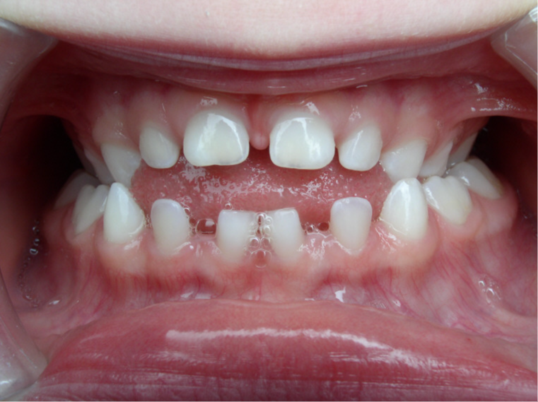
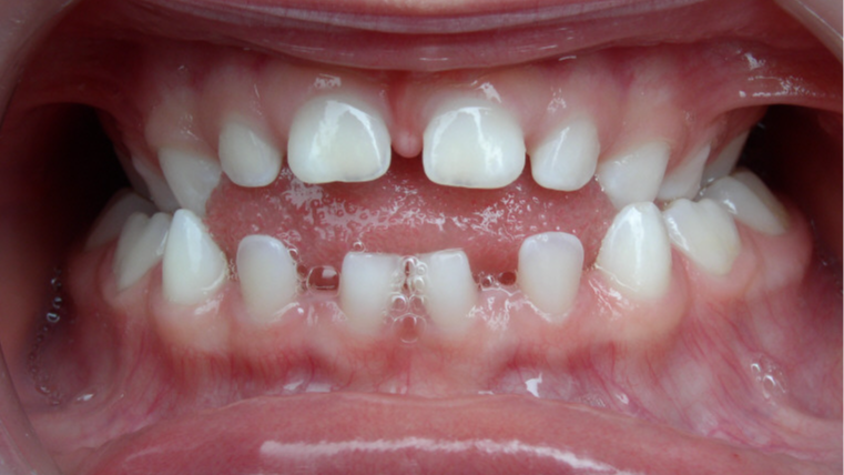
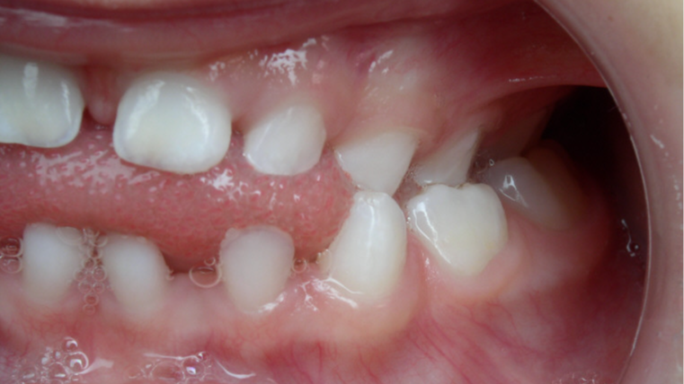
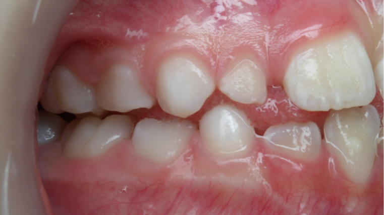
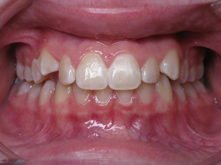
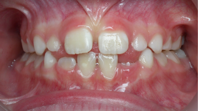
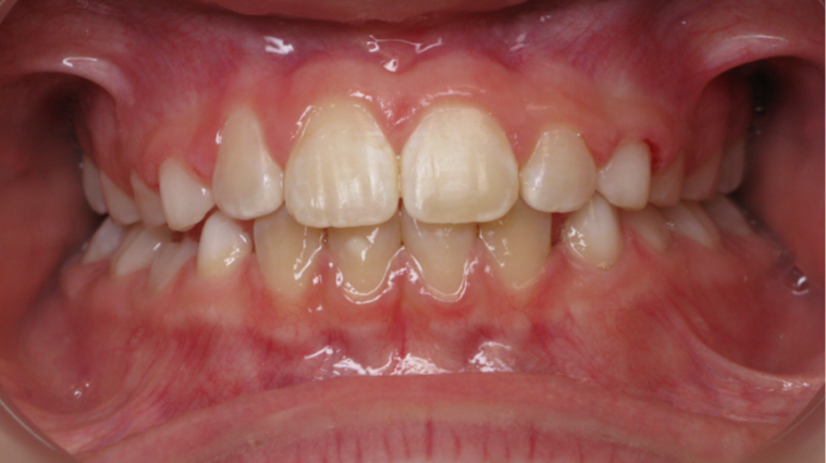
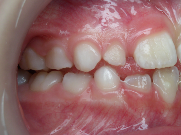
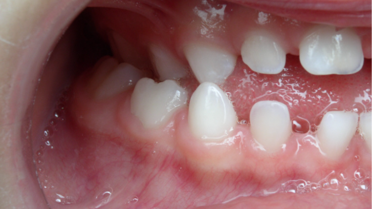
