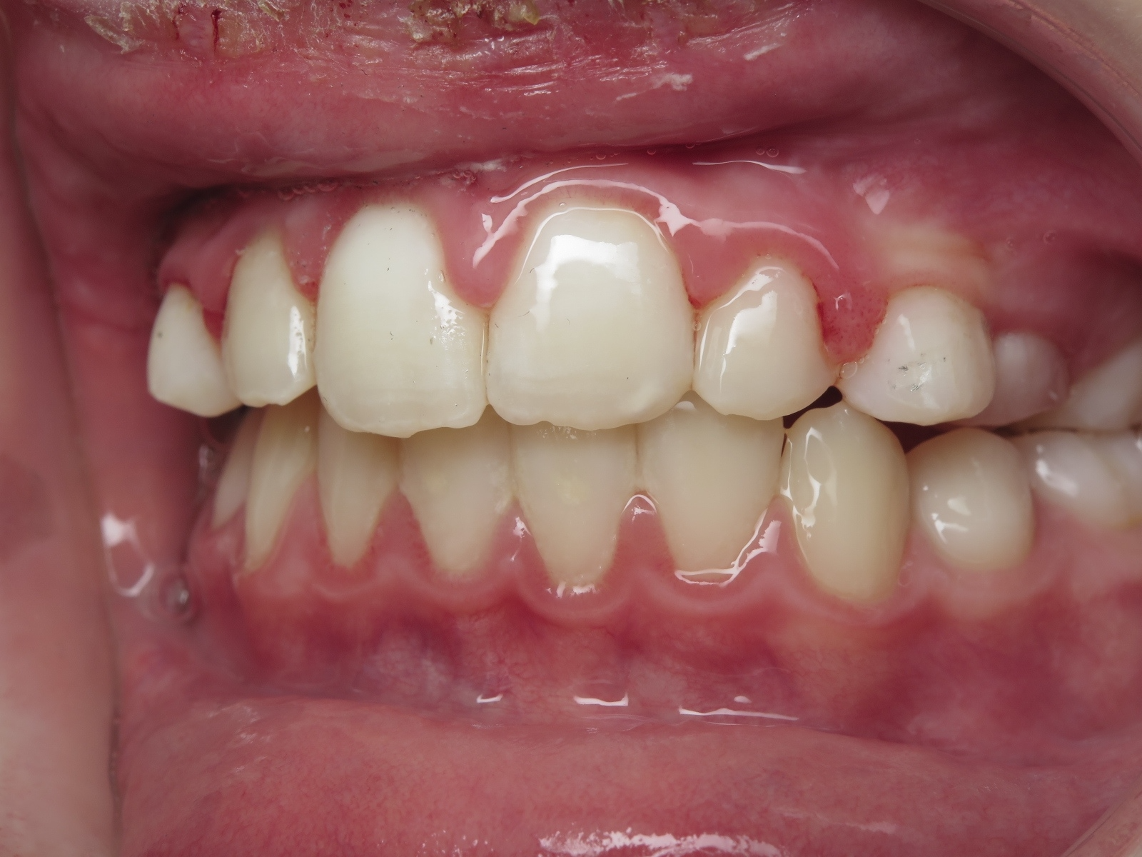
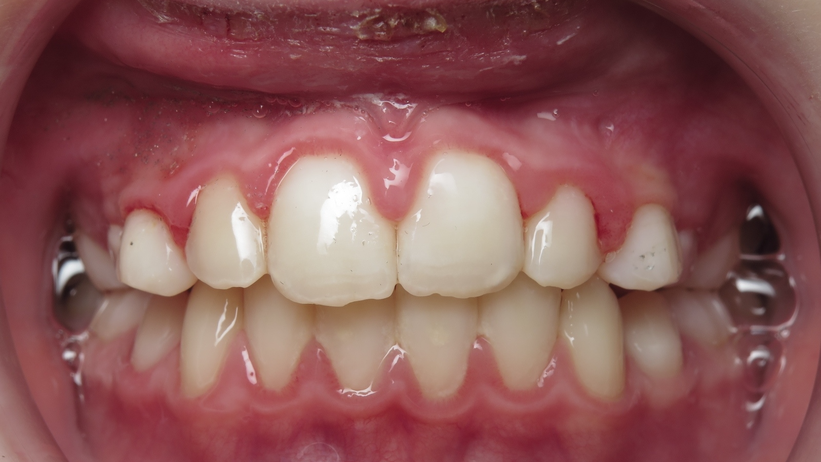
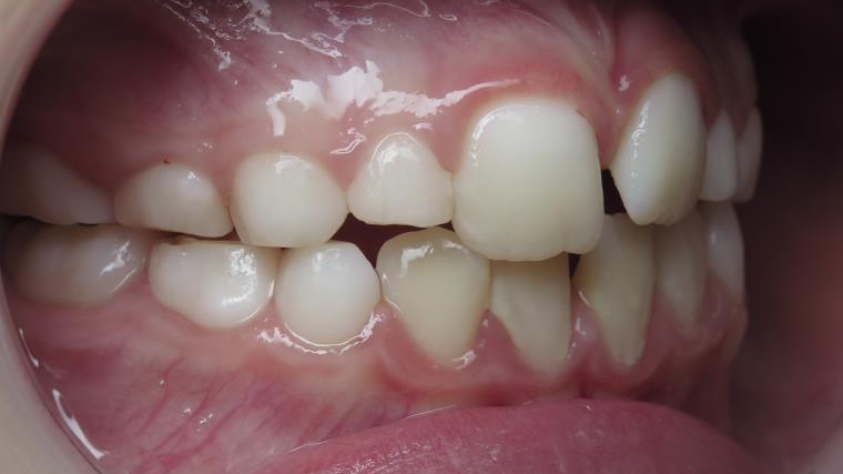
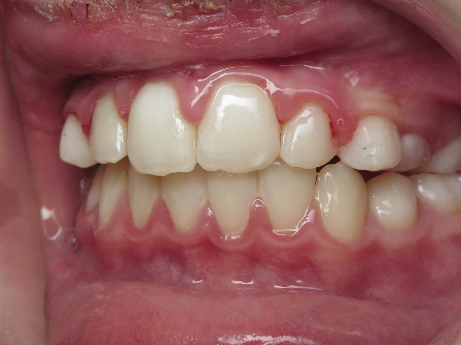
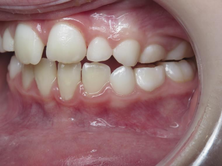
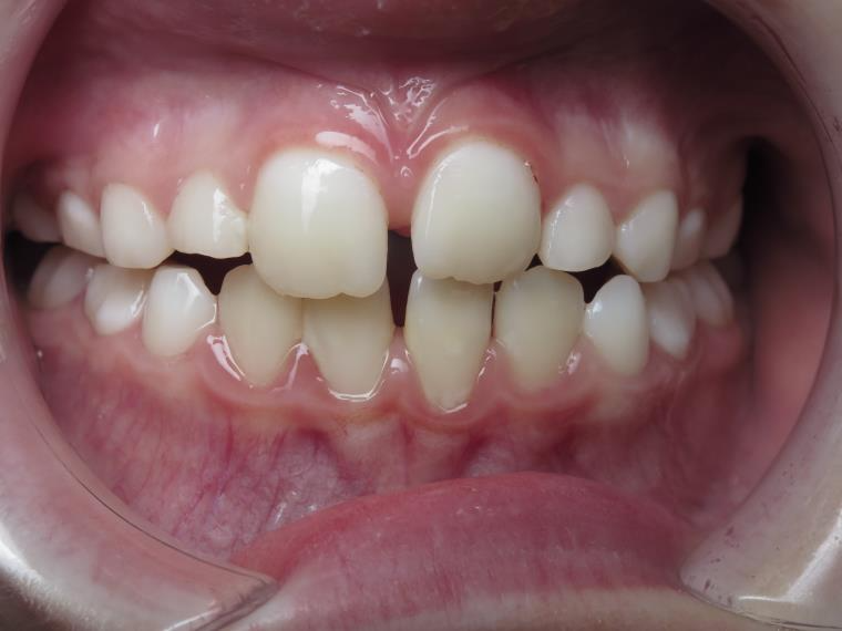
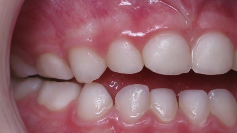
