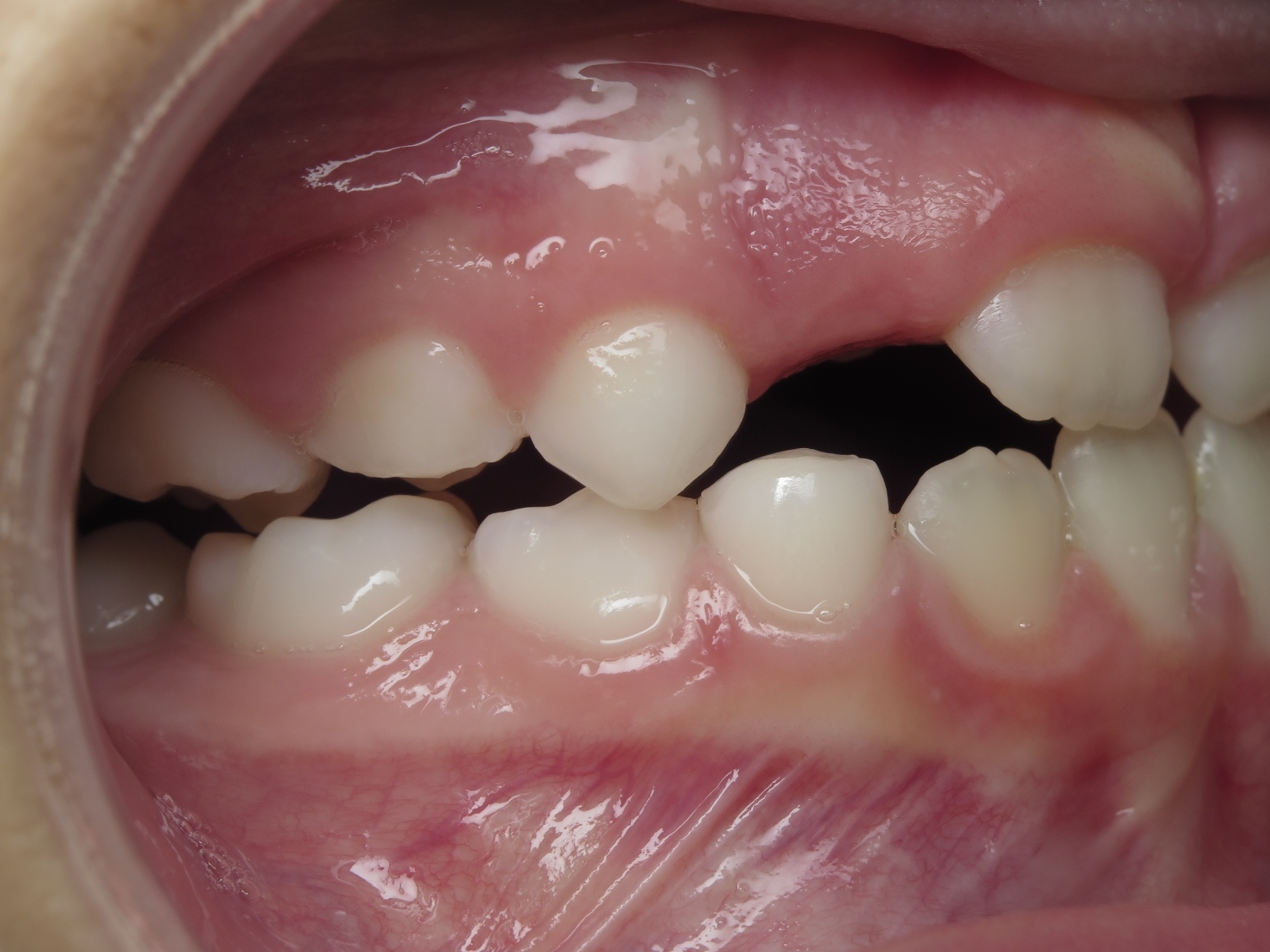
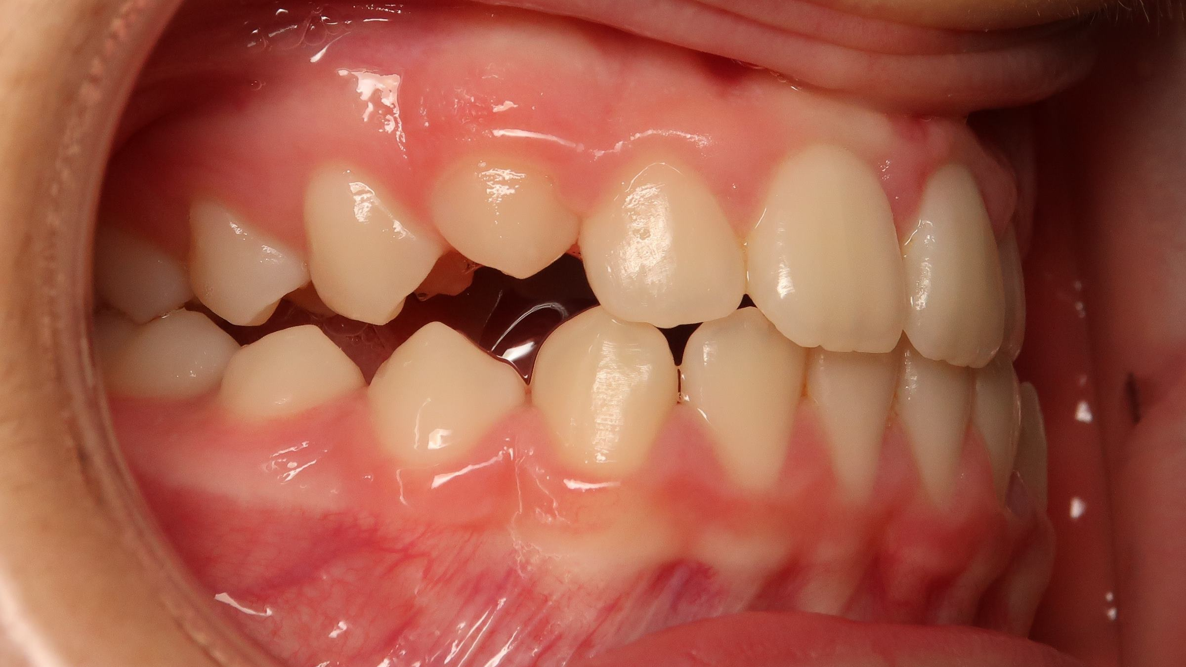
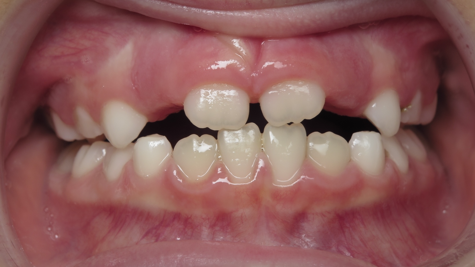
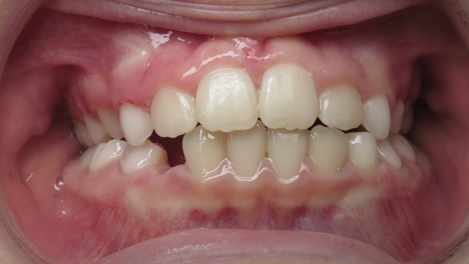
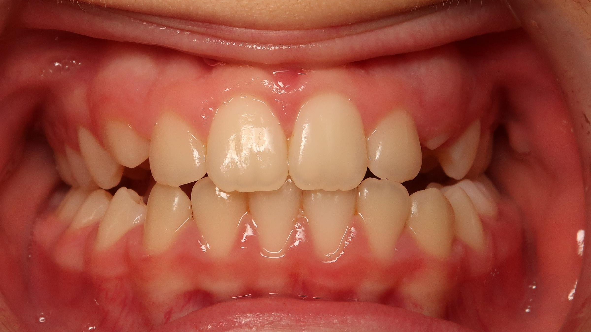
