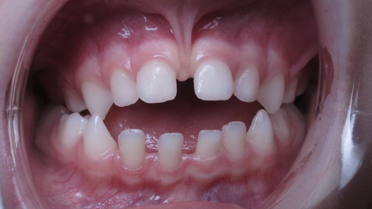
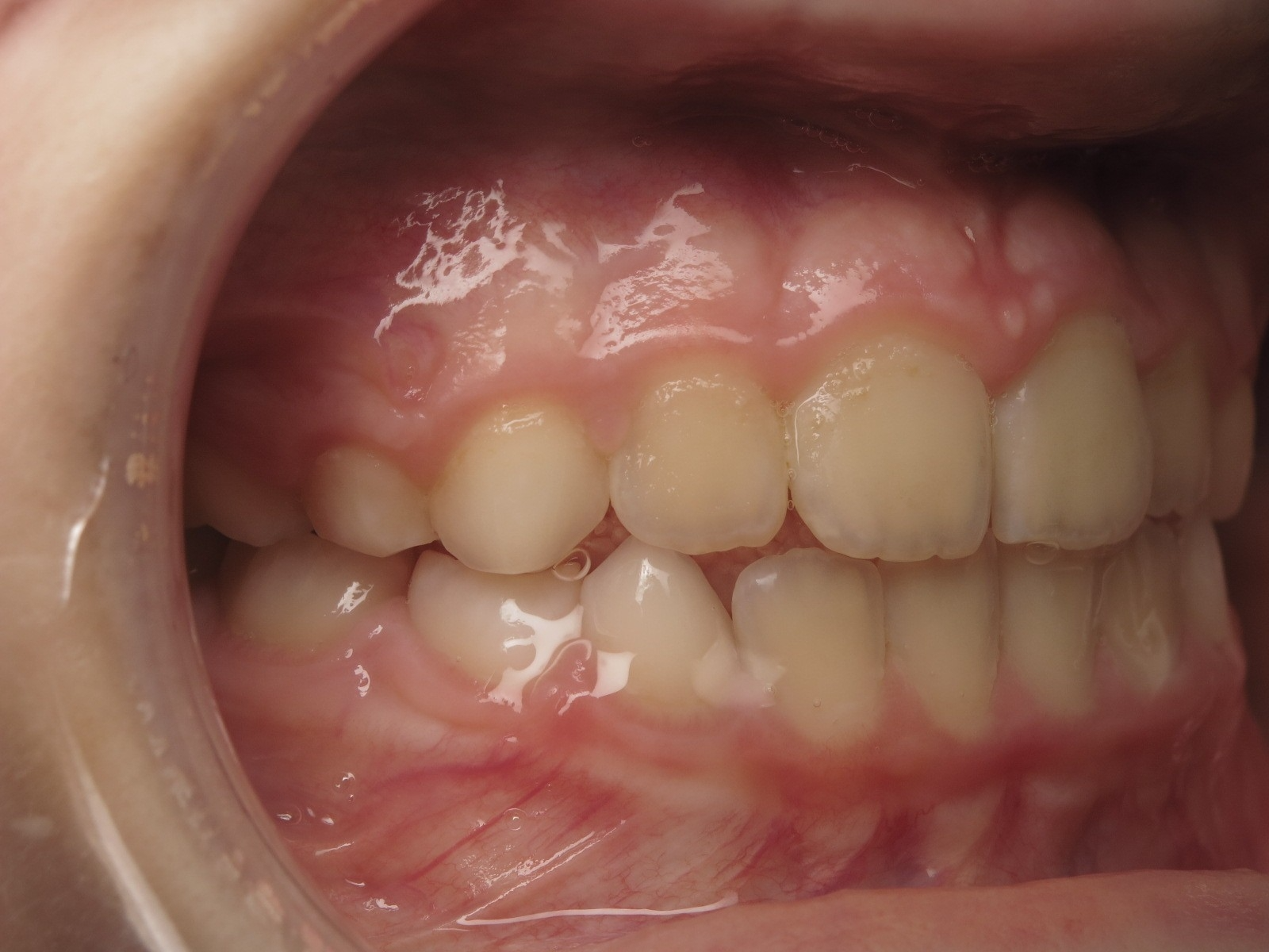
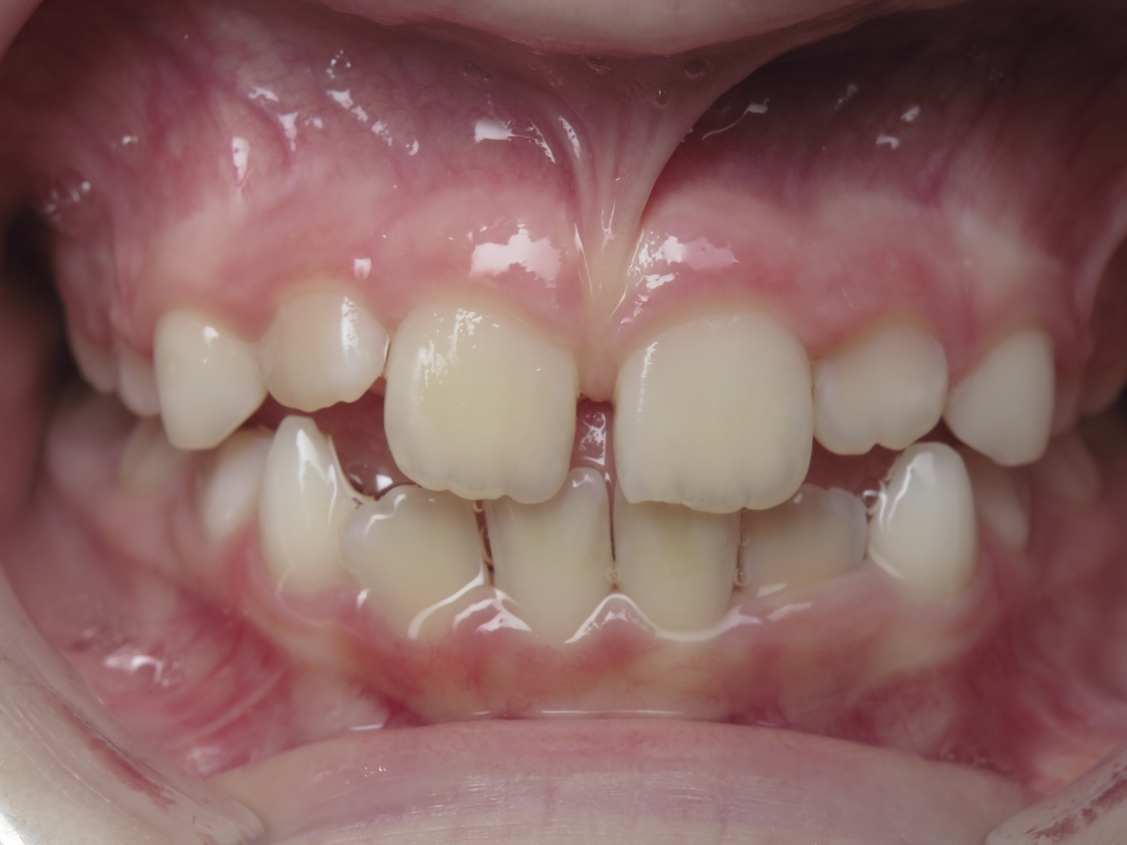
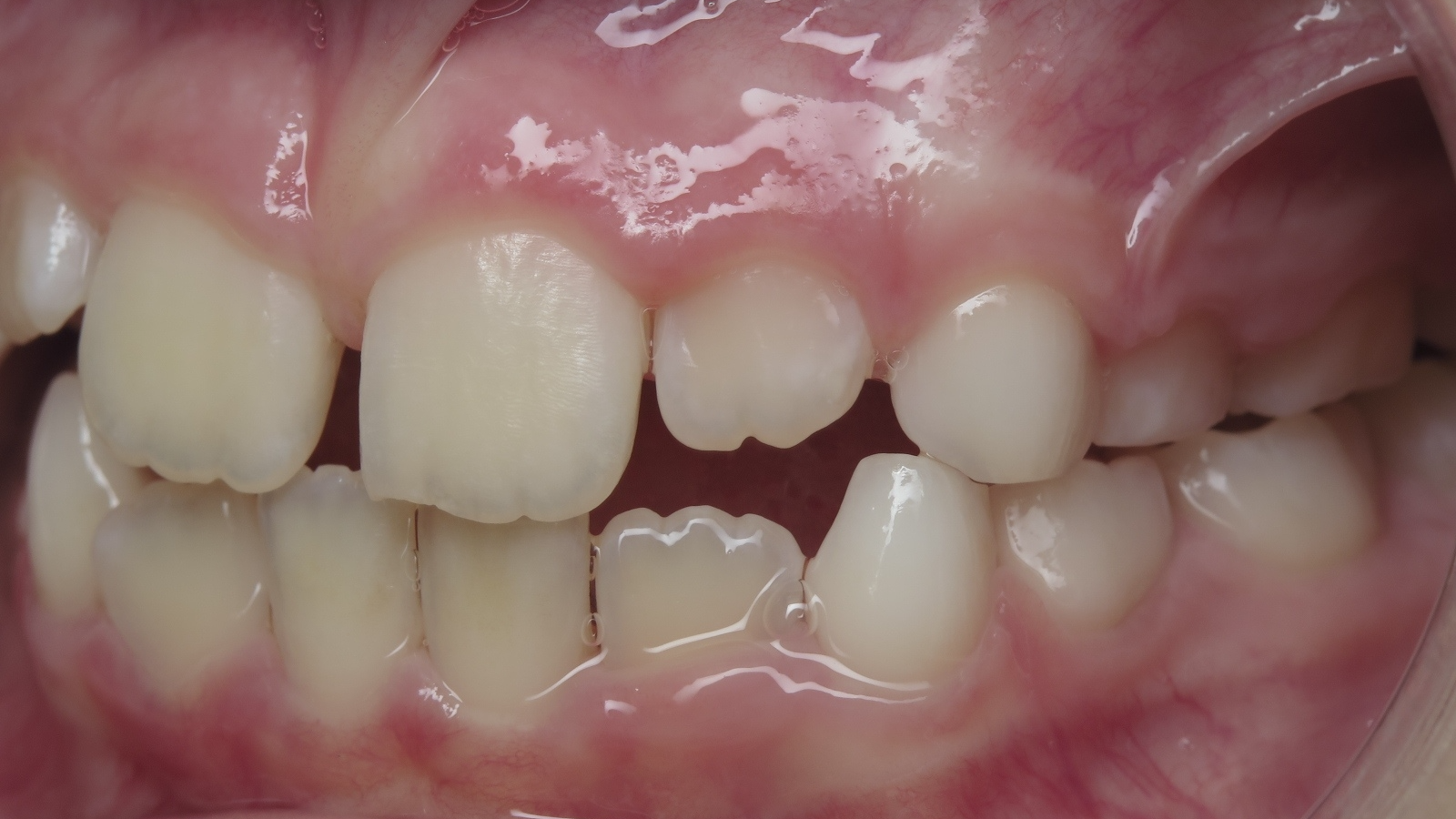
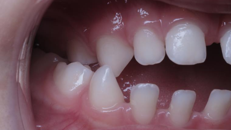
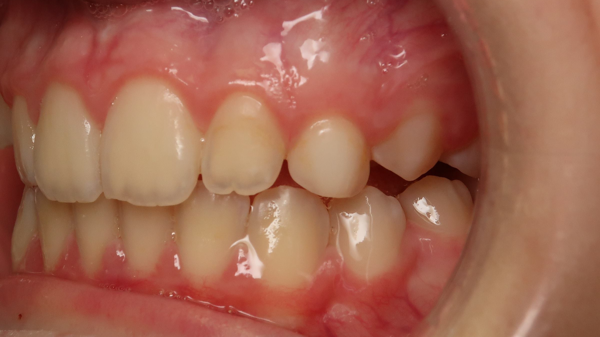
18 béance inversé droit 4 ans

Sélectionnez les différentes étapes du traitement pour comparer et analyser la dentition du cas clinique.