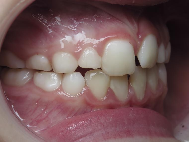
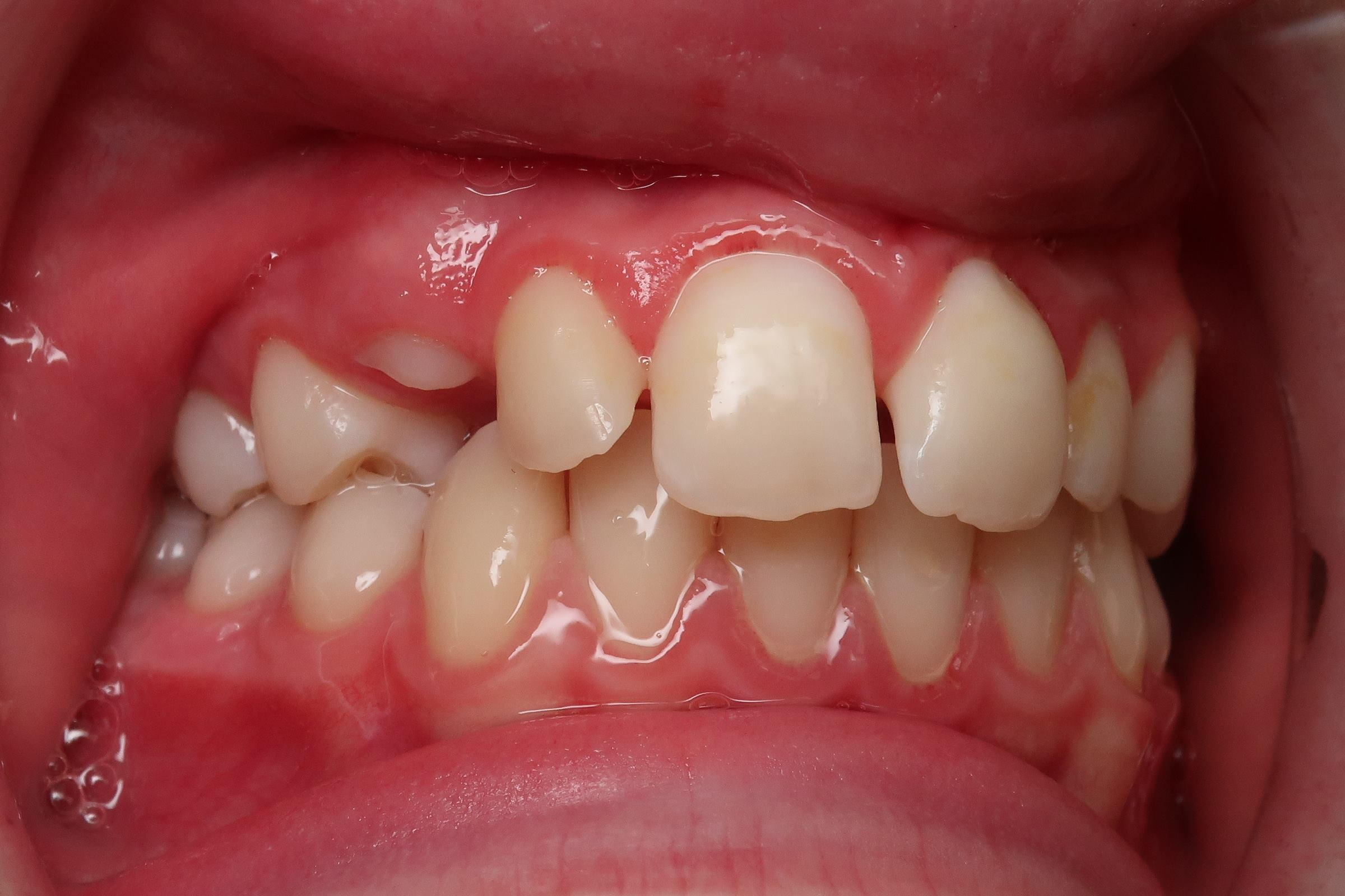
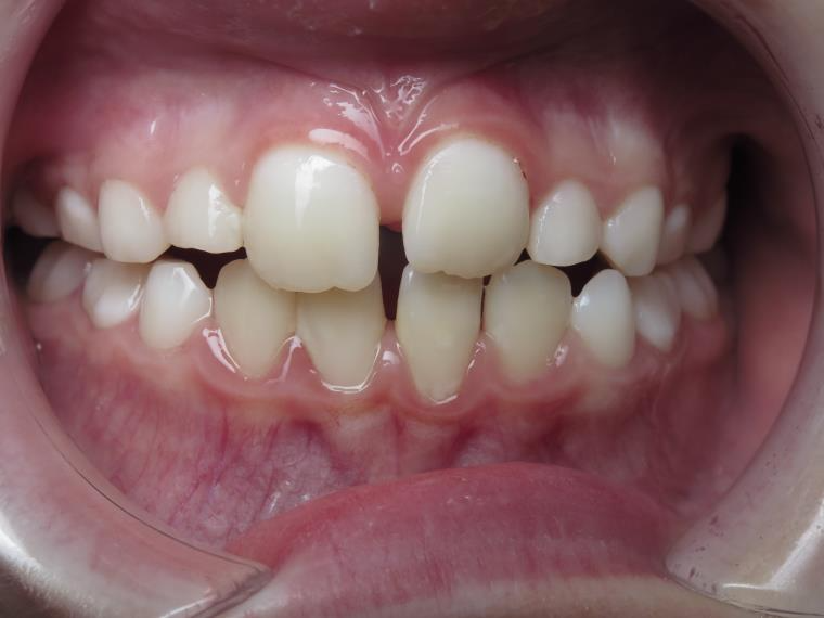
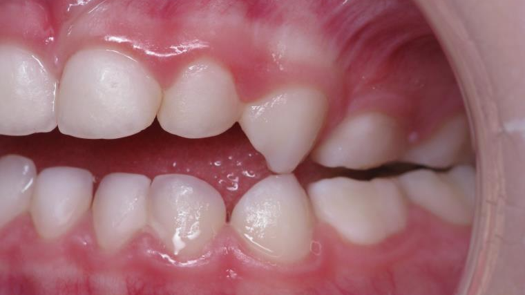
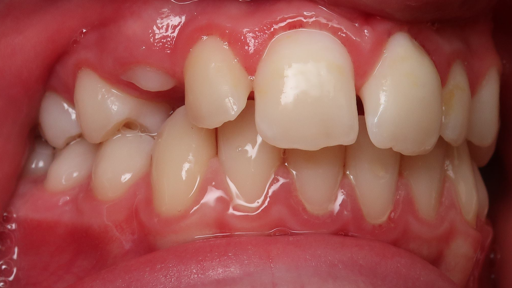
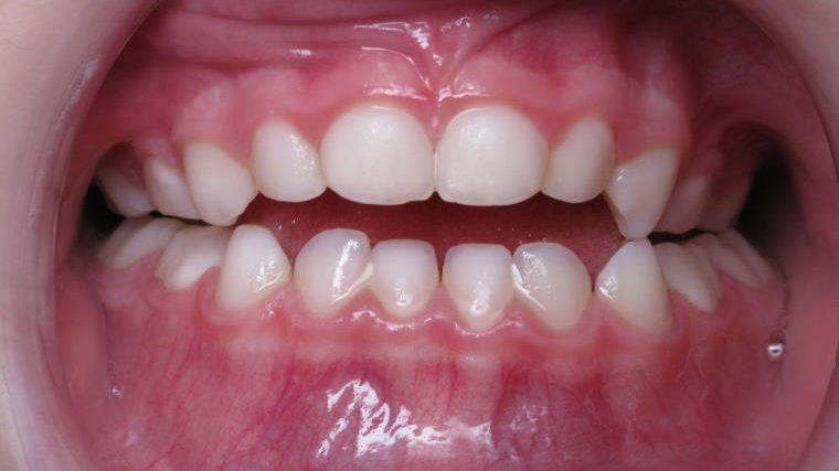
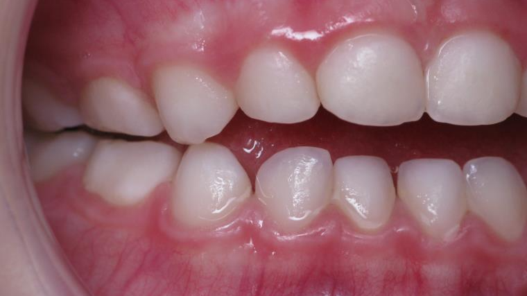