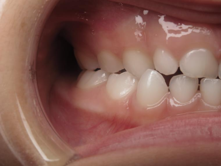
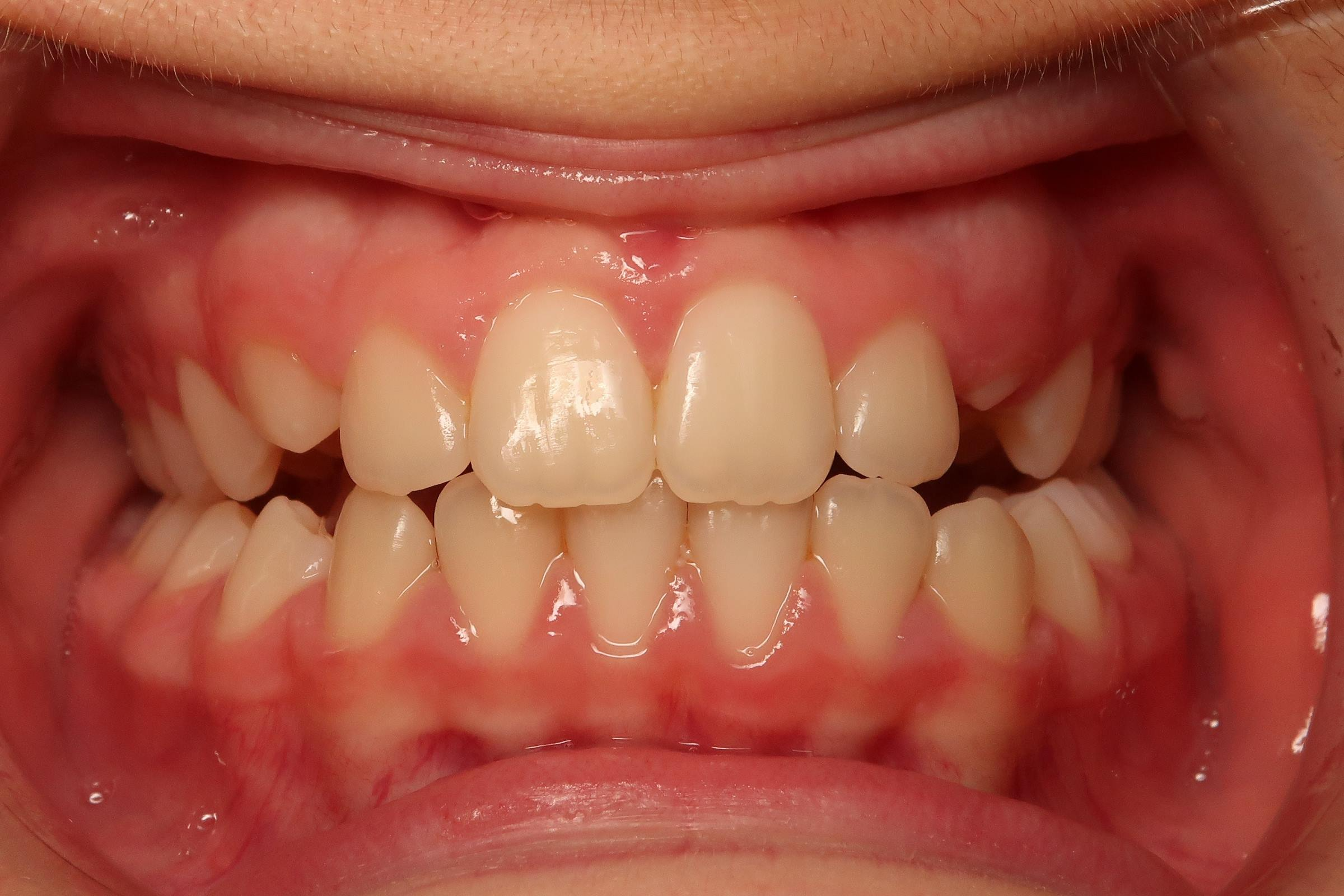
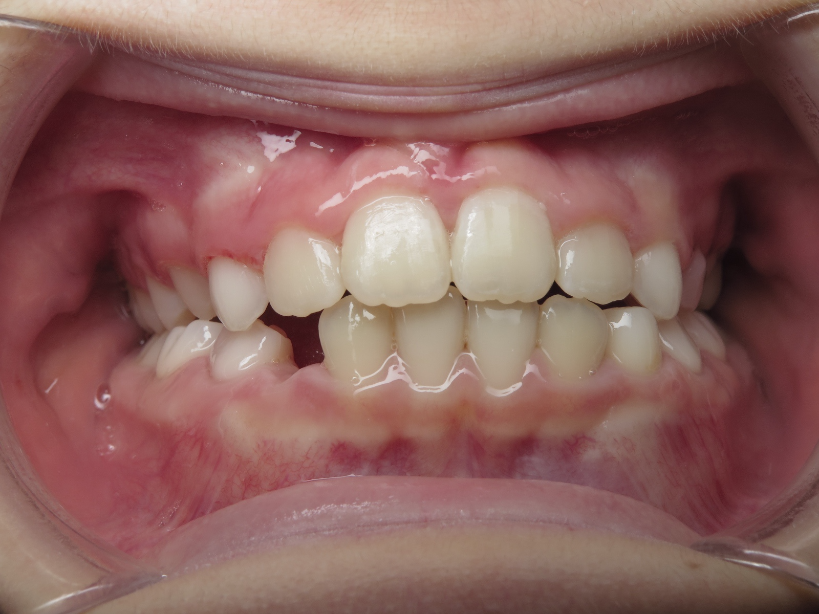
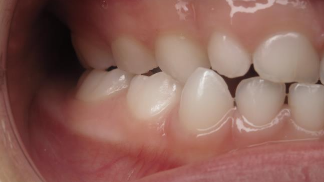
