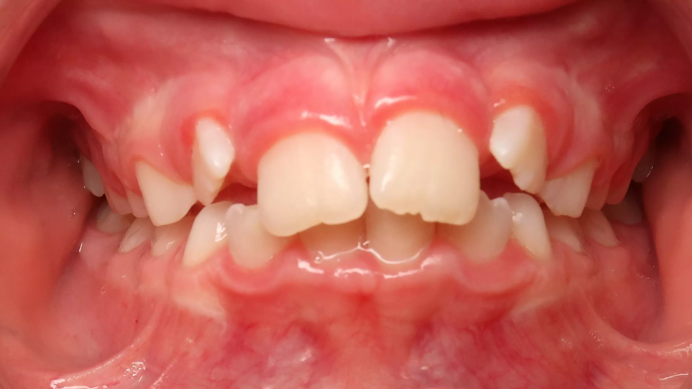
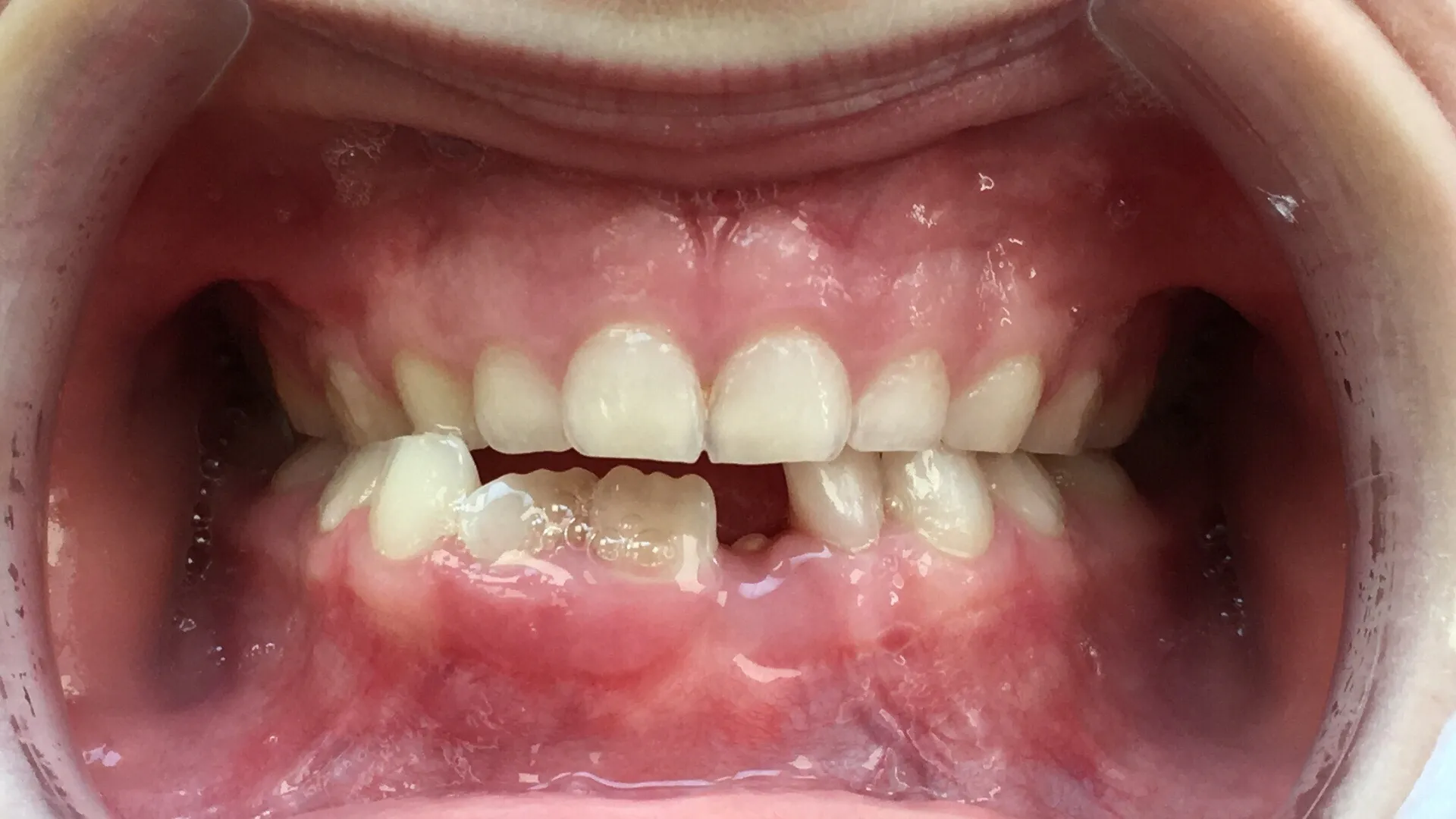
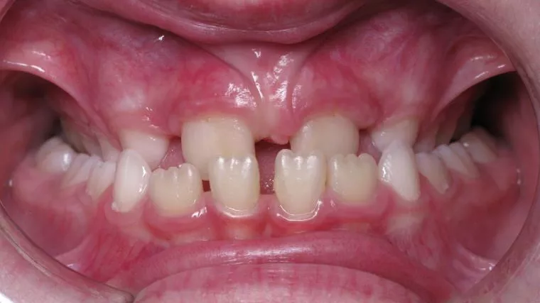
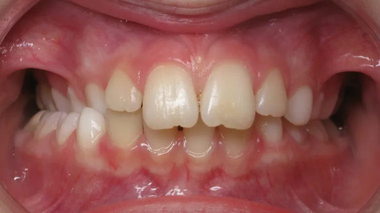
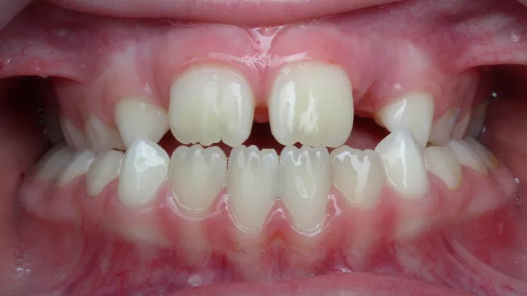
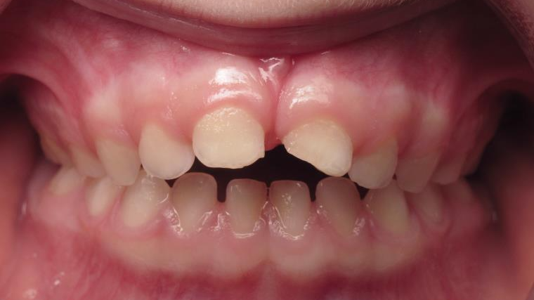
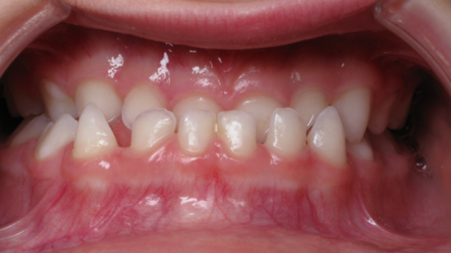
