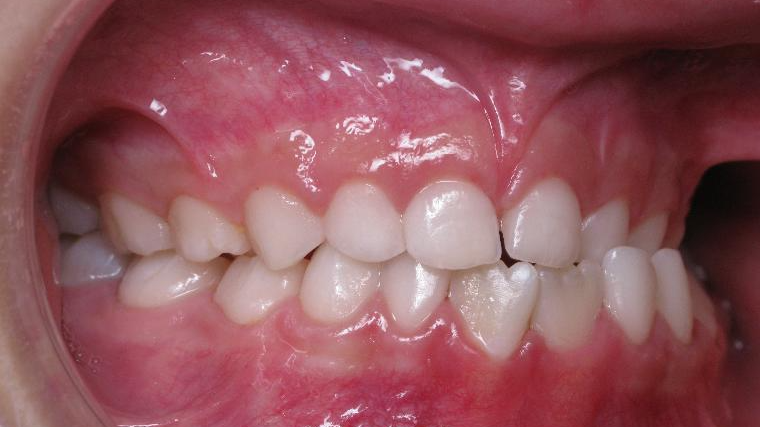
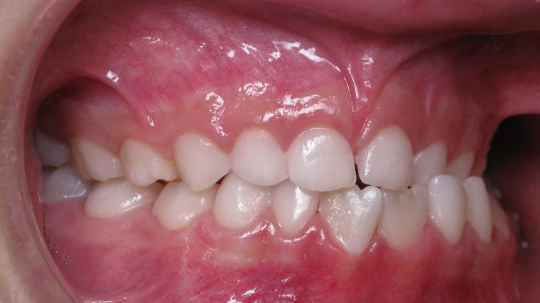
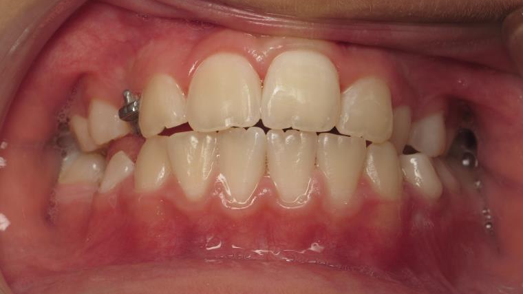
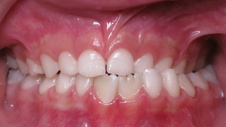
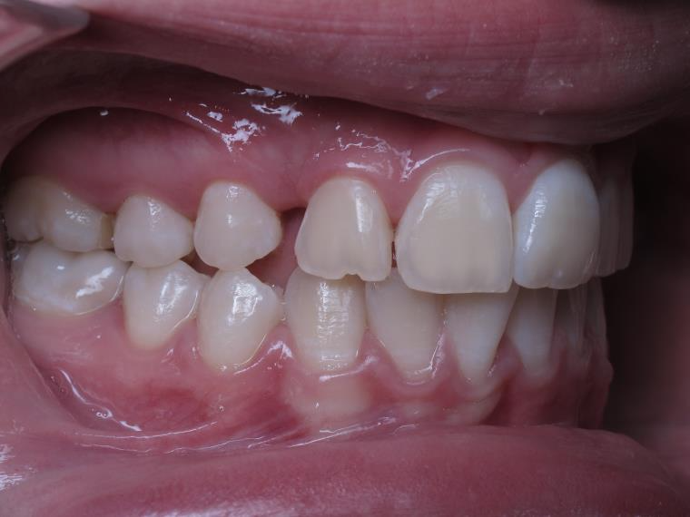
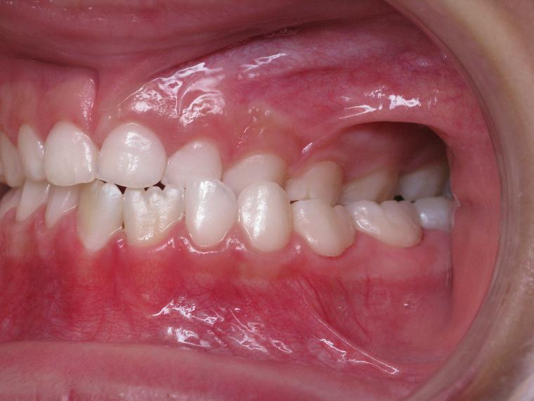
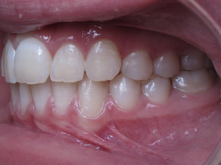
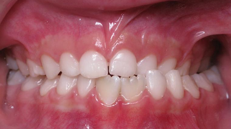
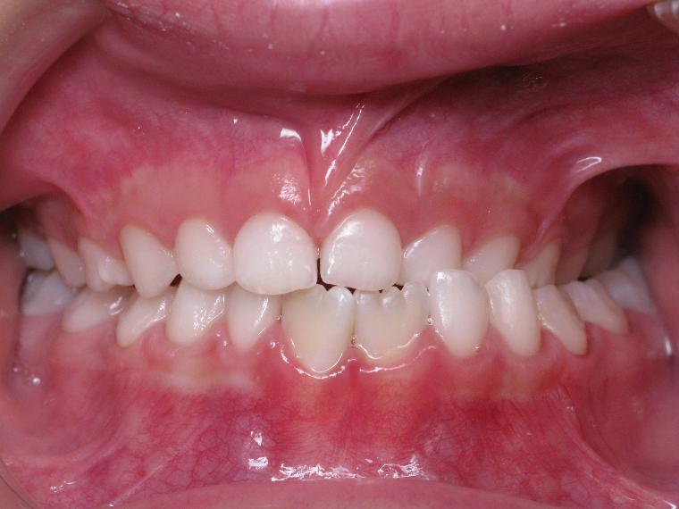