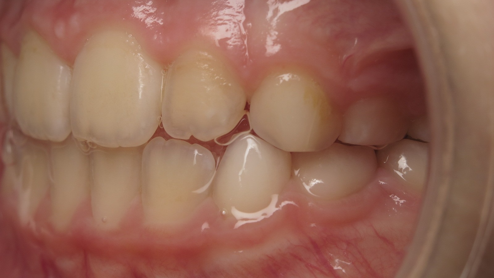
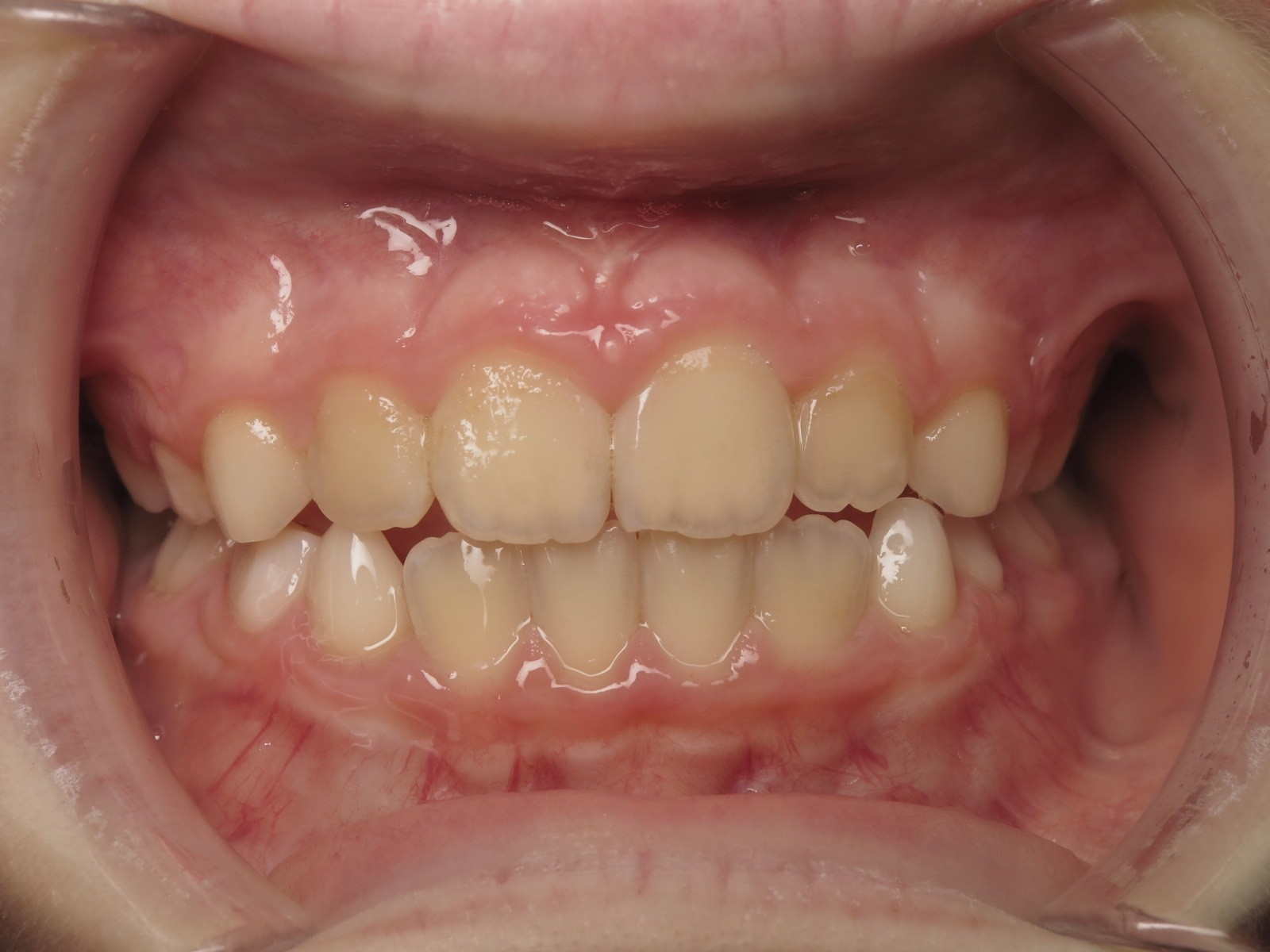
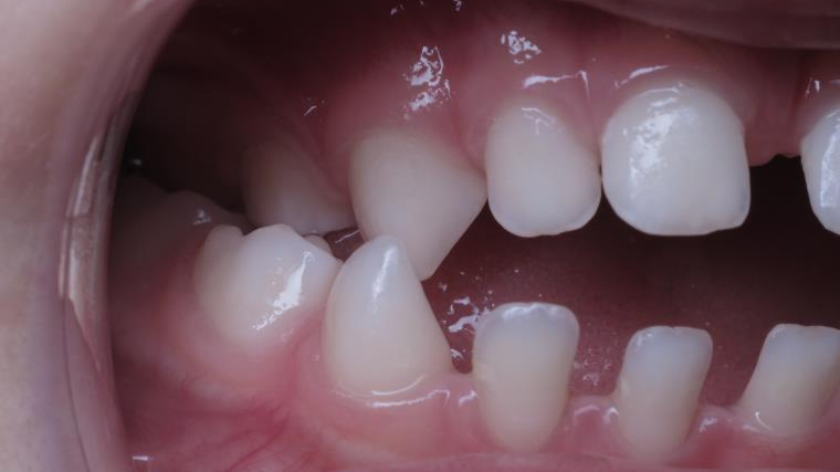
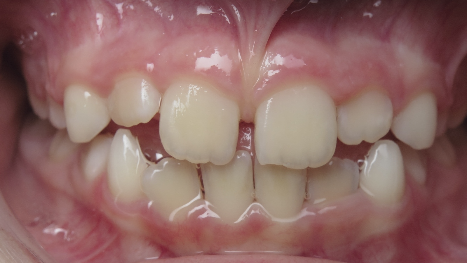