25. bout à bout anterieur 6 ans

Sélectionnez les différentes étapes du traitement pour comparer et analyser la dentition du cas clinique.

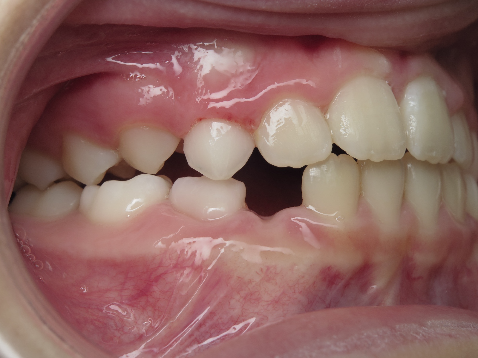
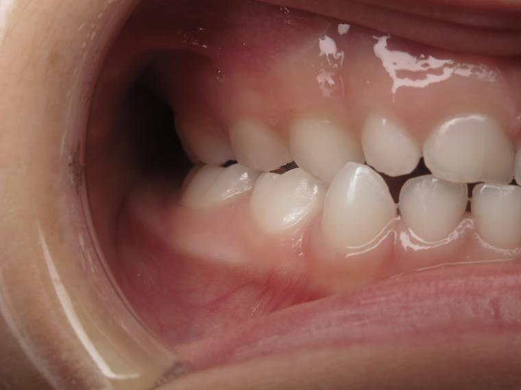