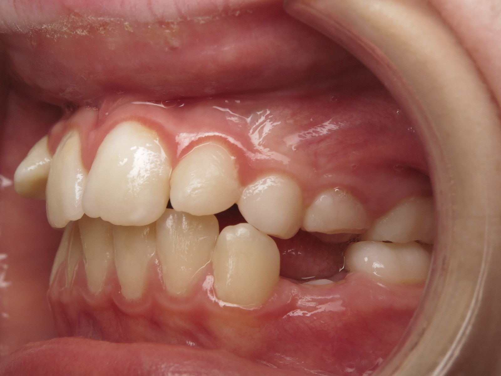
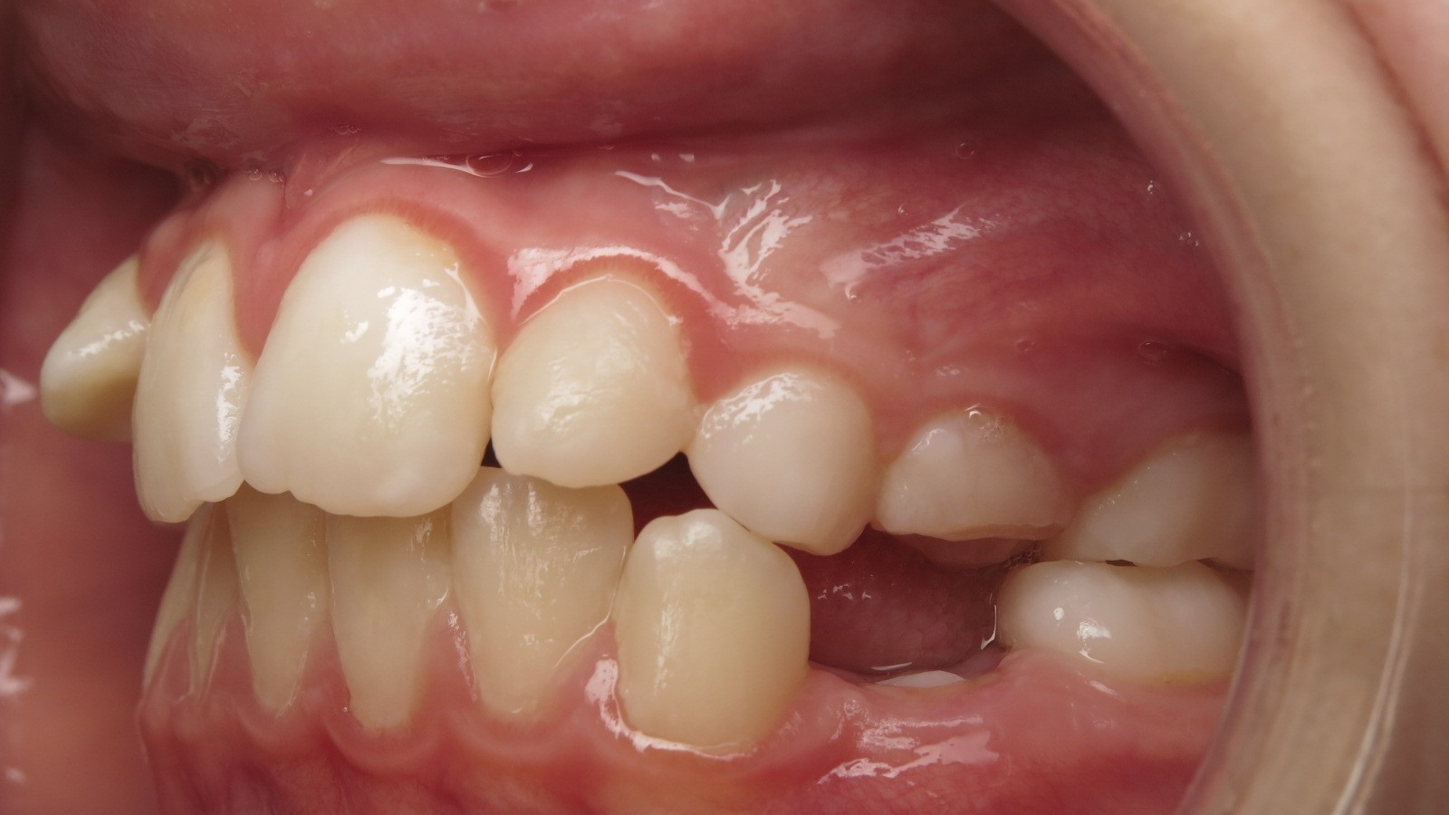
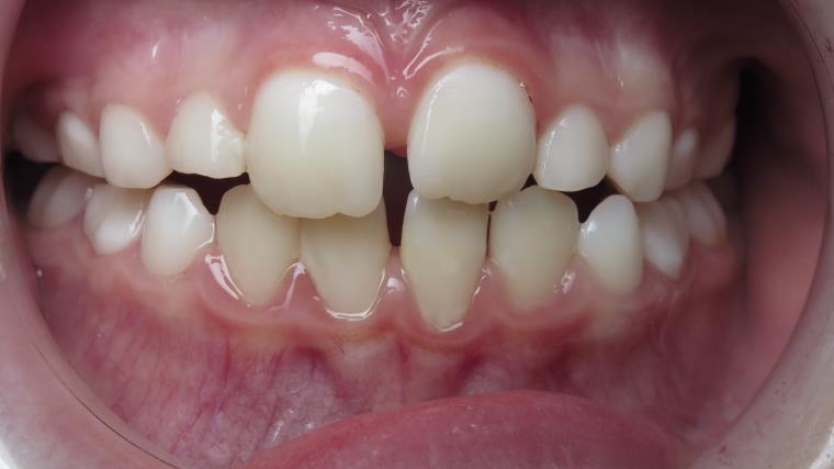
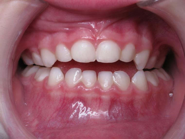
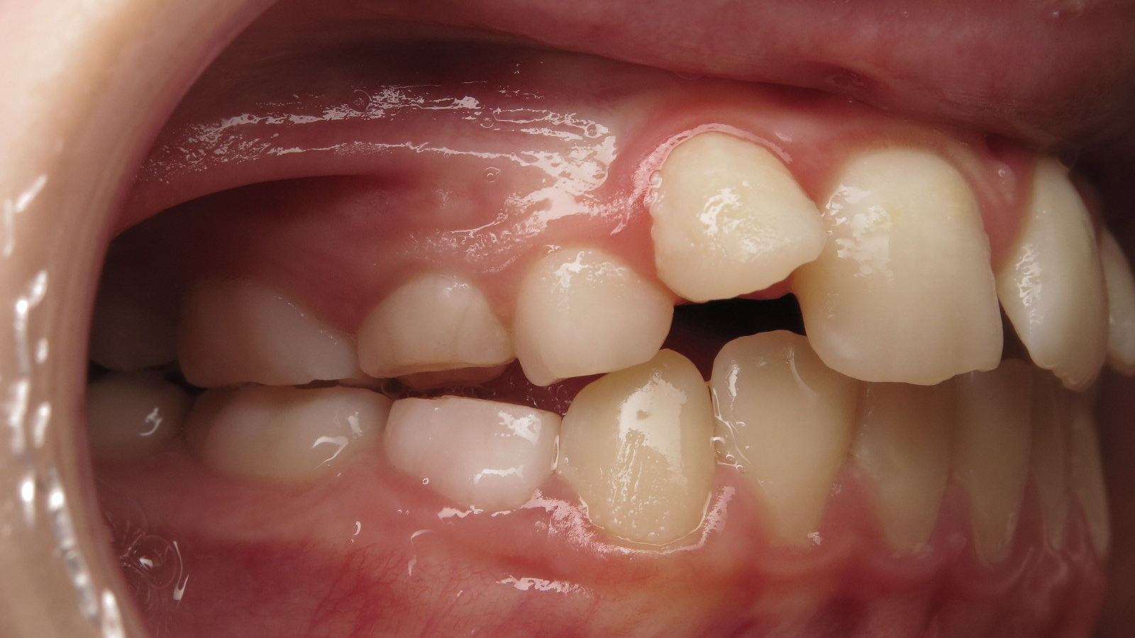
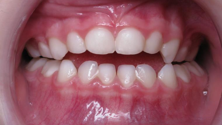