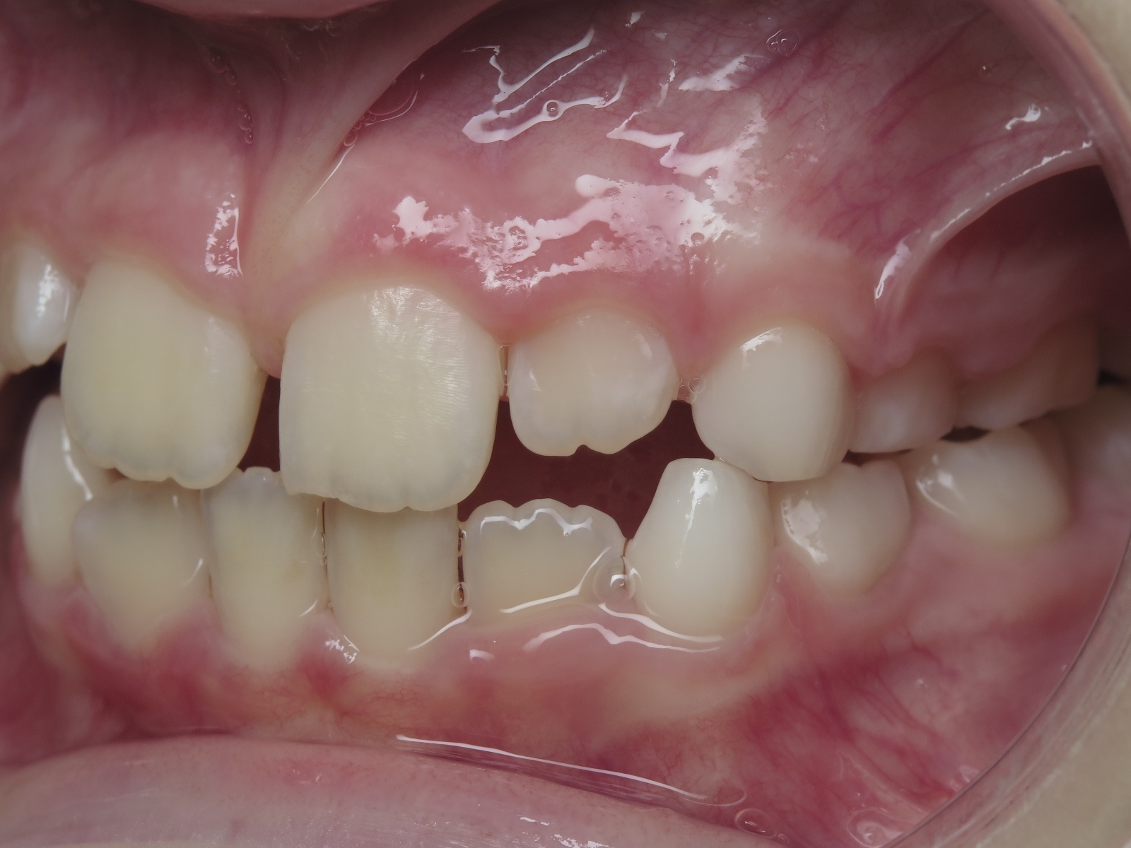
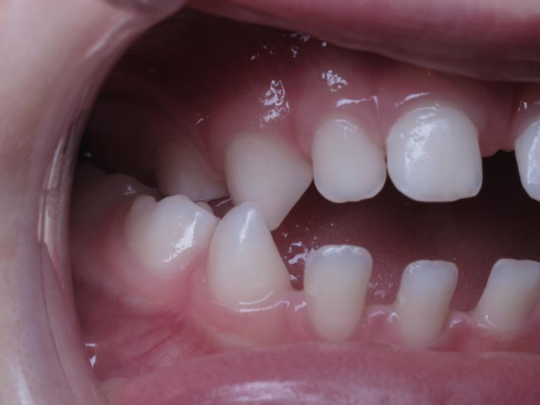
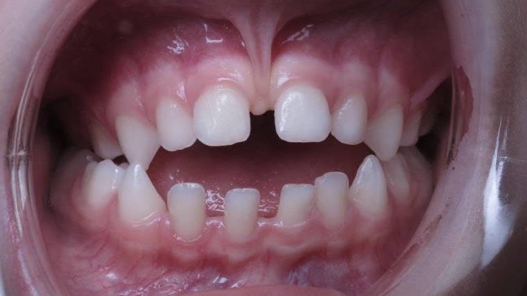
inversion des dents postérieur et espace entre l'arcade du haut et du bas (béance)