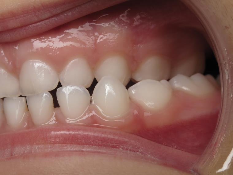
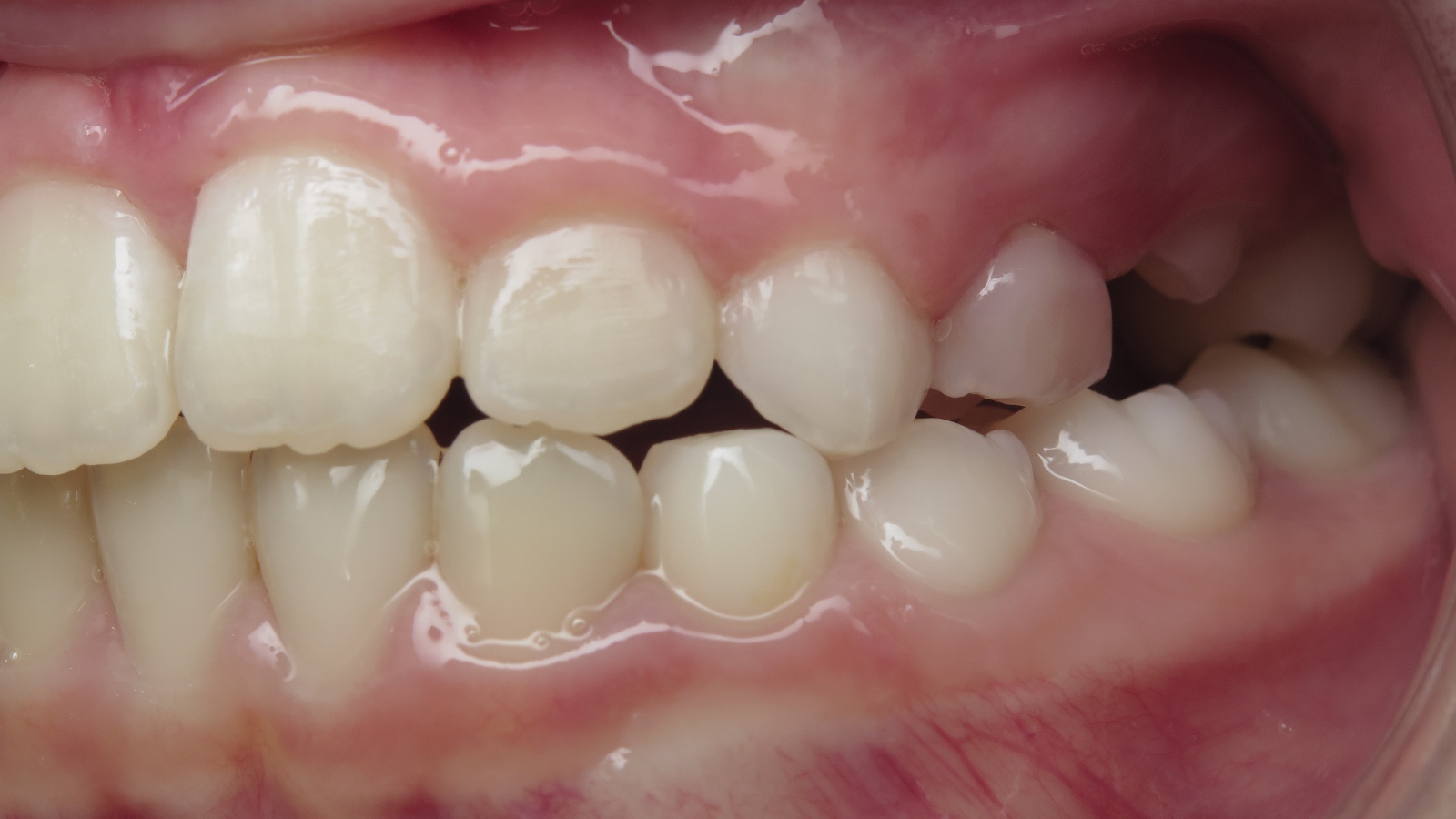
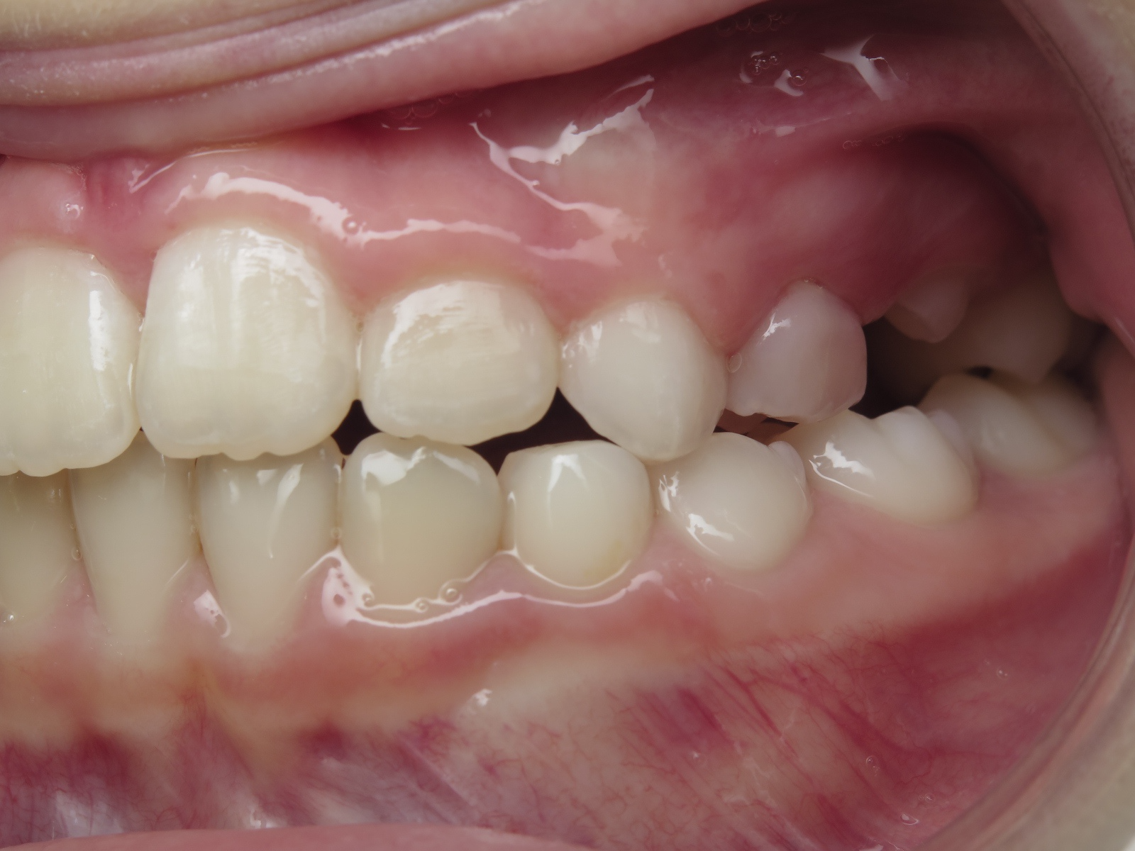
dents du haut bout à bout par rapport à celle du bas