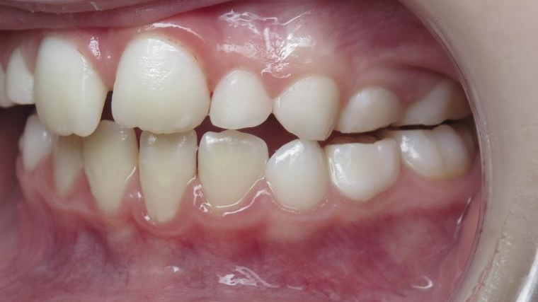
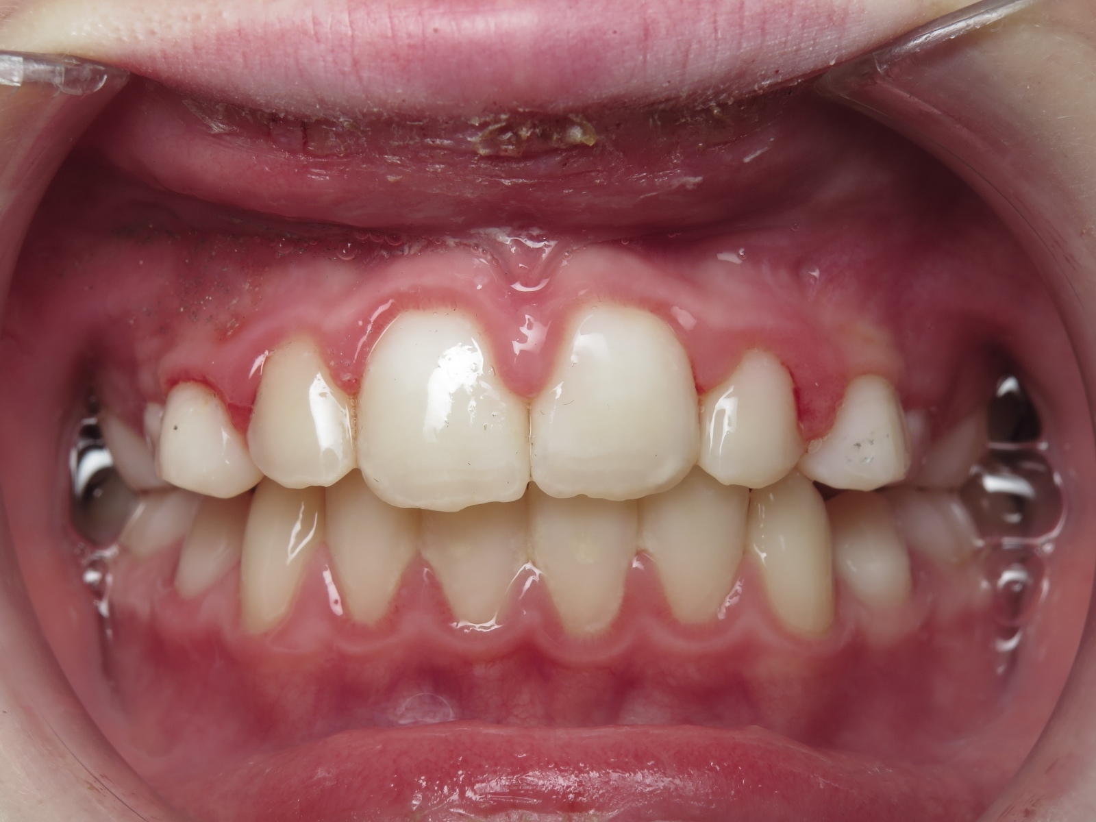
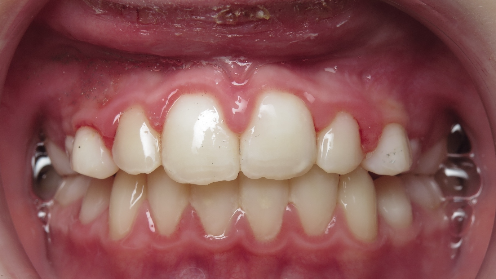
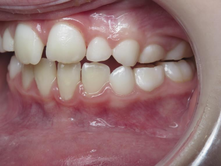
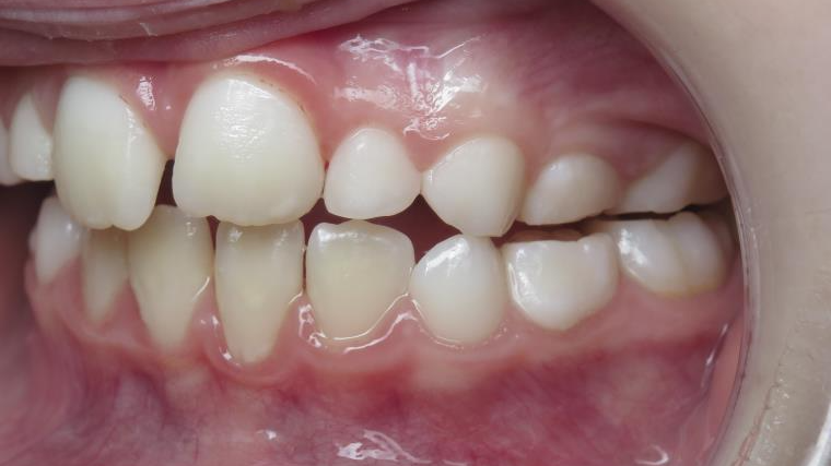
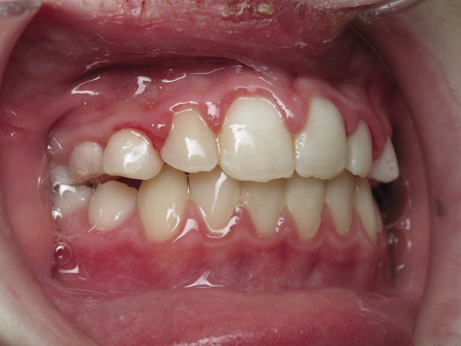
13. béance 4 ans

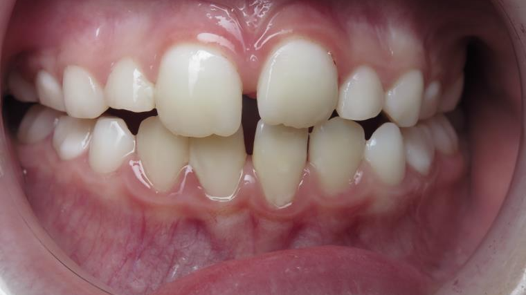