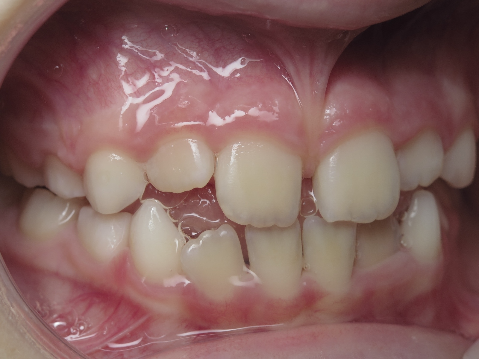
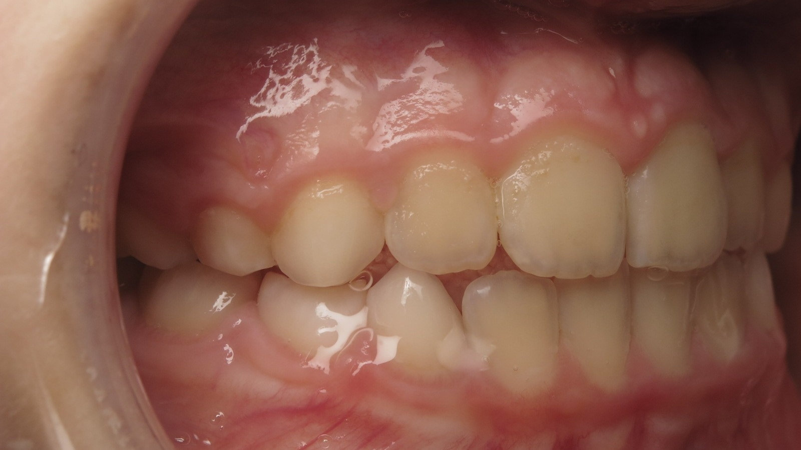
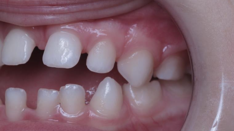
appareillage mobile pendant 3 ans
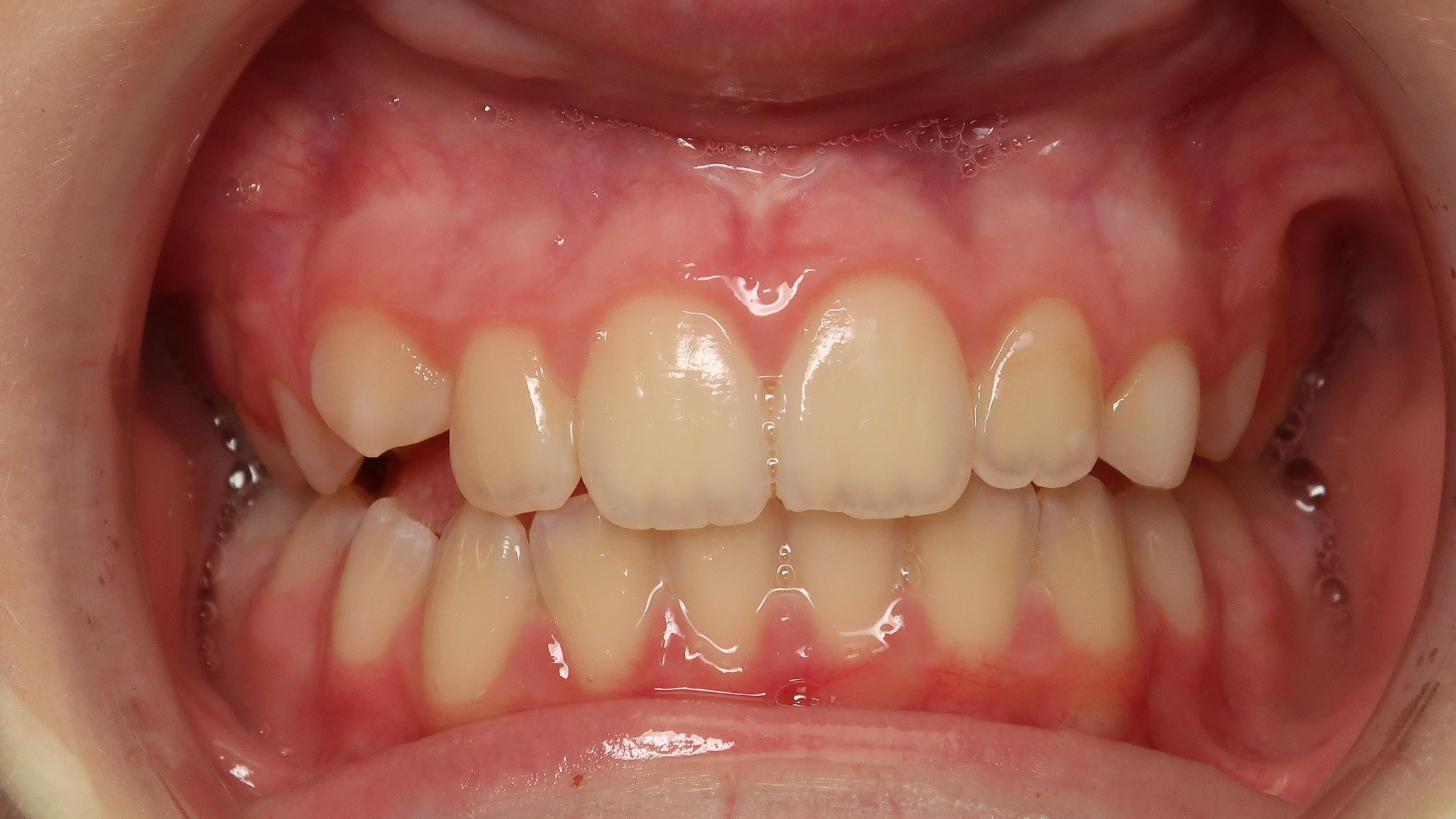