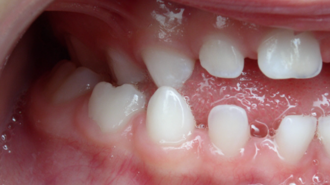
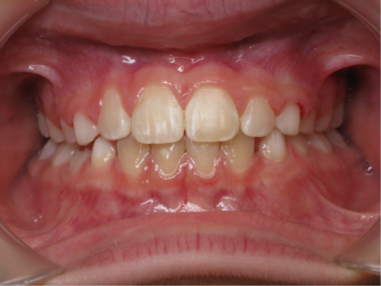
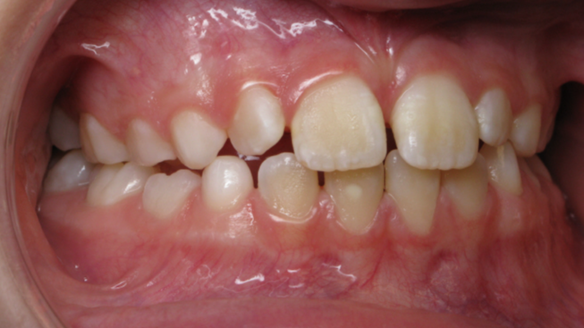
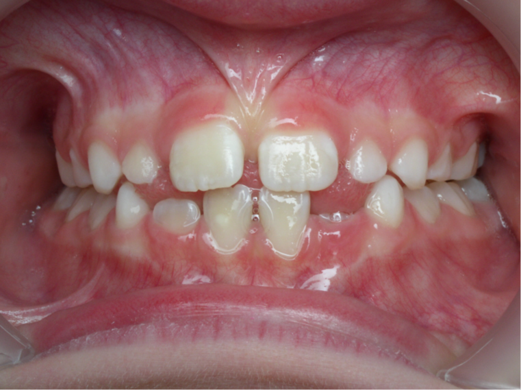
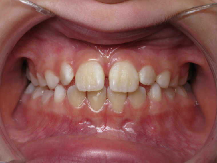
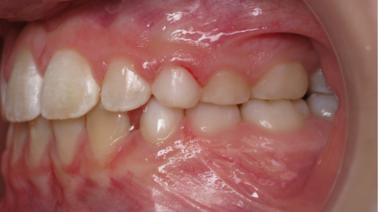
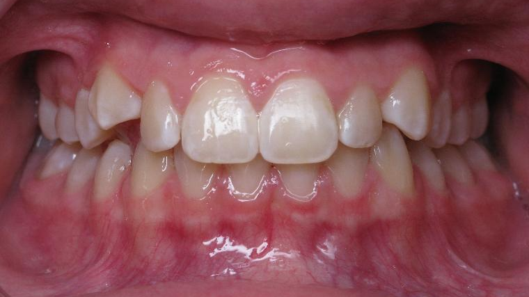
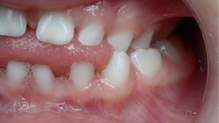