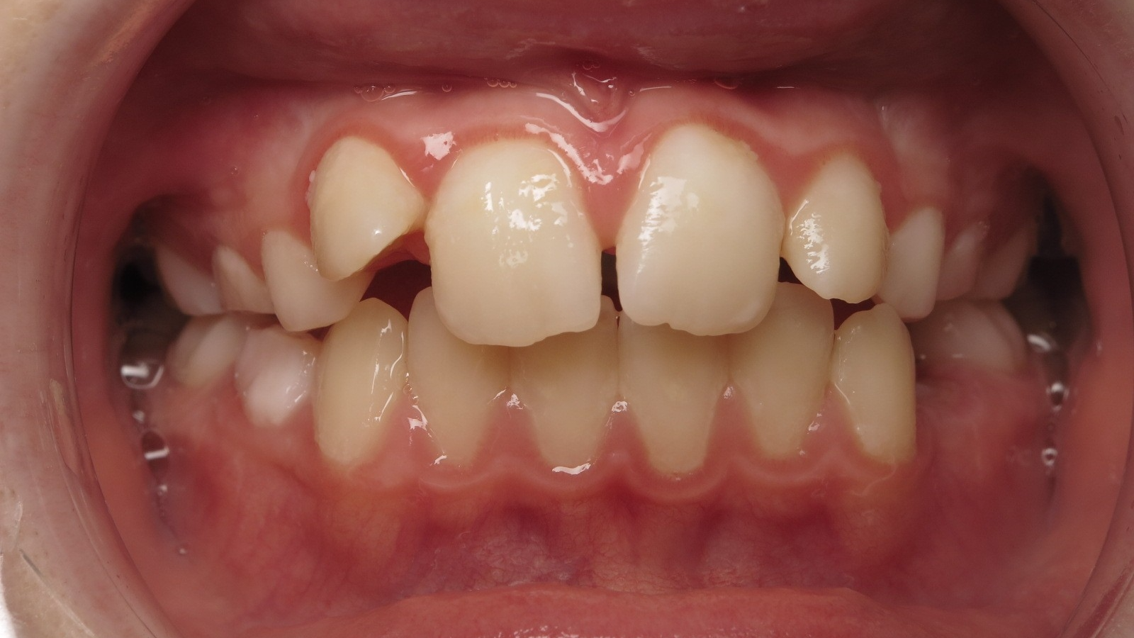
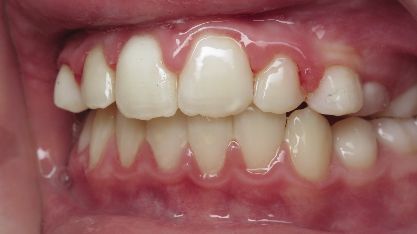
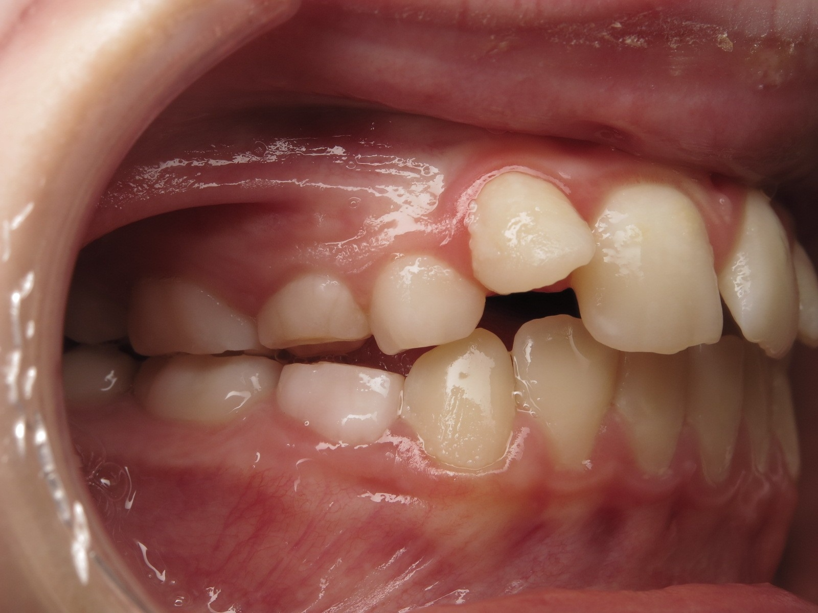
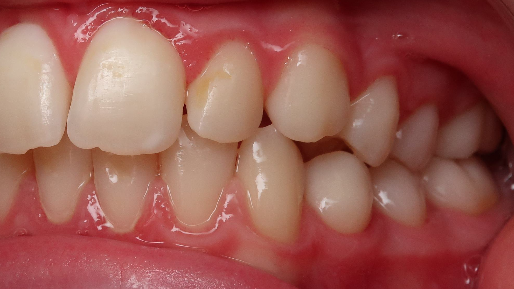
Sélectionnez les différentes étapes du traitement pour comparer et analyser la dentition du cas clinique.