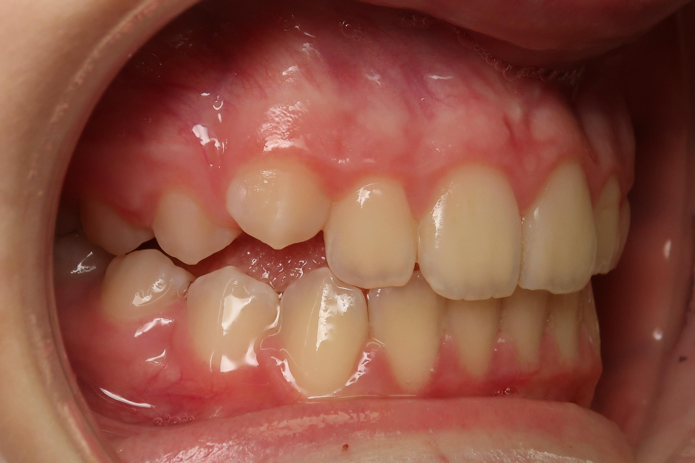
sectionnel multibagues pendant 8 mois
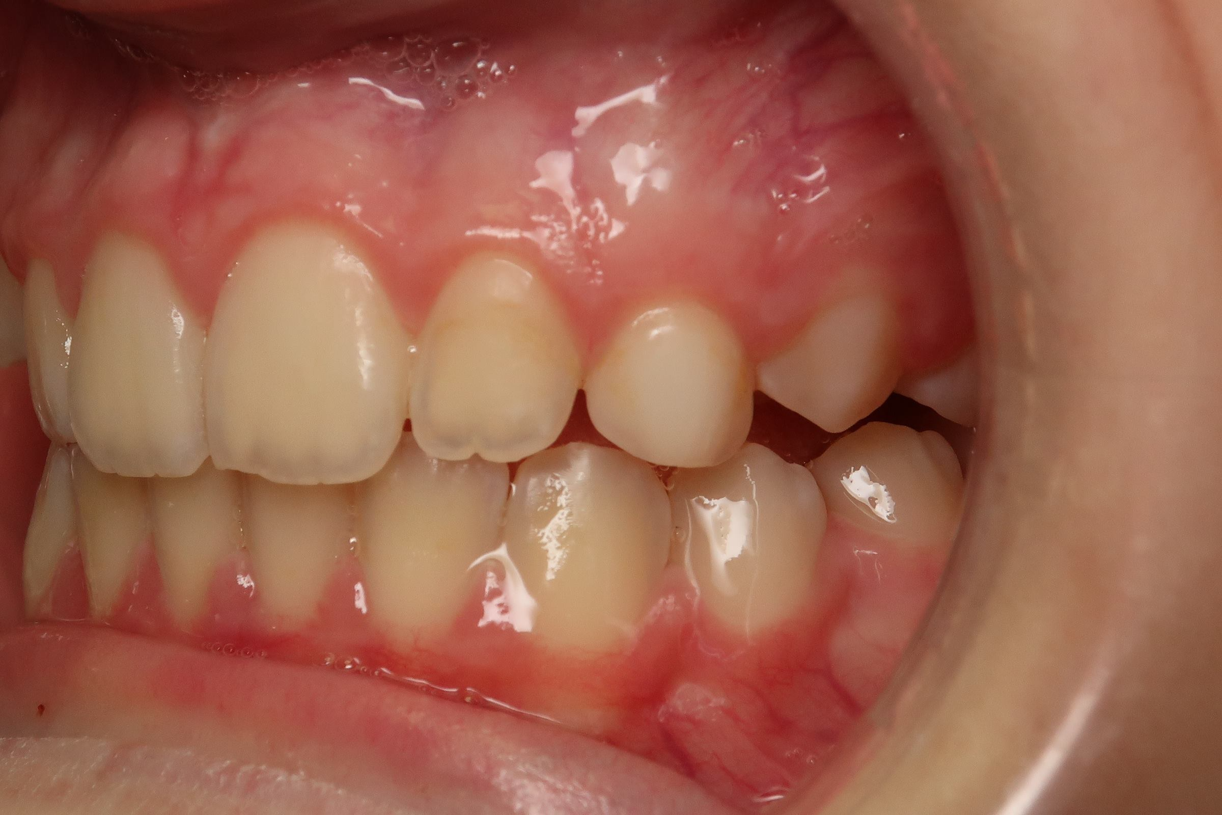
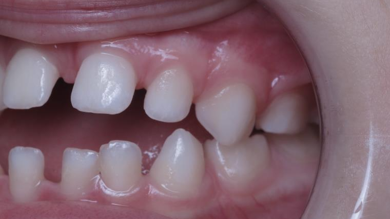