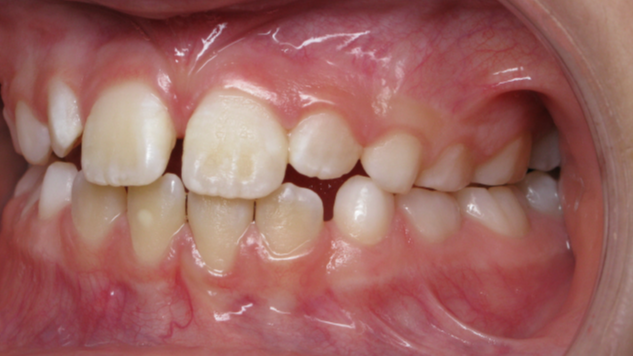
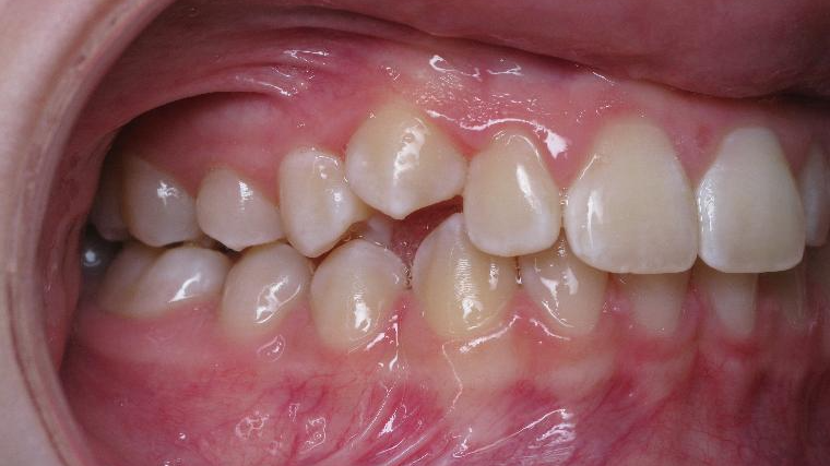
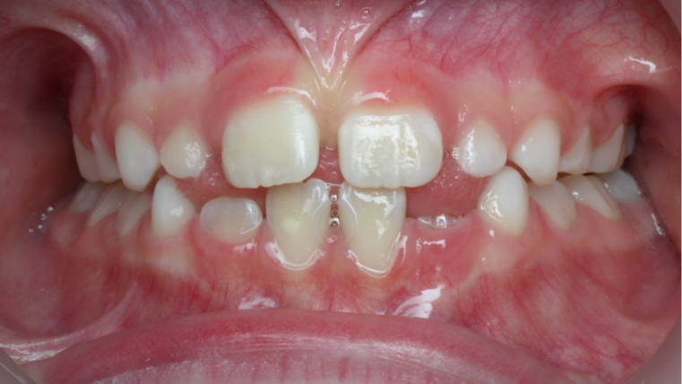
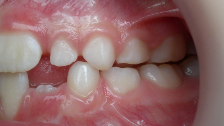
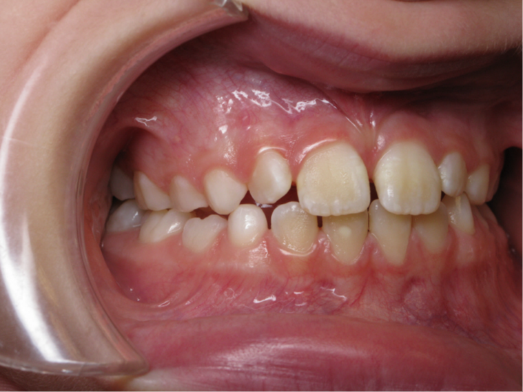
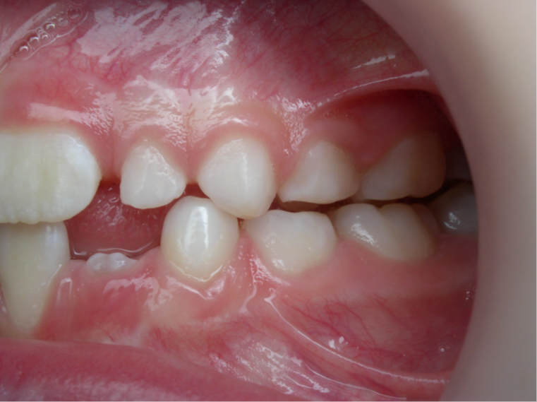
30. béance classe 3 4 ans

Sélectionnez les différentes étapes du traitement pour comparer et analyser la dentition du cas clinique.