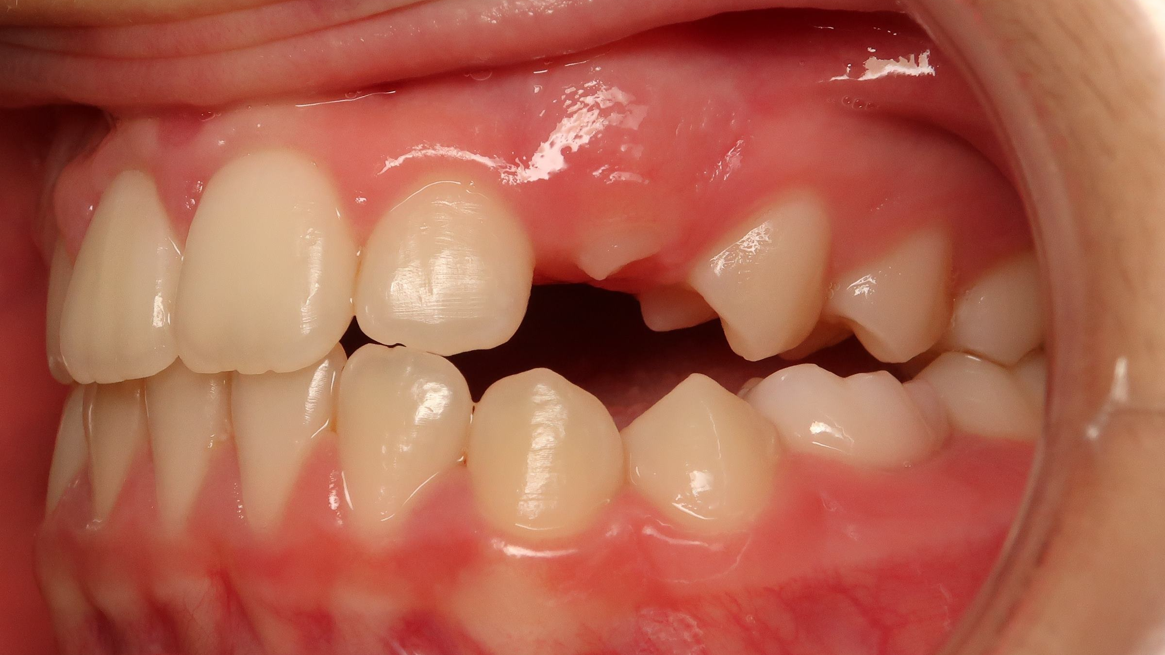
appareillage mobile pendant 22 mois
appareillage sectionnel multibagues pendant 18 mois
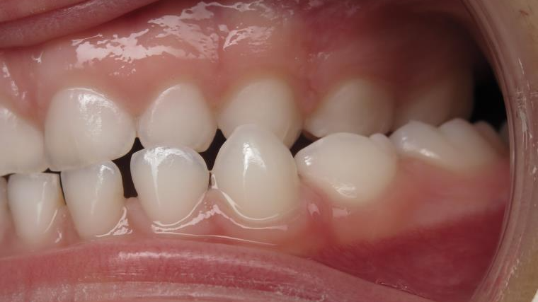