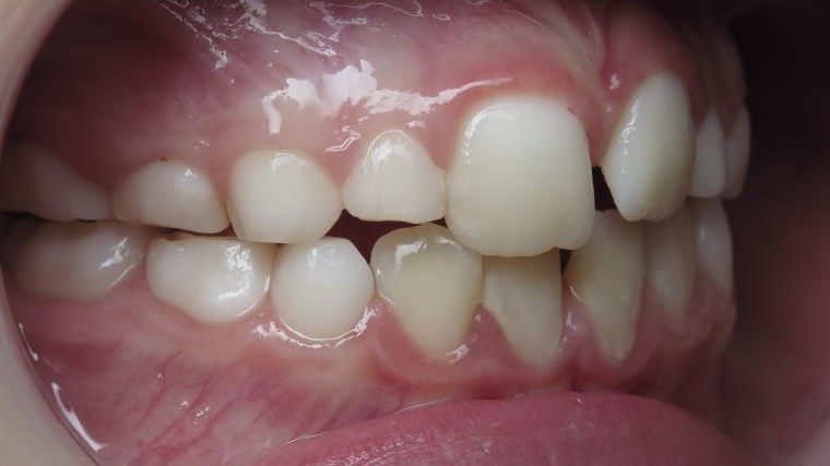
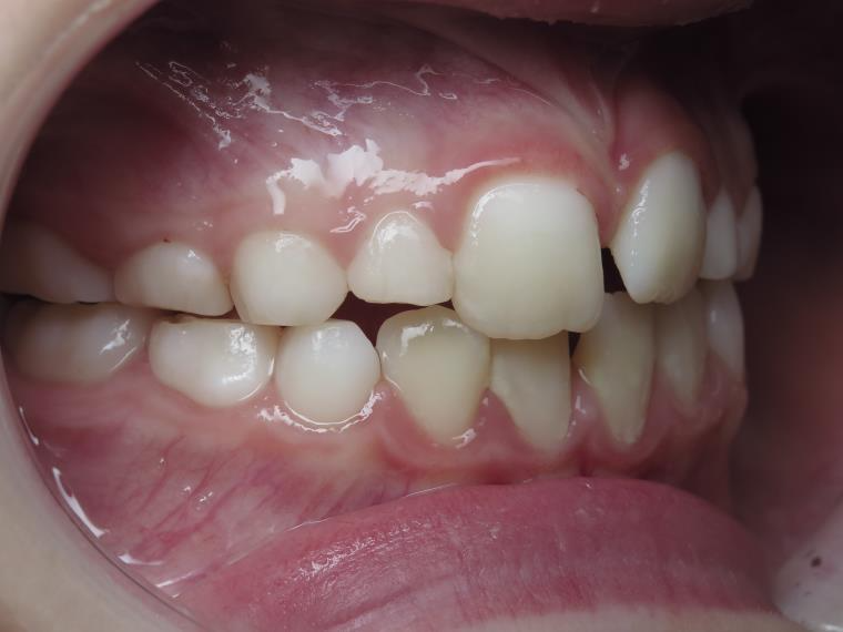
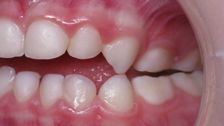
espace entre l'arcade du haut et du bas (béance)
appareillage mobile pendant 36 mois
surveillance évolution de la dentition pendant 2 ans