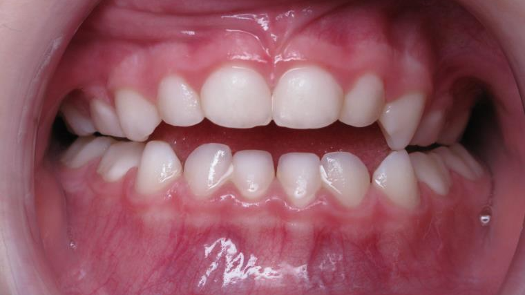
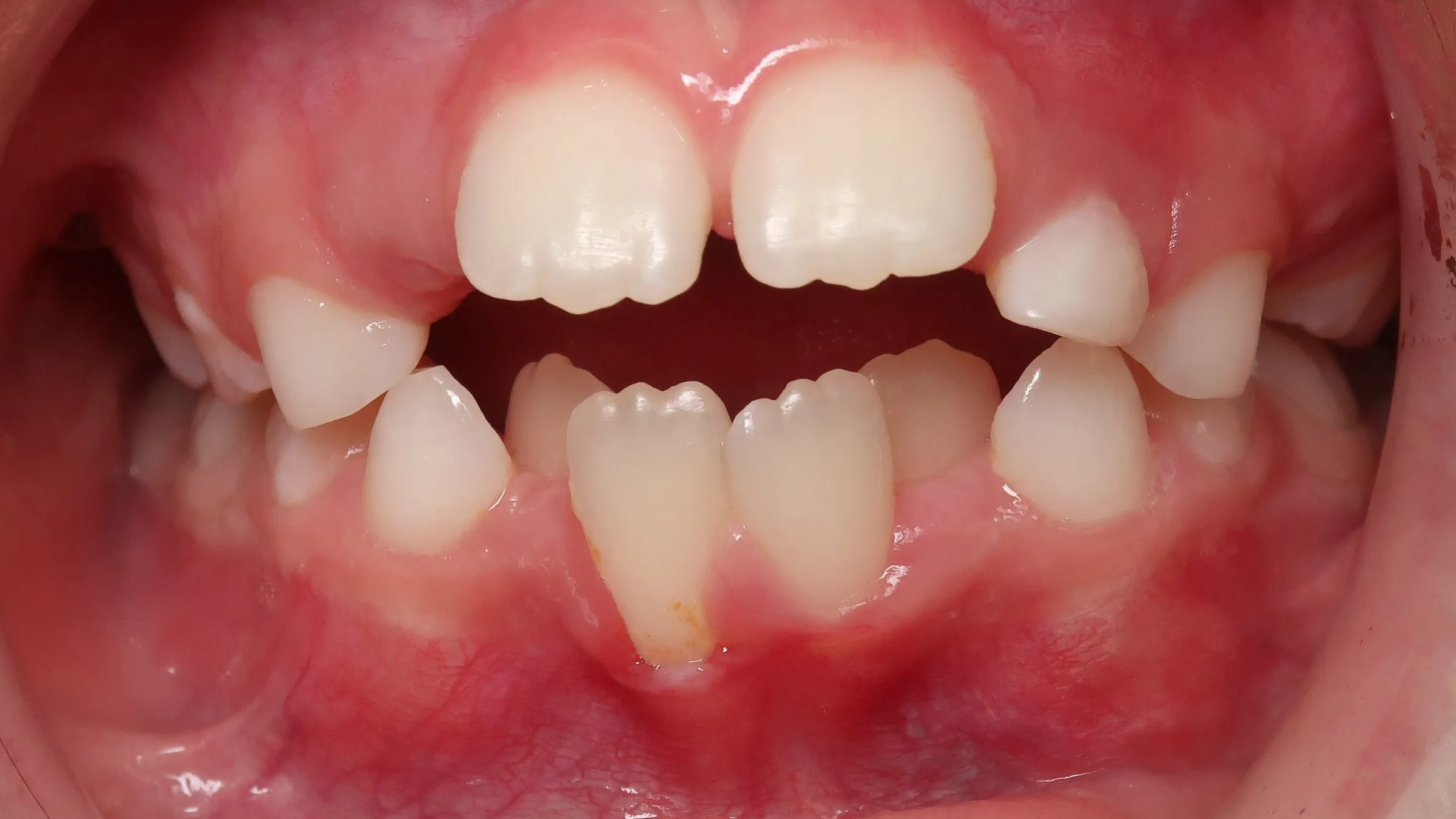
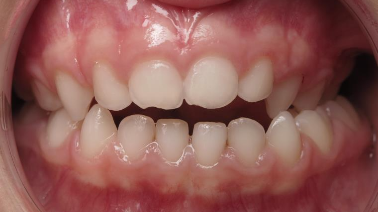
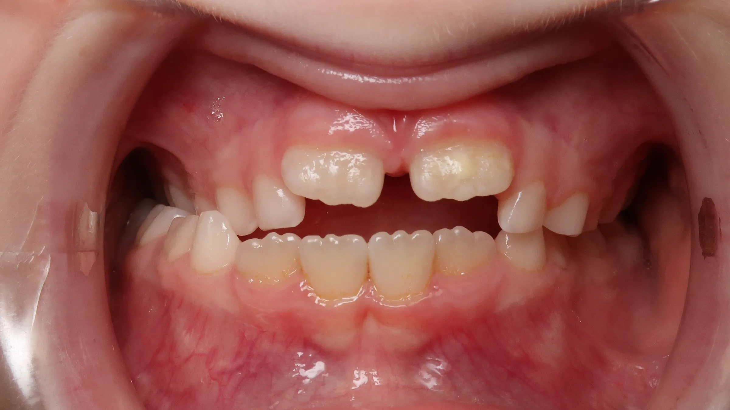
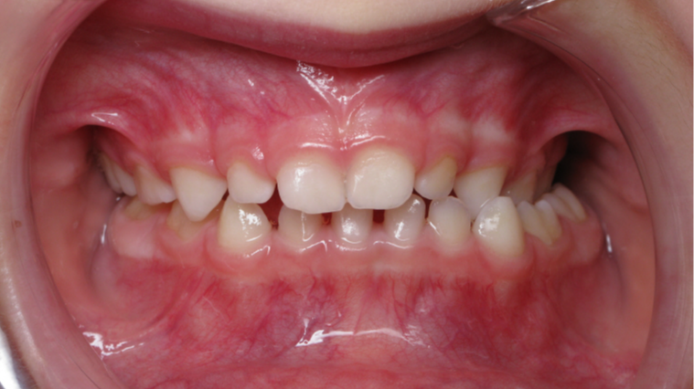
Recherche par categorie de malocclusion
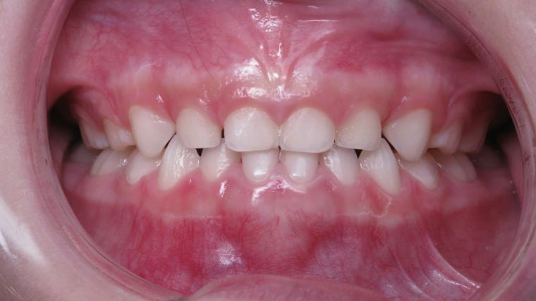
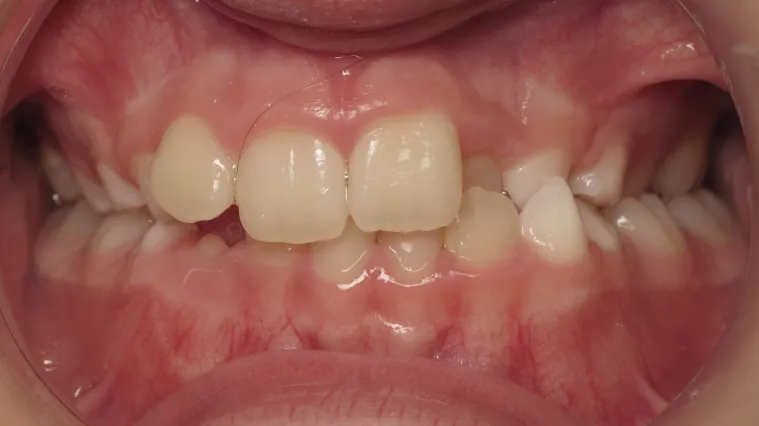