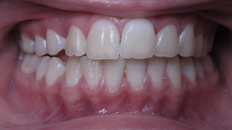
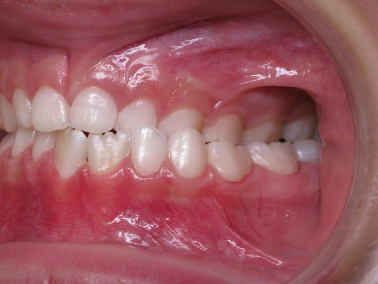
9. inversé gauche 6 ans

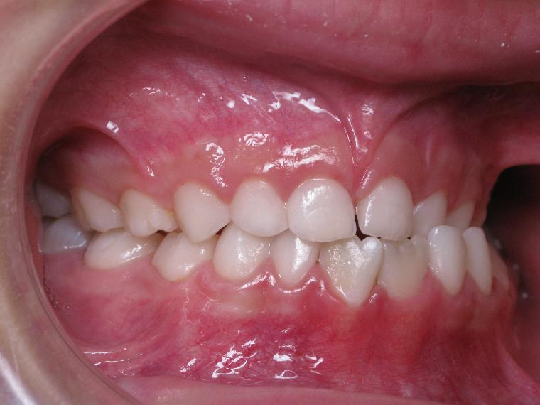
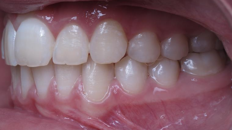
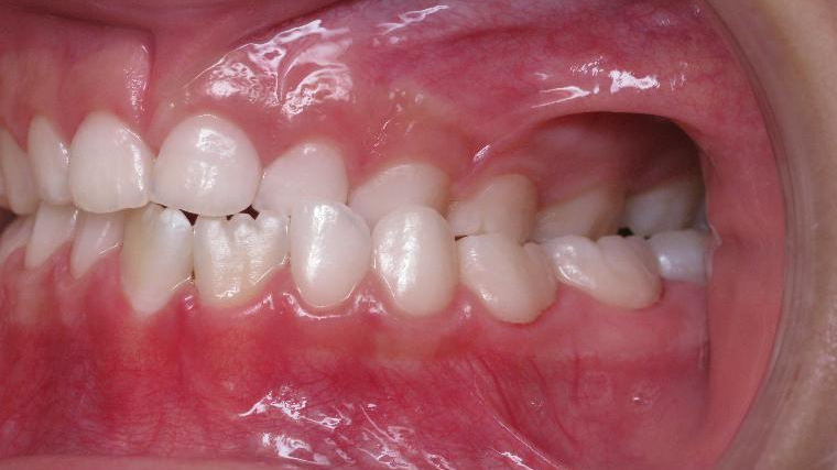
Sélectionnez les différentes étapes du traitement pour comparer et analyser la dentition du cas clinique.