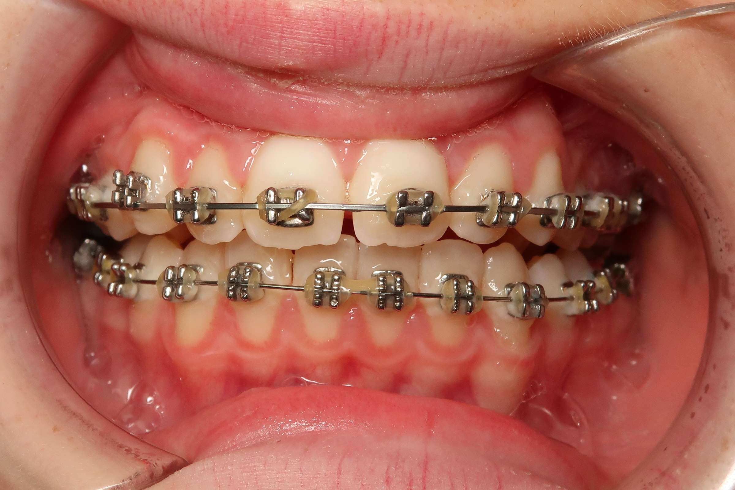
sectionnel multibagues pendant 3 mois
surveillance évolution de la dentition pendant 16 mois
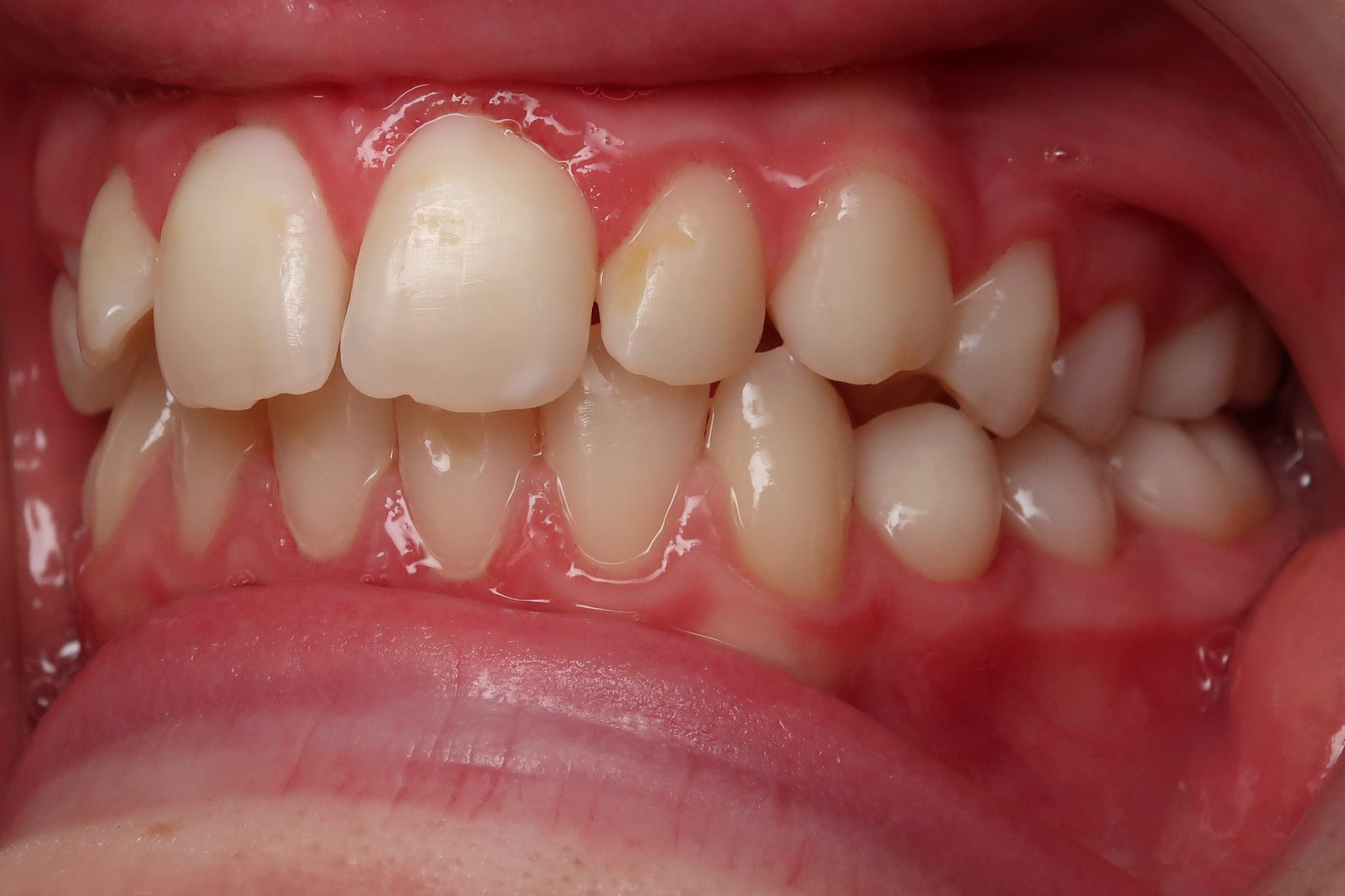
appareillage multibagues traitement en cours
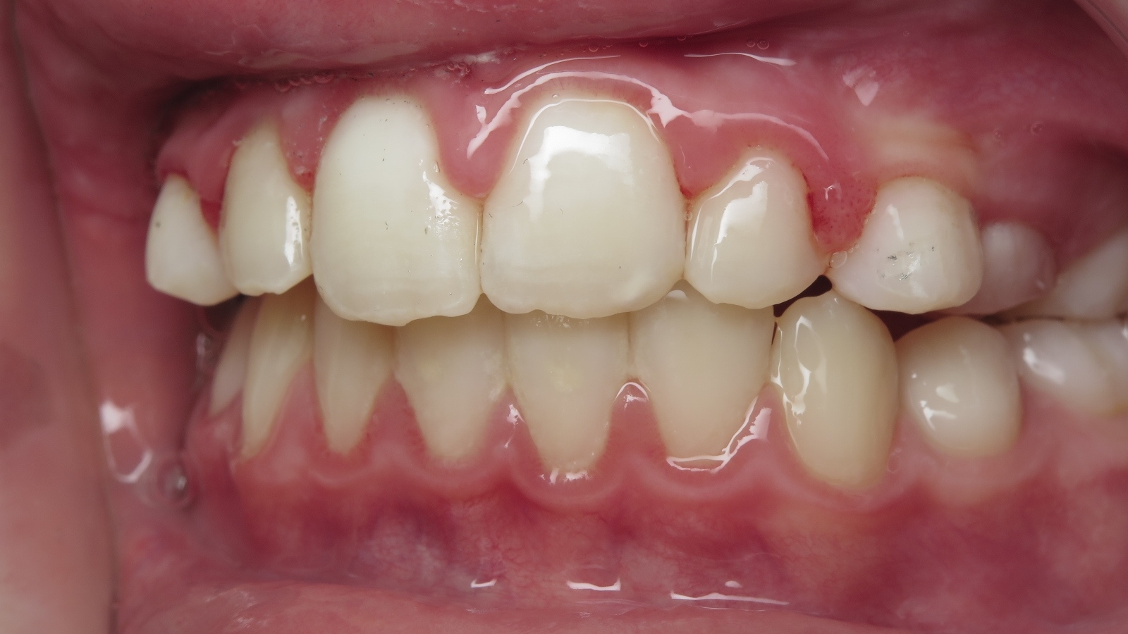