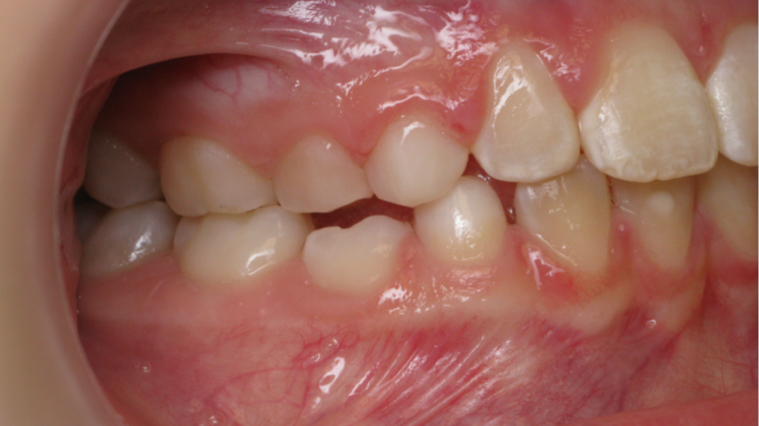
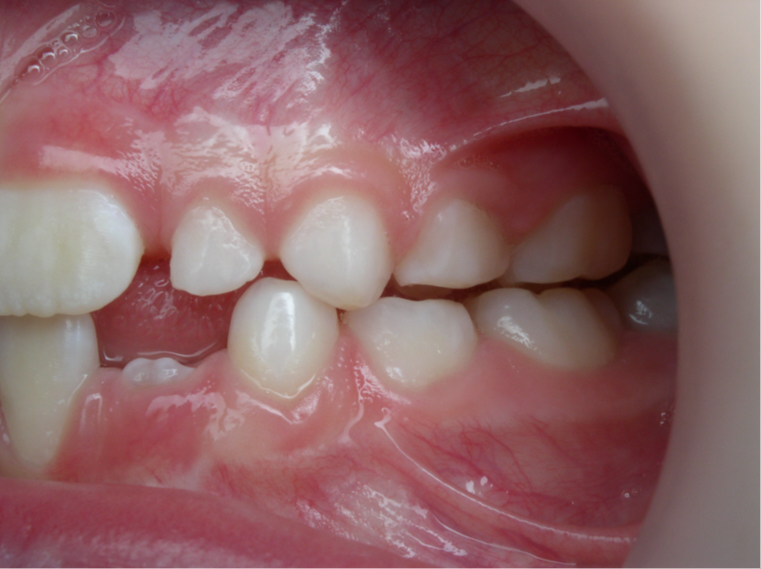
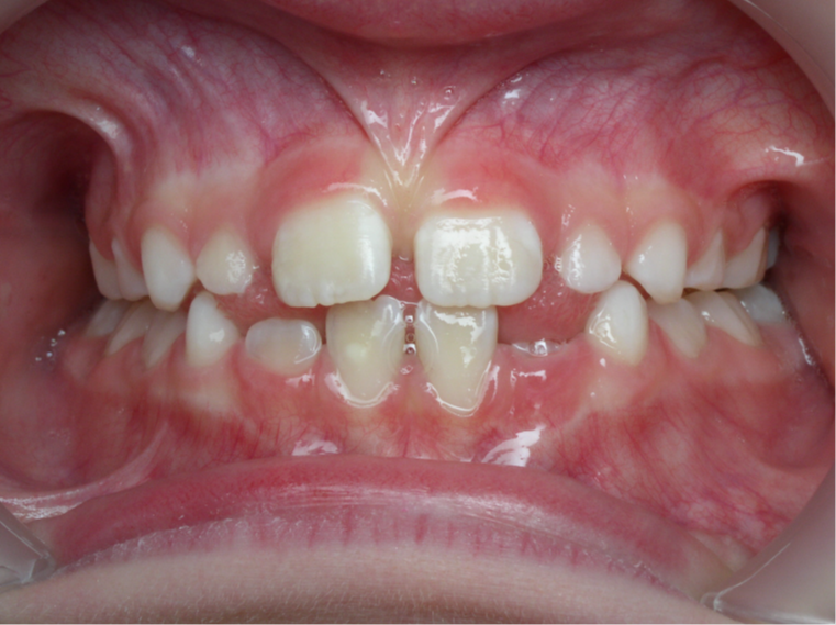
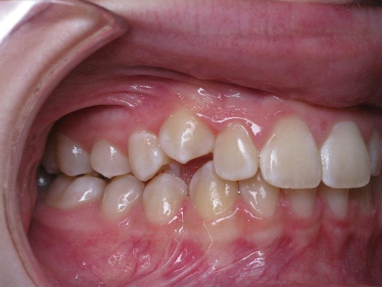
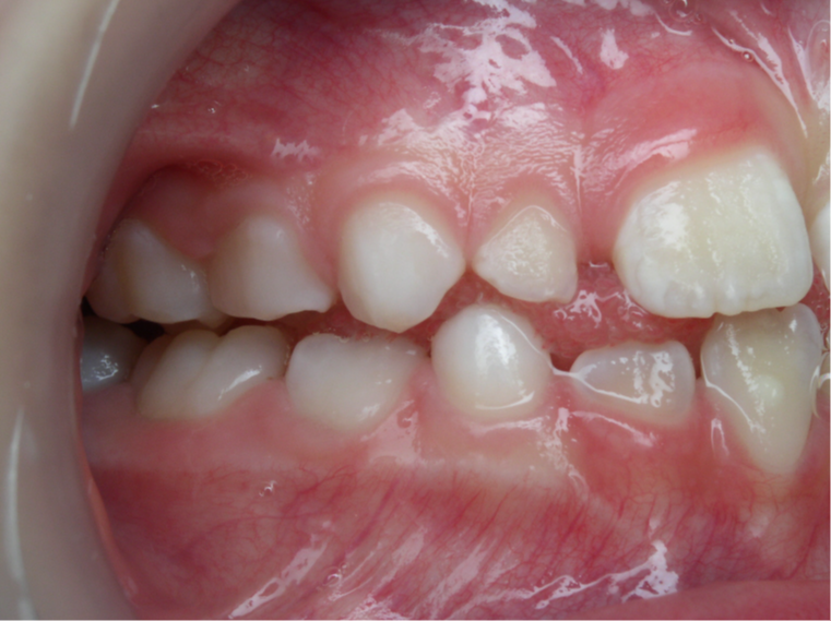
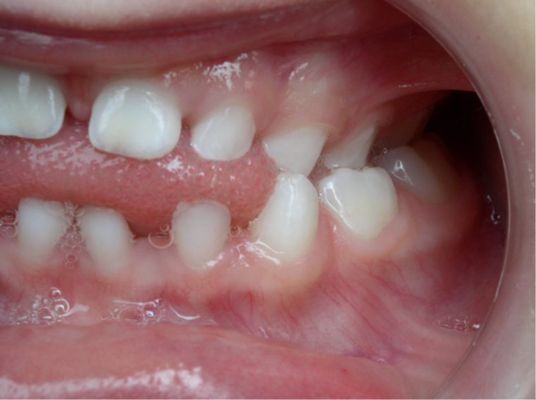
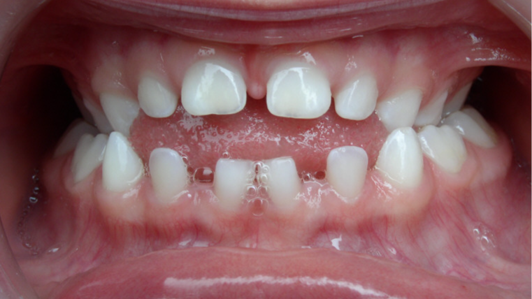
espace entre l'arcade du haut et du bas (béance) et dents du bas en avant par rapport à celle du haut