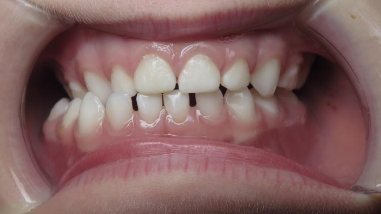
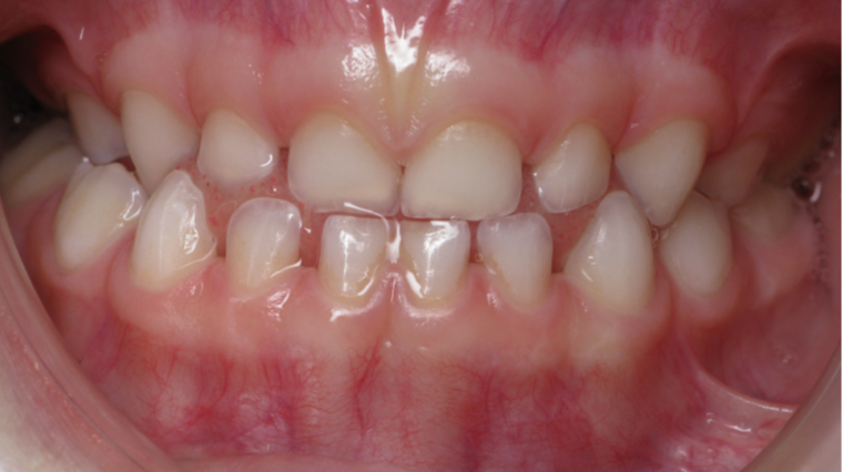
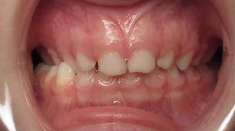
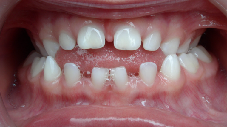
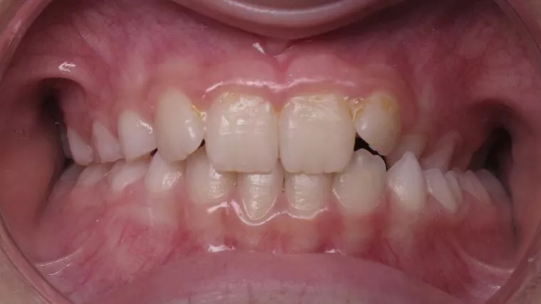
Sélectionnez votre type de dentition, puis comparez-la à la normalité située au centre de la grille. Ensuite, cliquez sur la catégorie qui correspond le mieux à votre dentition.
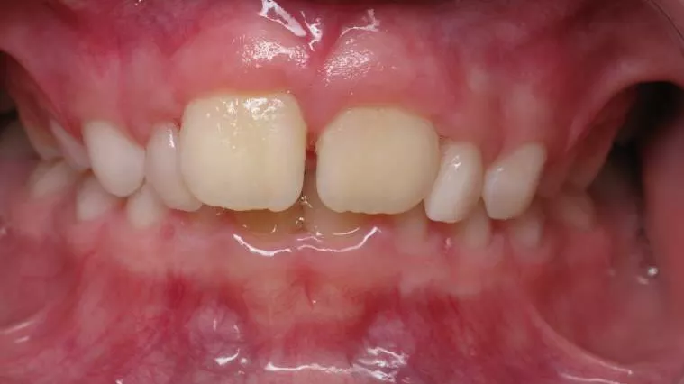
Sélectionnez votre type de dentition, puis comparez-la à la normalité située au centre de la grille. Ensuite, cliquez sur la catégorie qui correspond le mieux à votre dentition.