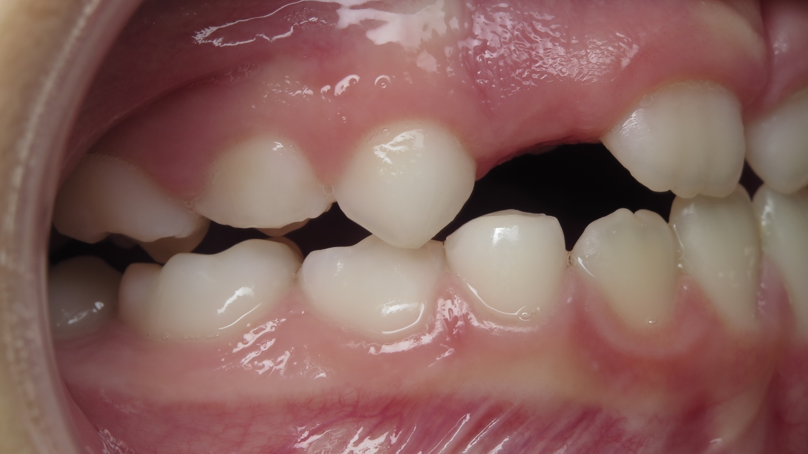
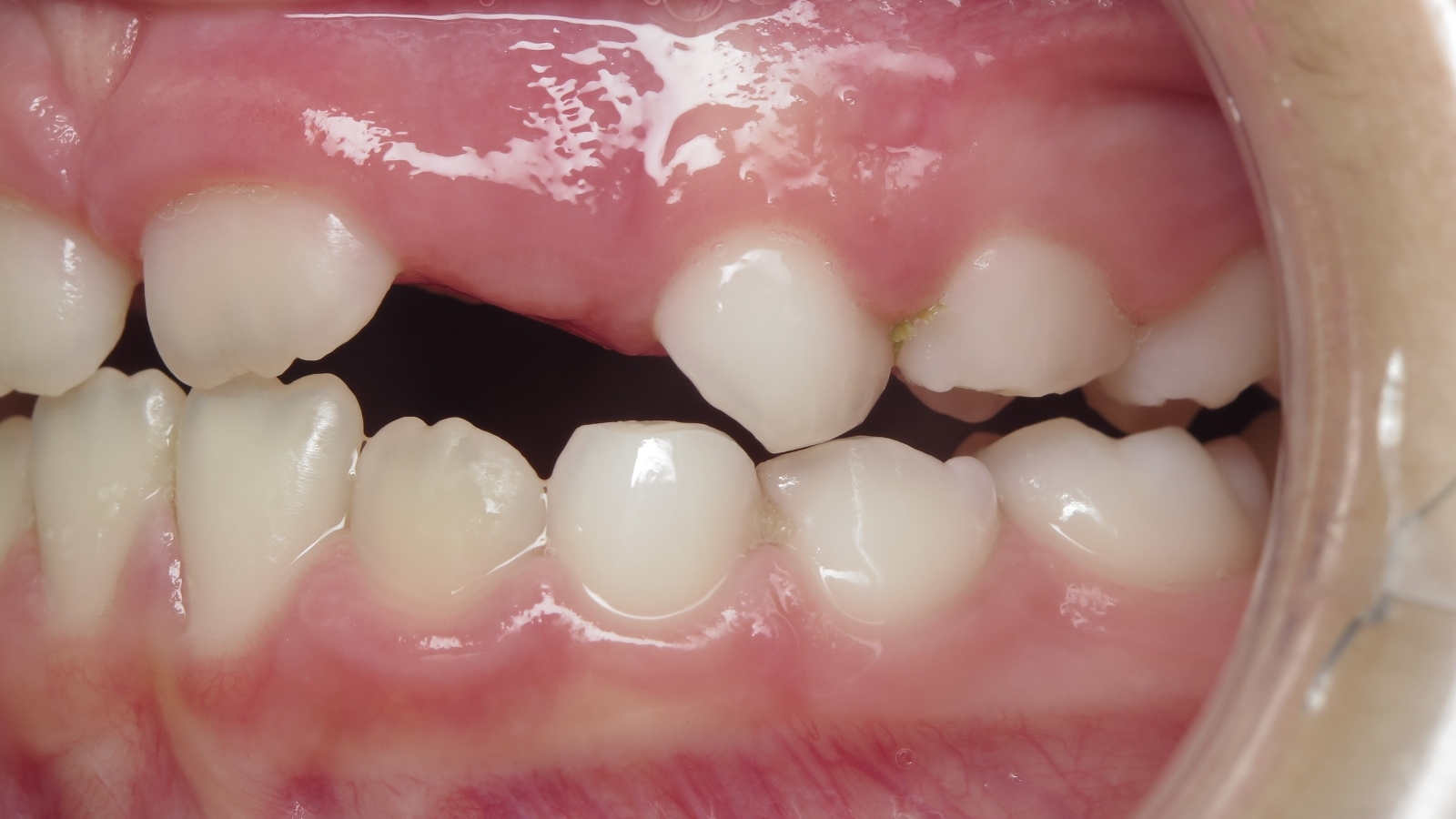
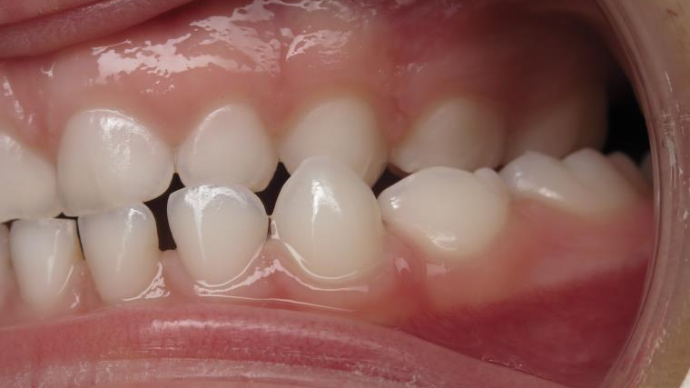
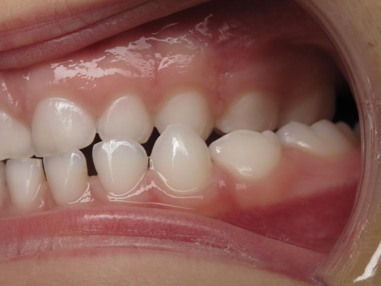
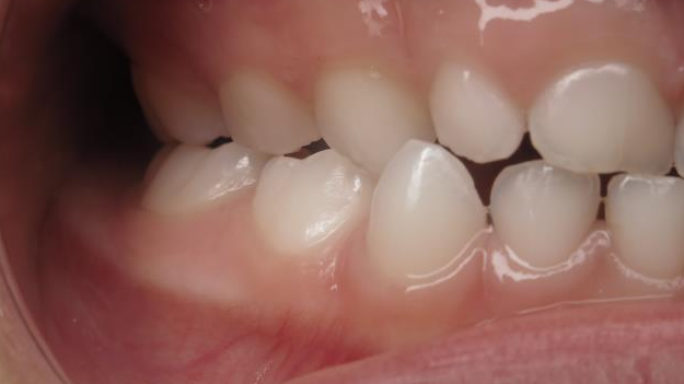