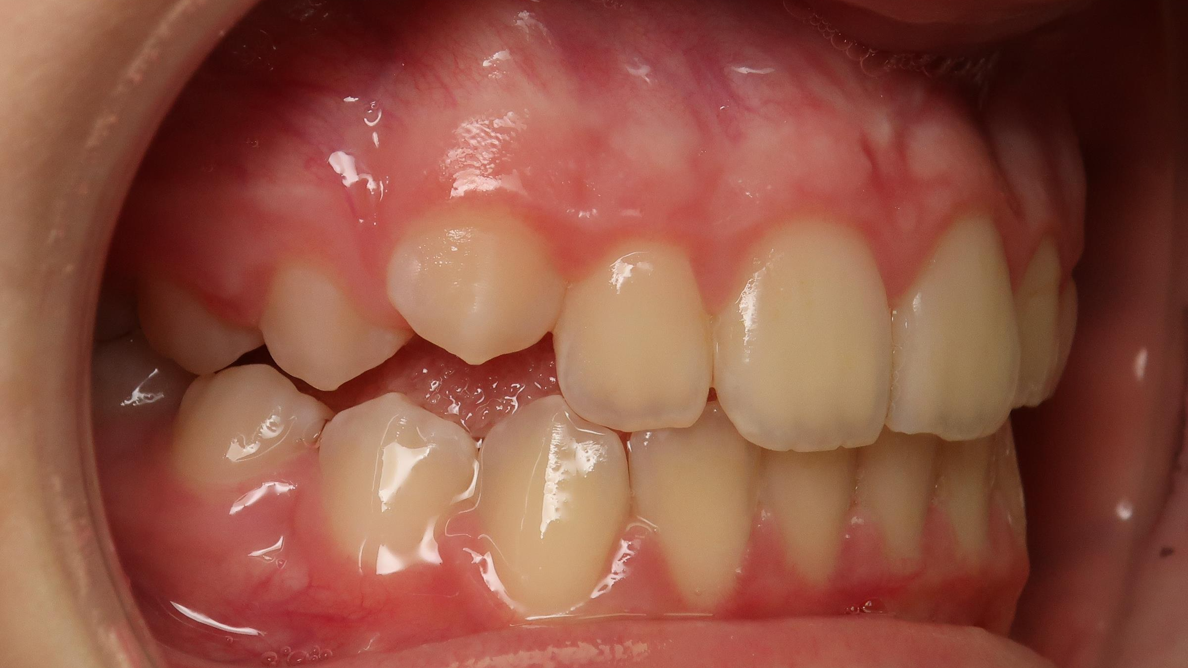
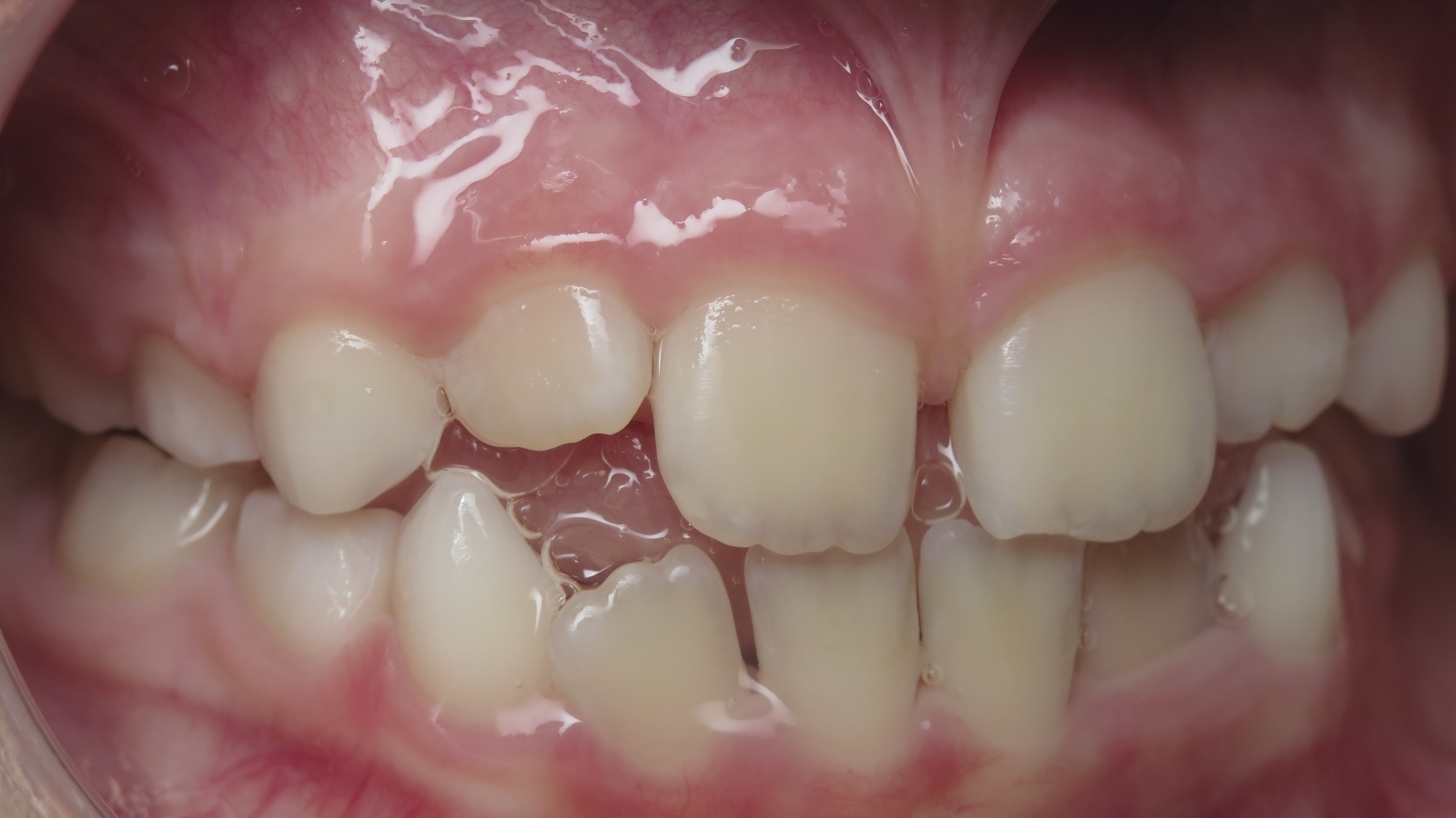
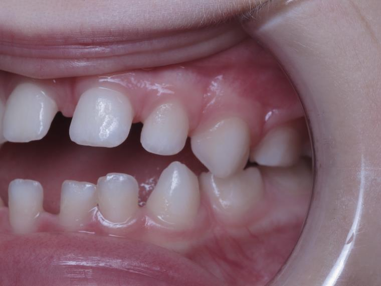
surveillance évolution de la dentition
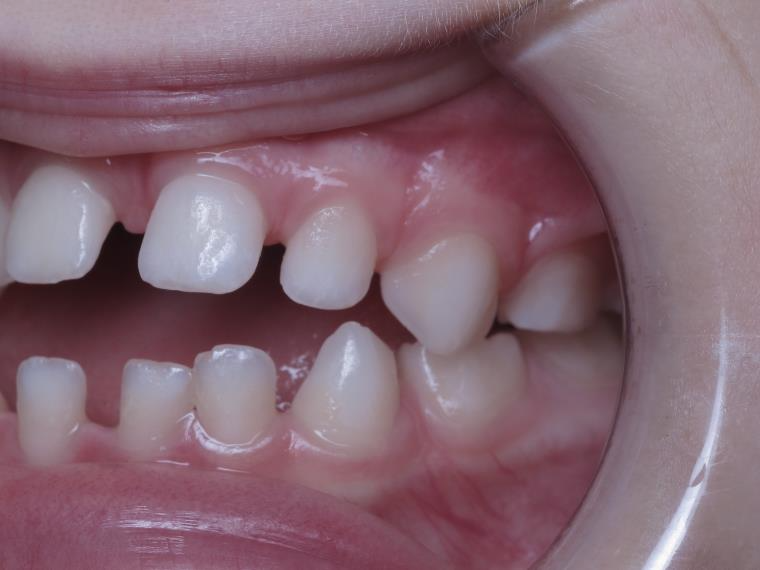
