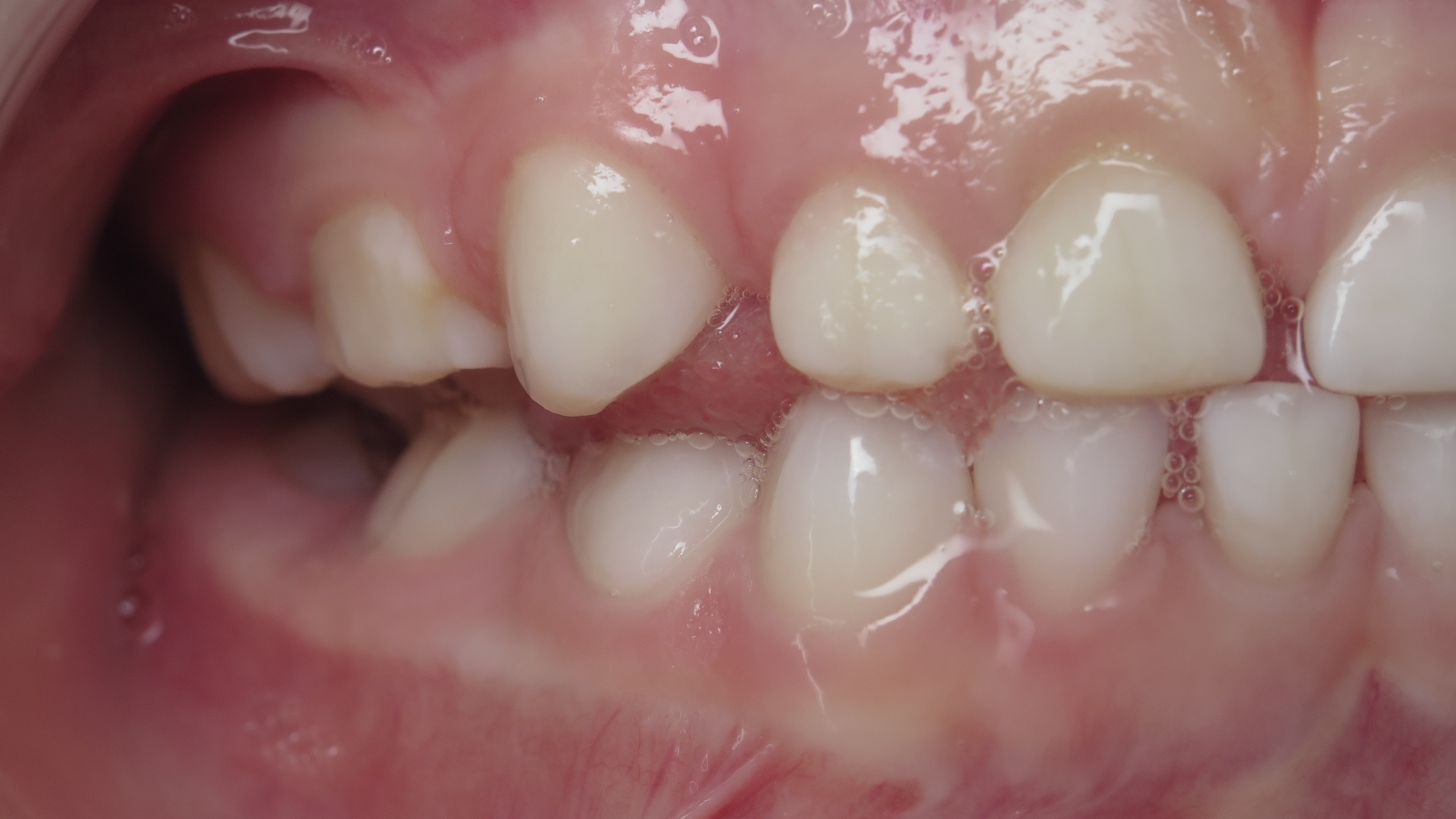
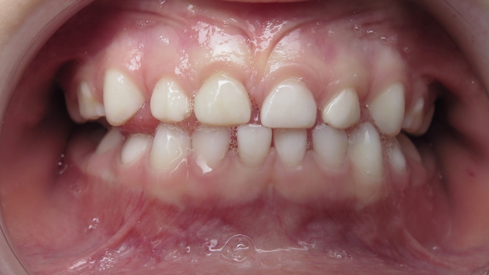
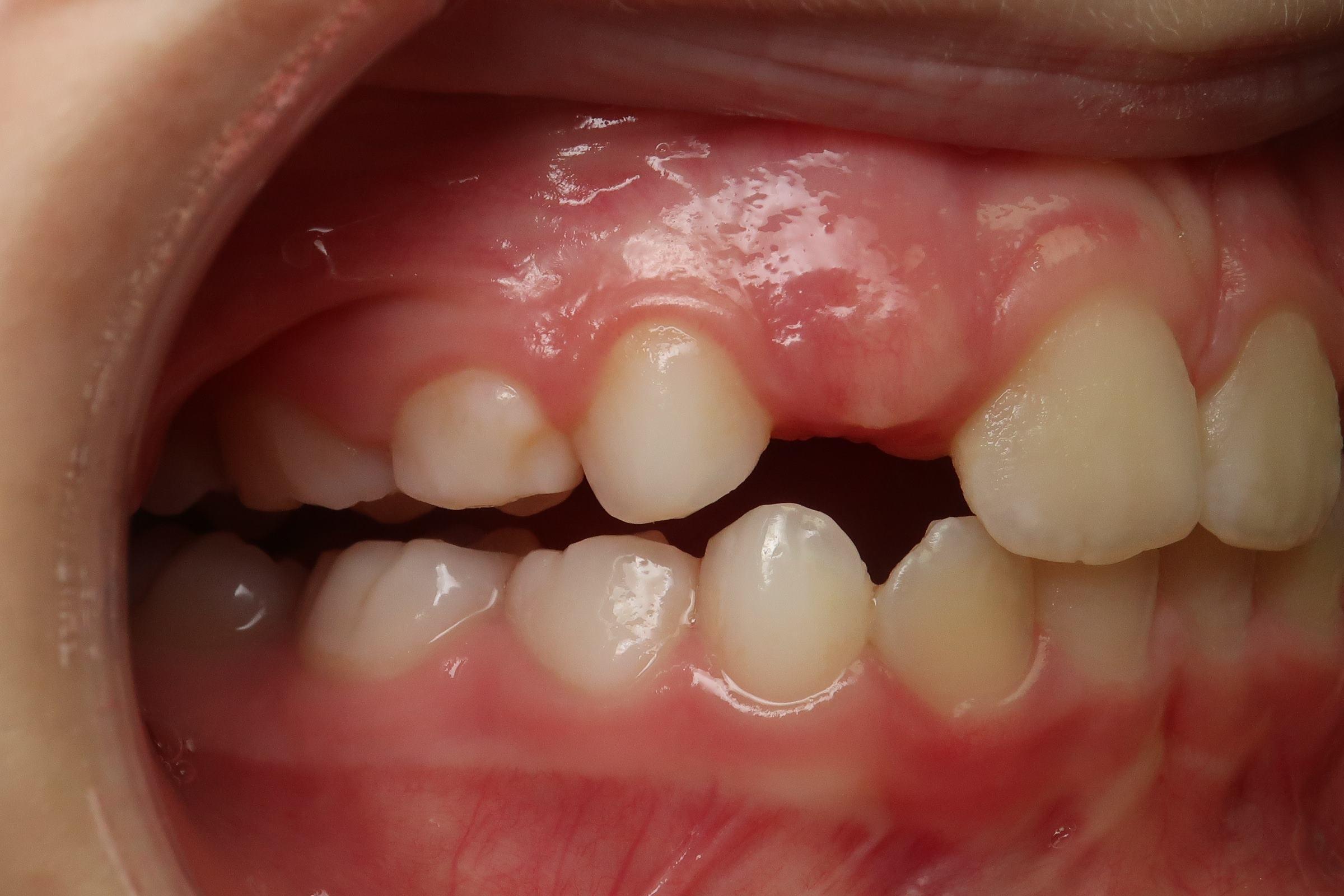
bilan début et en cours de traitement
bilan des radiographies début et en cours de traitement