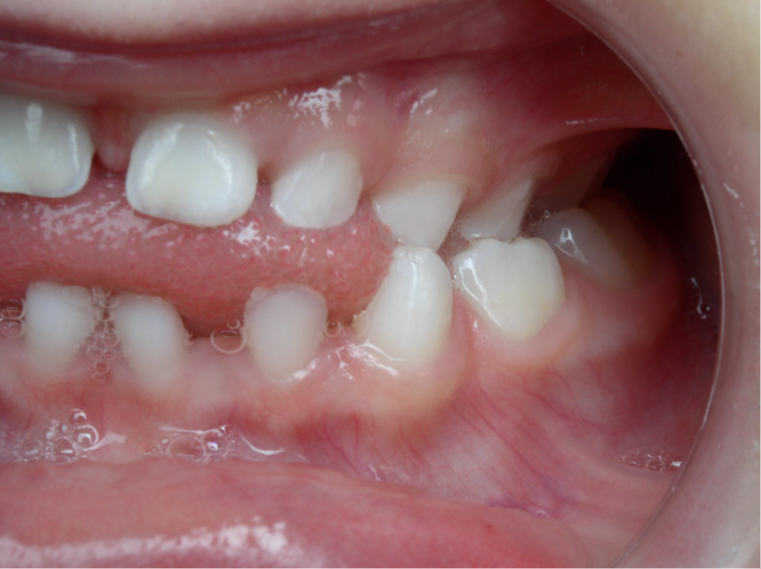
appareillage mobile pendant 24 mois
surveillance évolution de la dentition pendant 12 mois
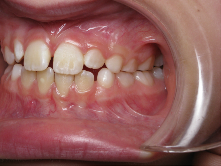
appareillage sectionnel multibagues pendant 7 mois
surveillance évolution de la dentition pendant 3 ans
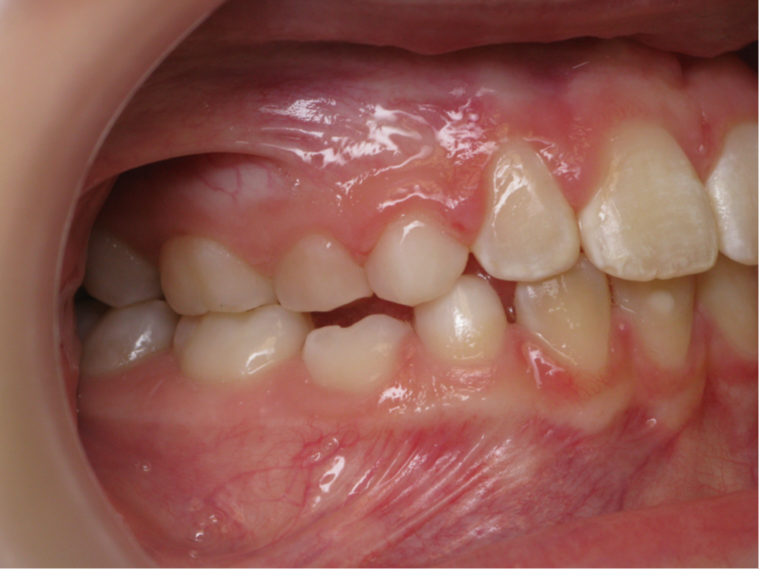