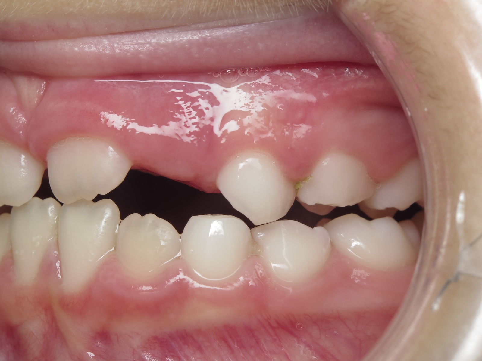
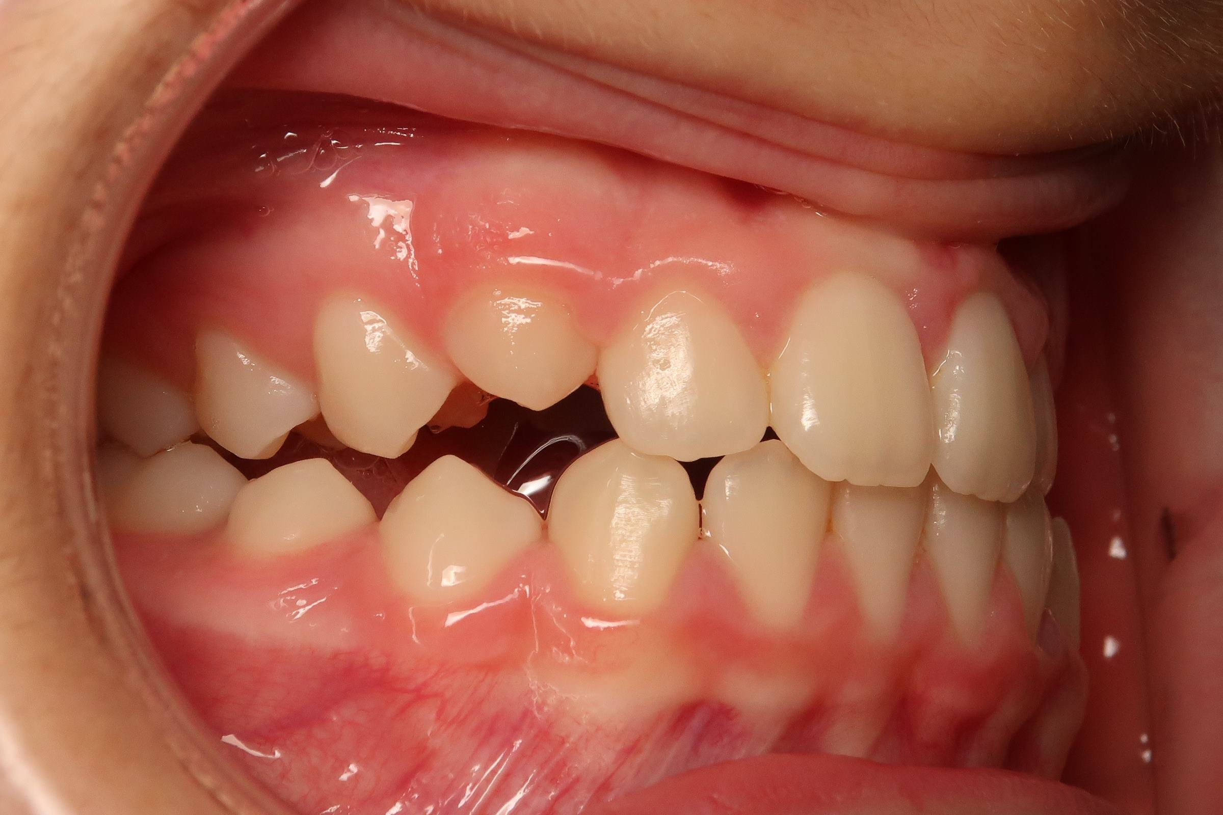
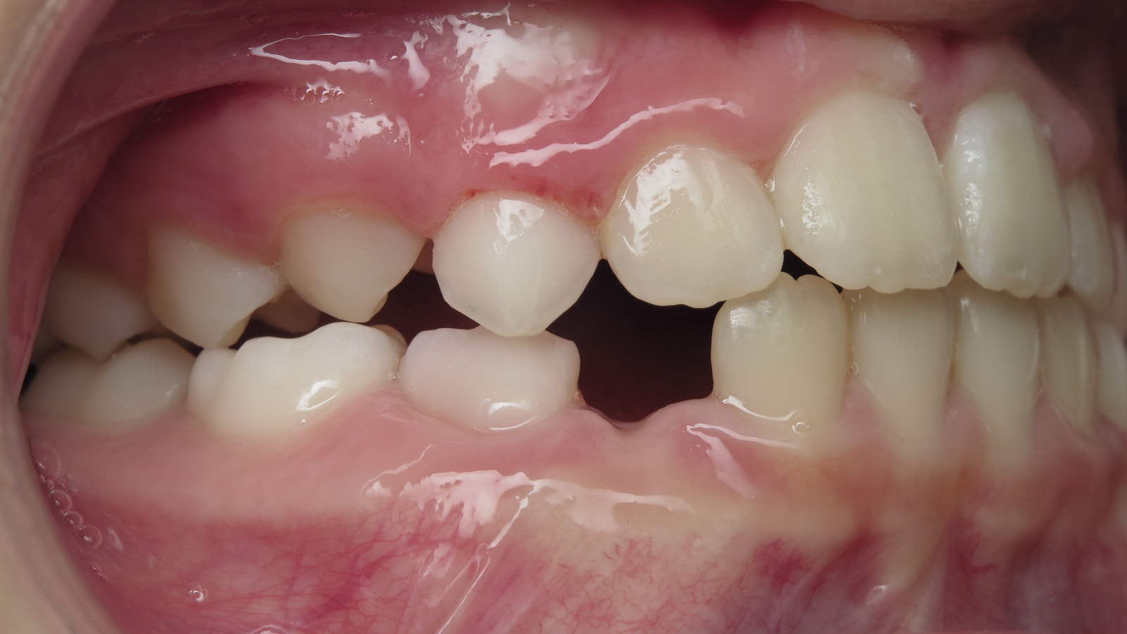
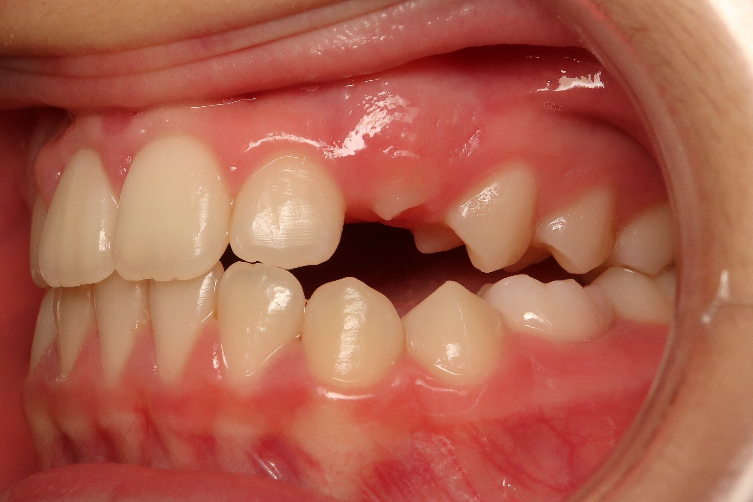
surveillance évolution de la dentition en cours