bilan de début et en cours de traitement
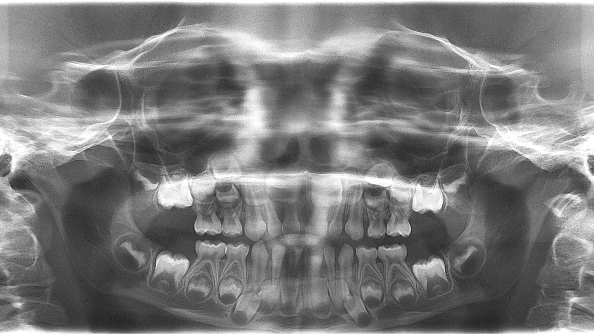
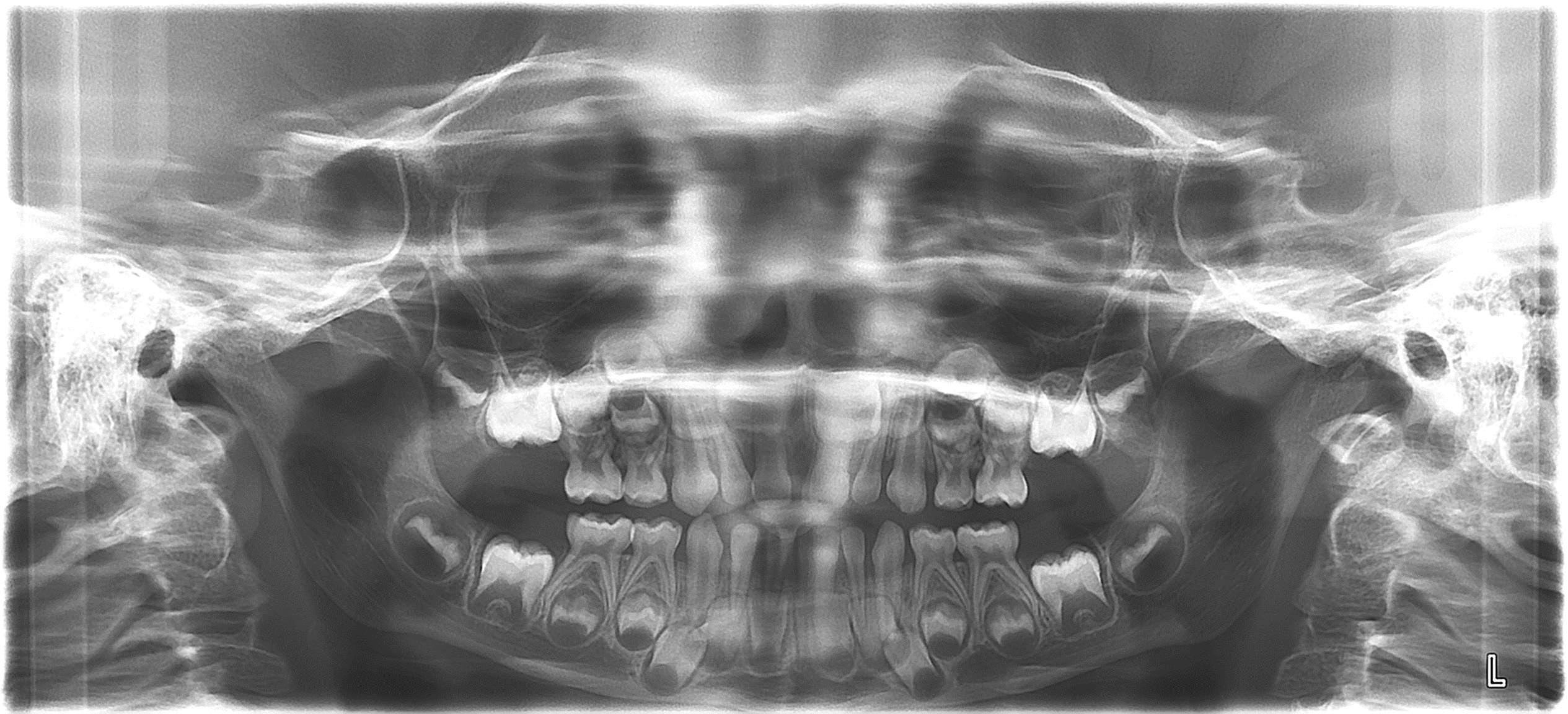
bilan des radiographies début et en cours de traitement