appareillage multibagues pendant 26 mois
surveillance de la dentition par gouttières nocturne
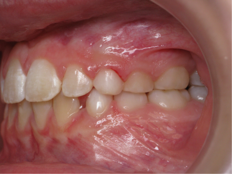
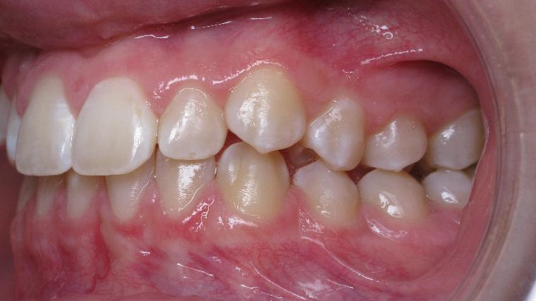
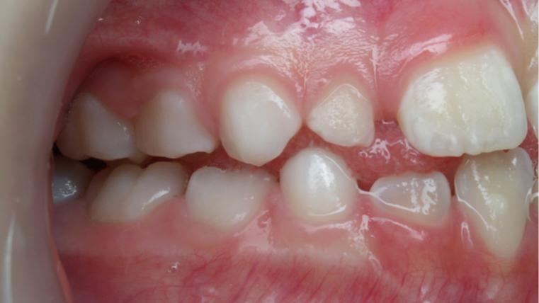
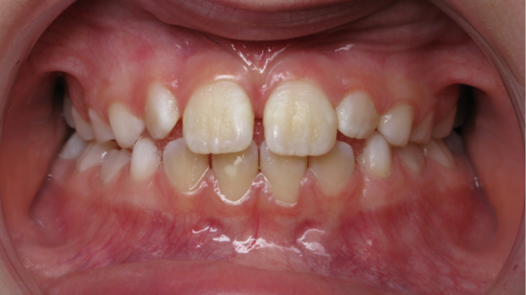
bilan début et fin de traitement
bilan des radiographies début et fin de traitement