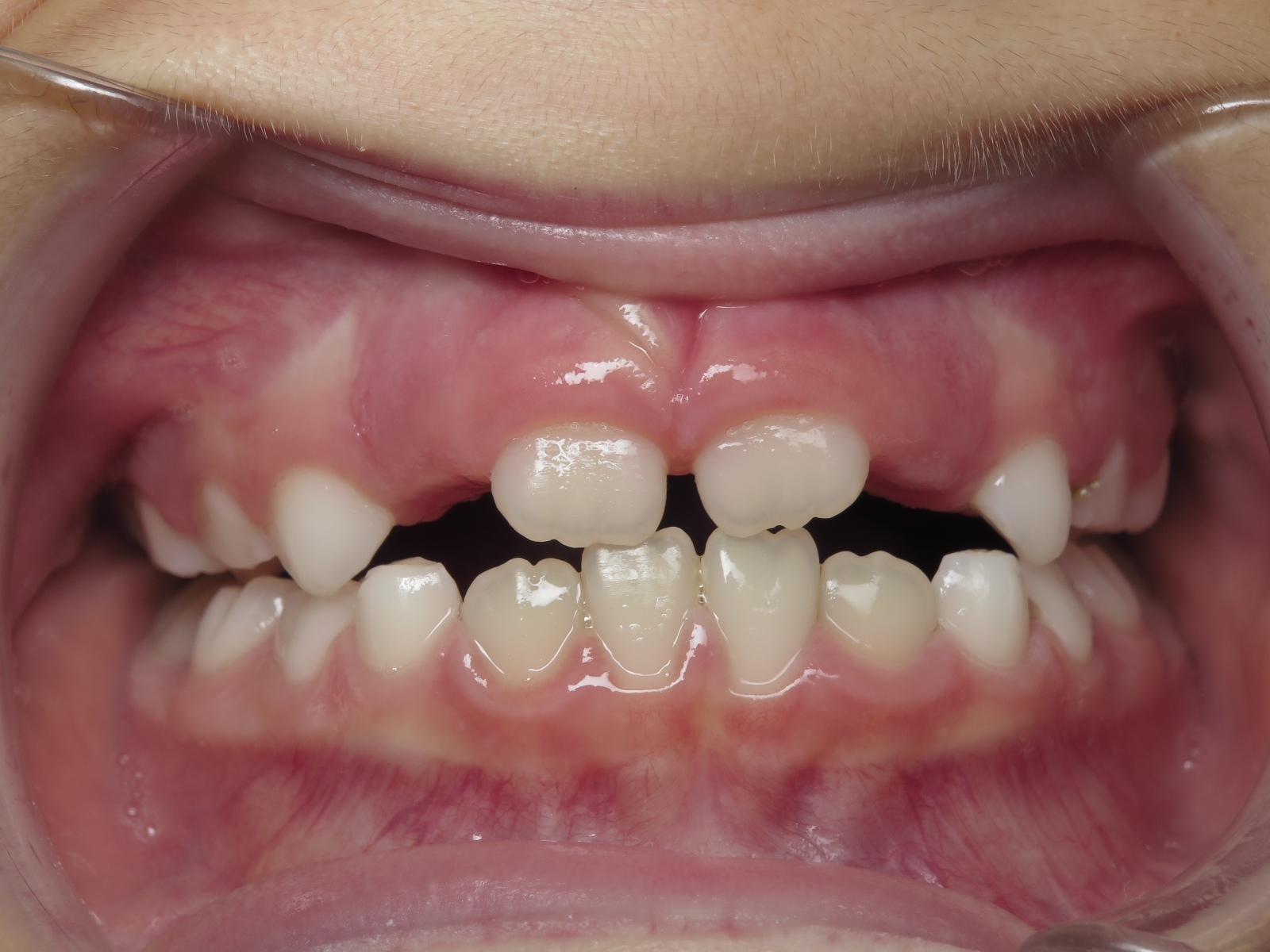
bilan début et en cours de traitement
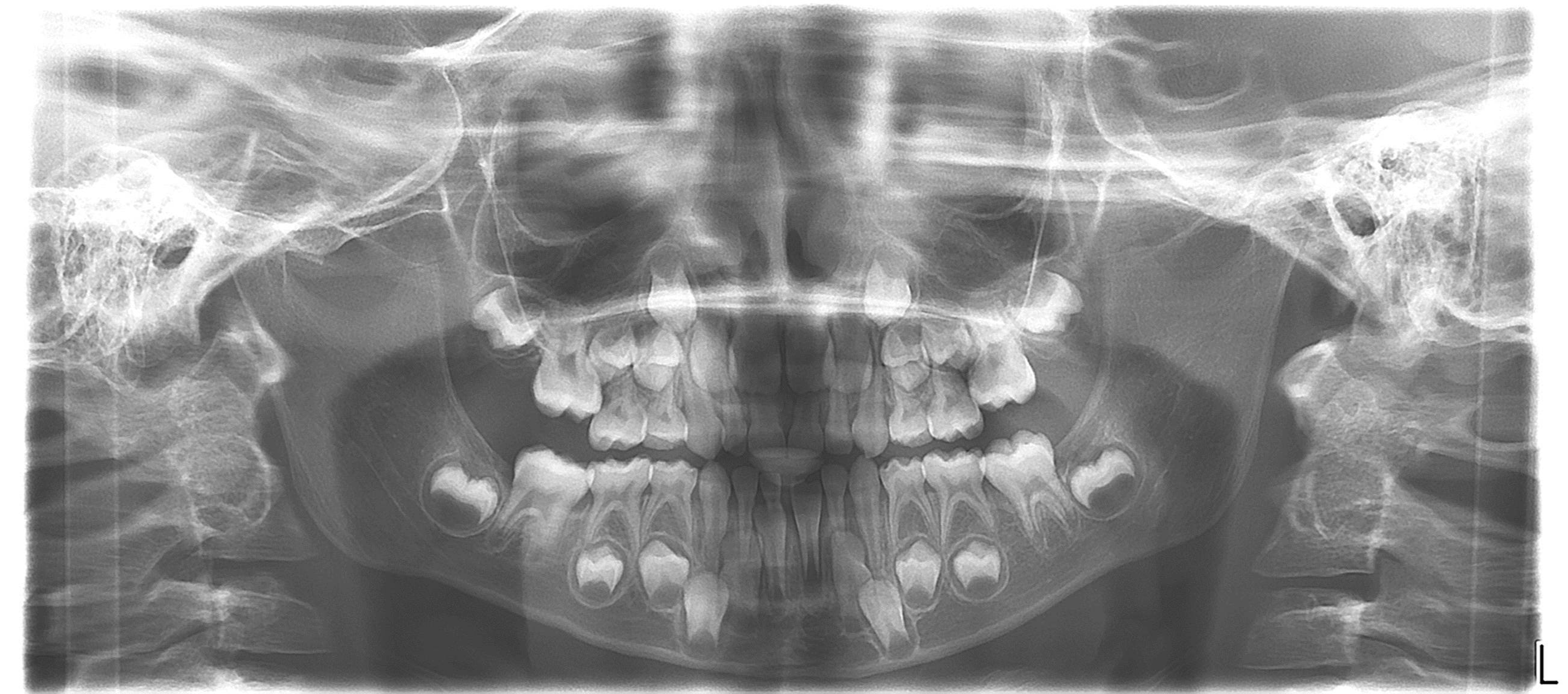
bilan des radiographies début et en cours de traitement