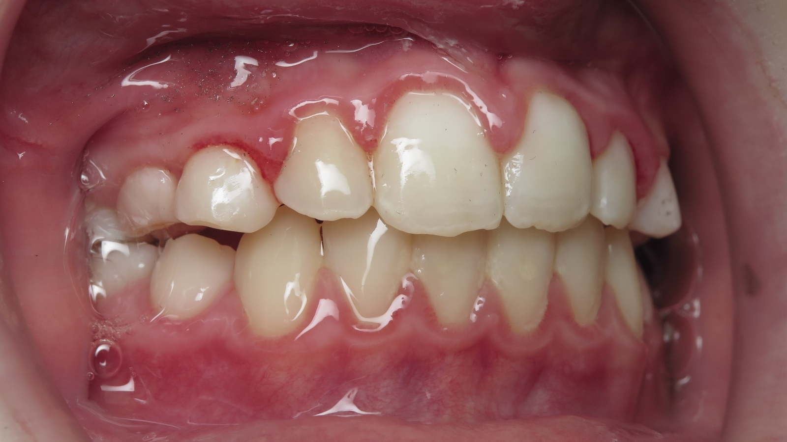
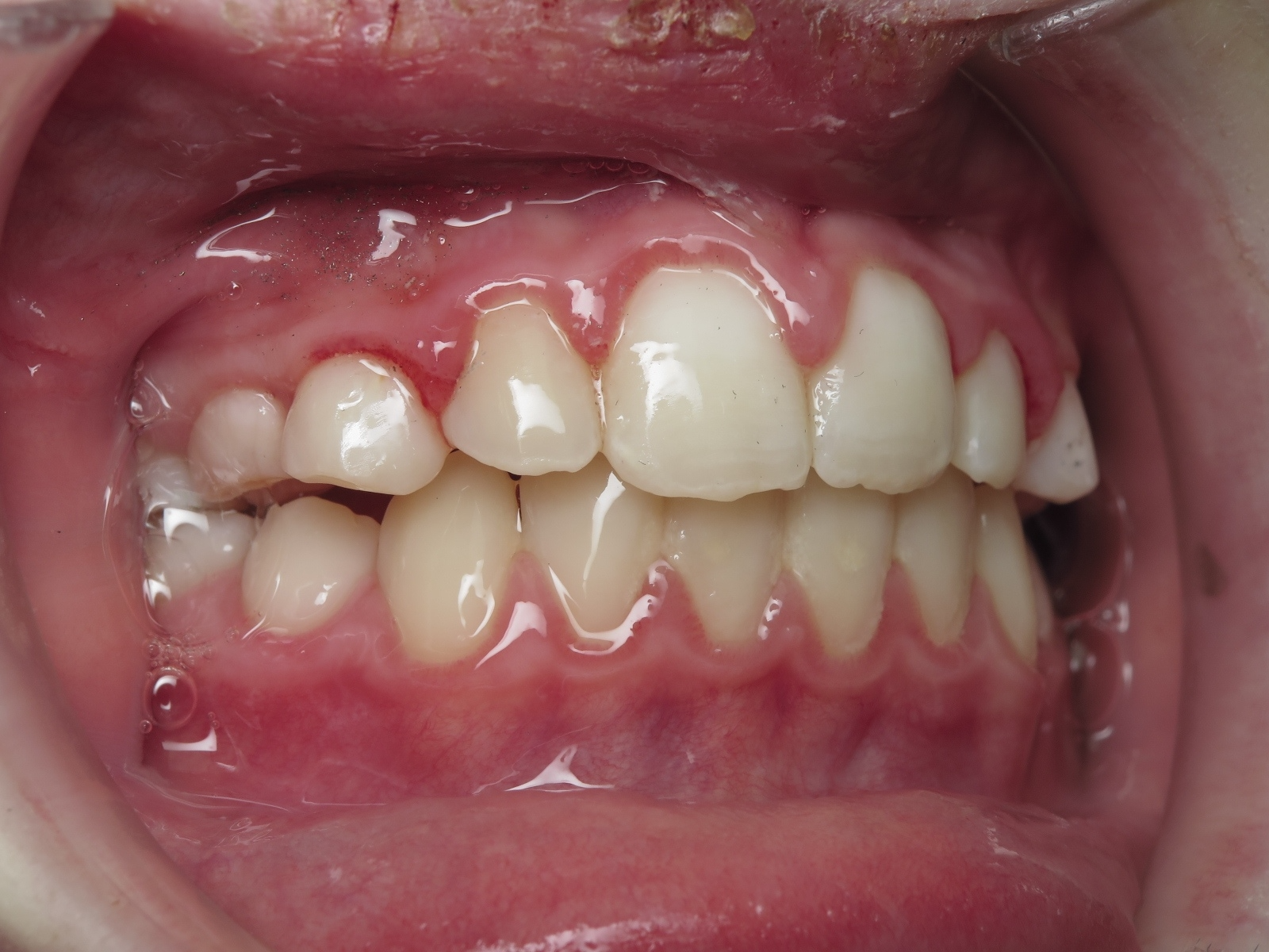
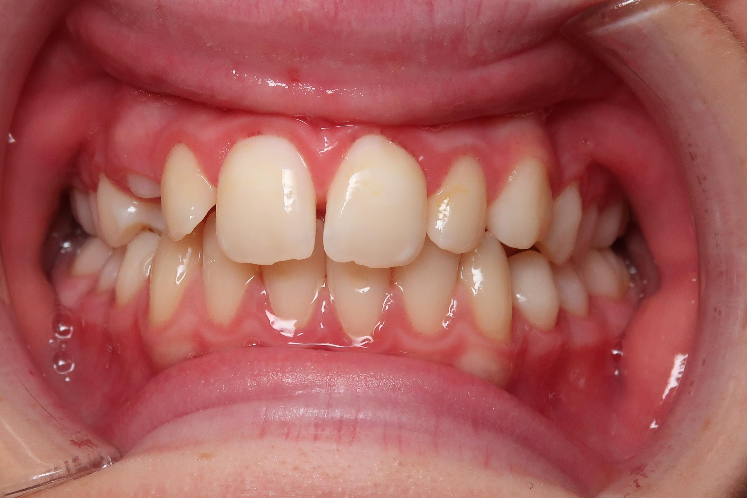
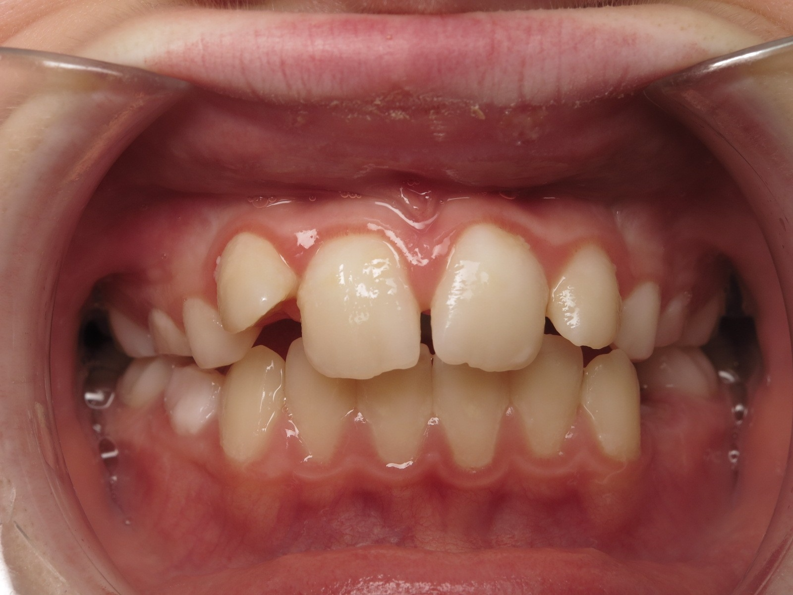
bilan début et fin de traitement
bilan des radiographies début et fin de traitement