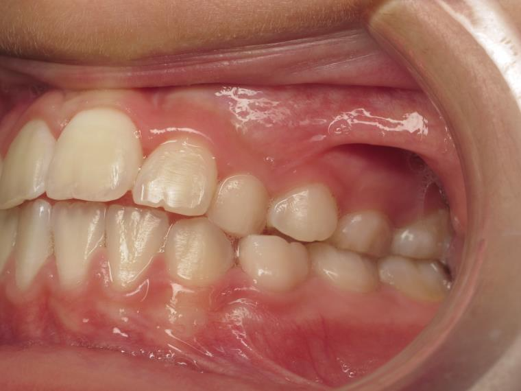
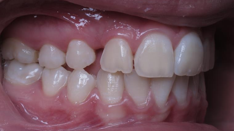
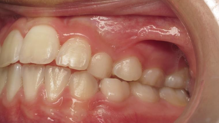
inversion des dents posterieur cote gauche
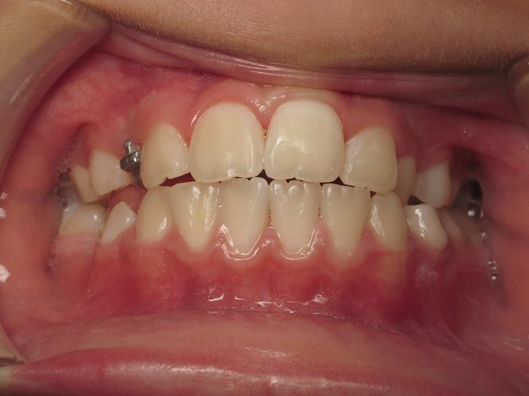
appareillage mobile pendant 9 mois
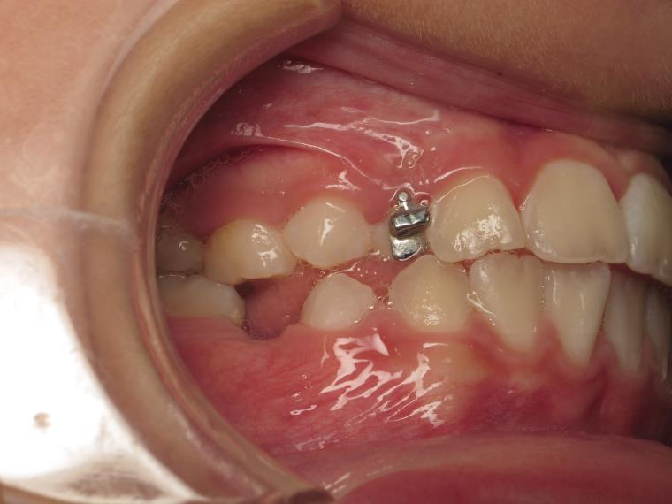
sectionnel multibagues pendant 25 mois
surveillance évolution de la dentition pendant 4 ans
appareillage multibagues pendant 3 ans
surveillance de la dentition par gouttieres nocturne
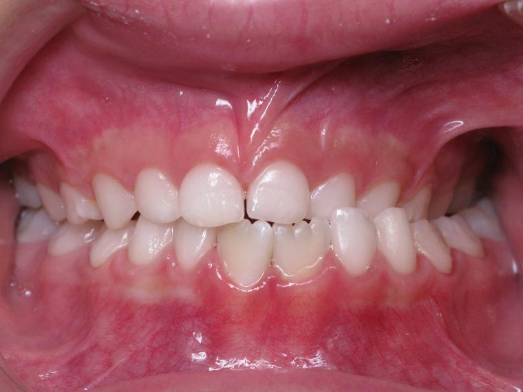
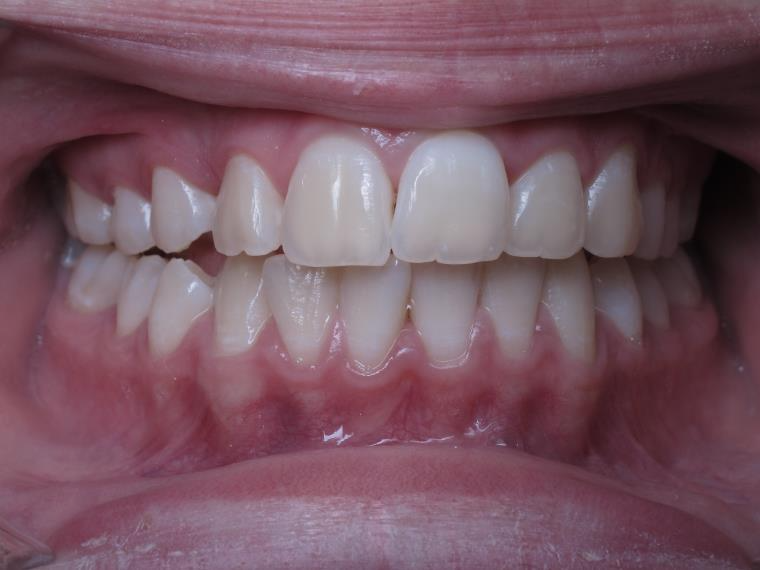
bilan début et fin de traitement
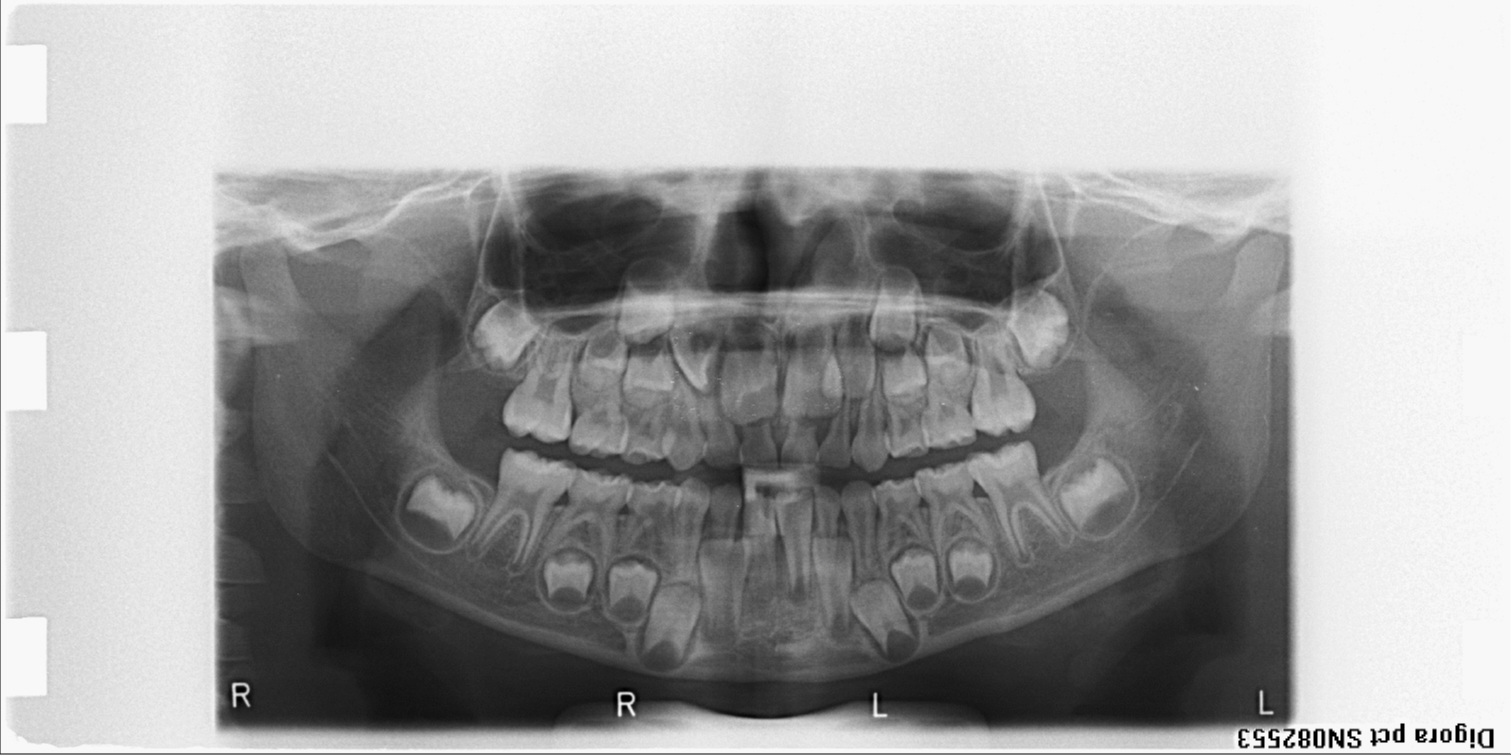
bilan des radiographies début et fin de traitement