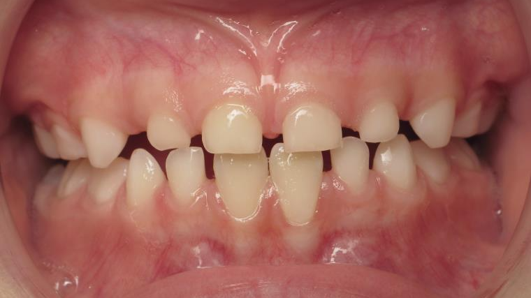
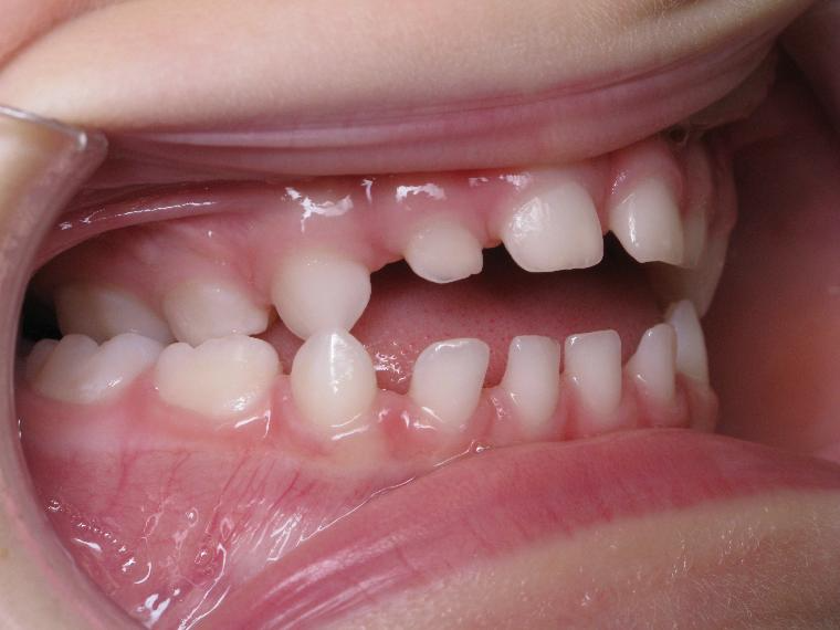
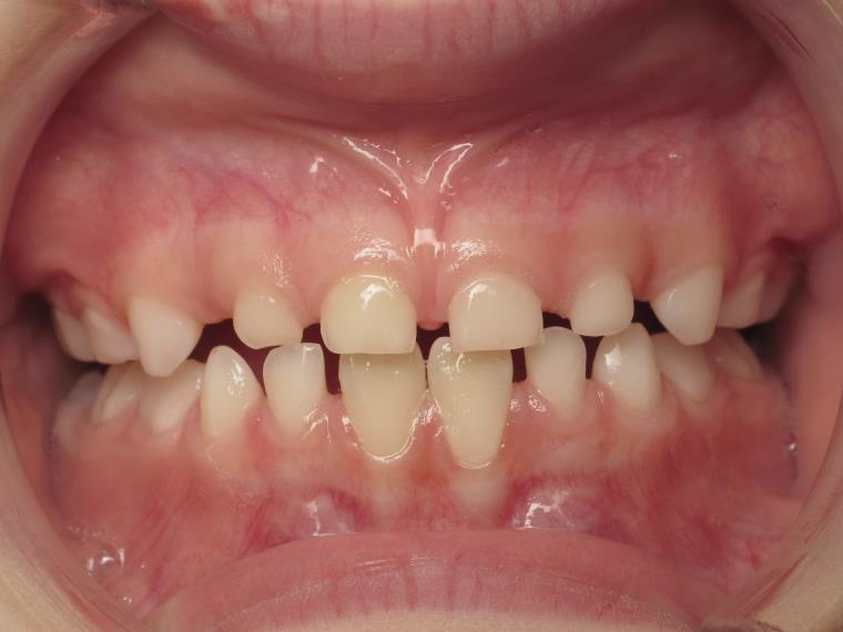
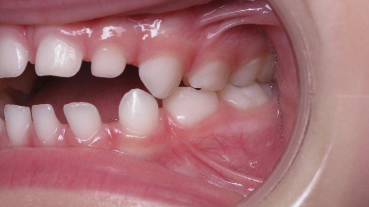
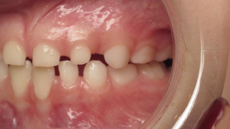
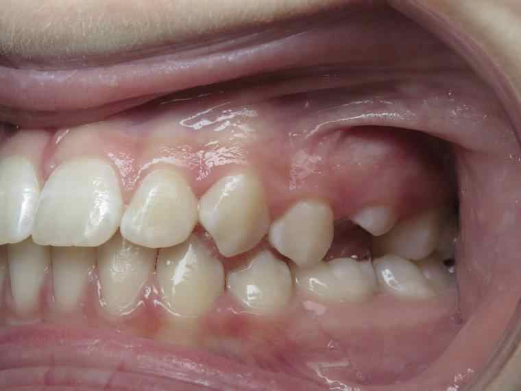
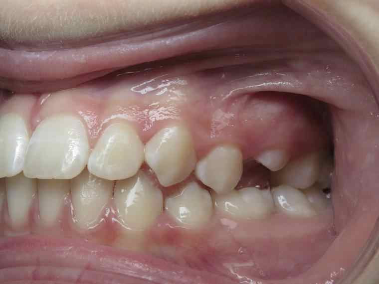
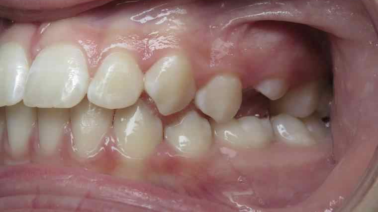
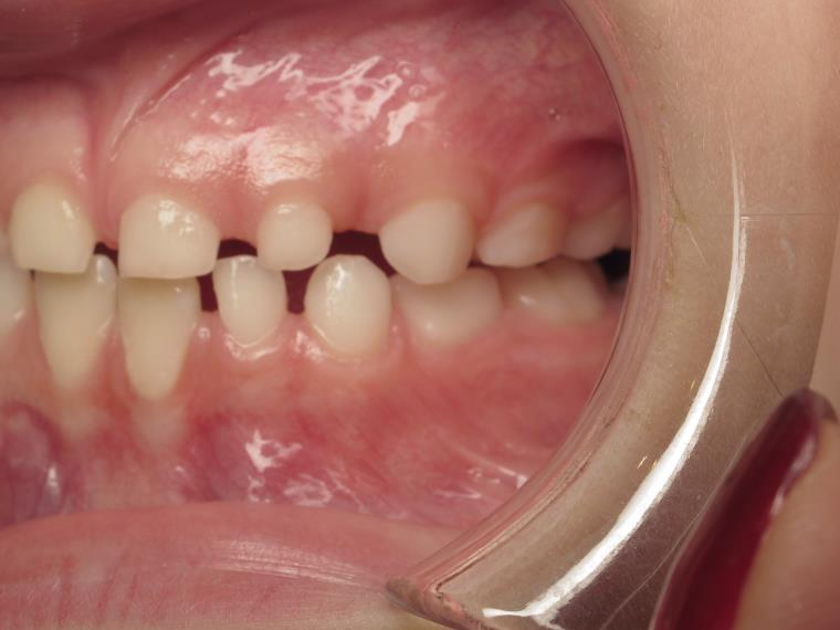
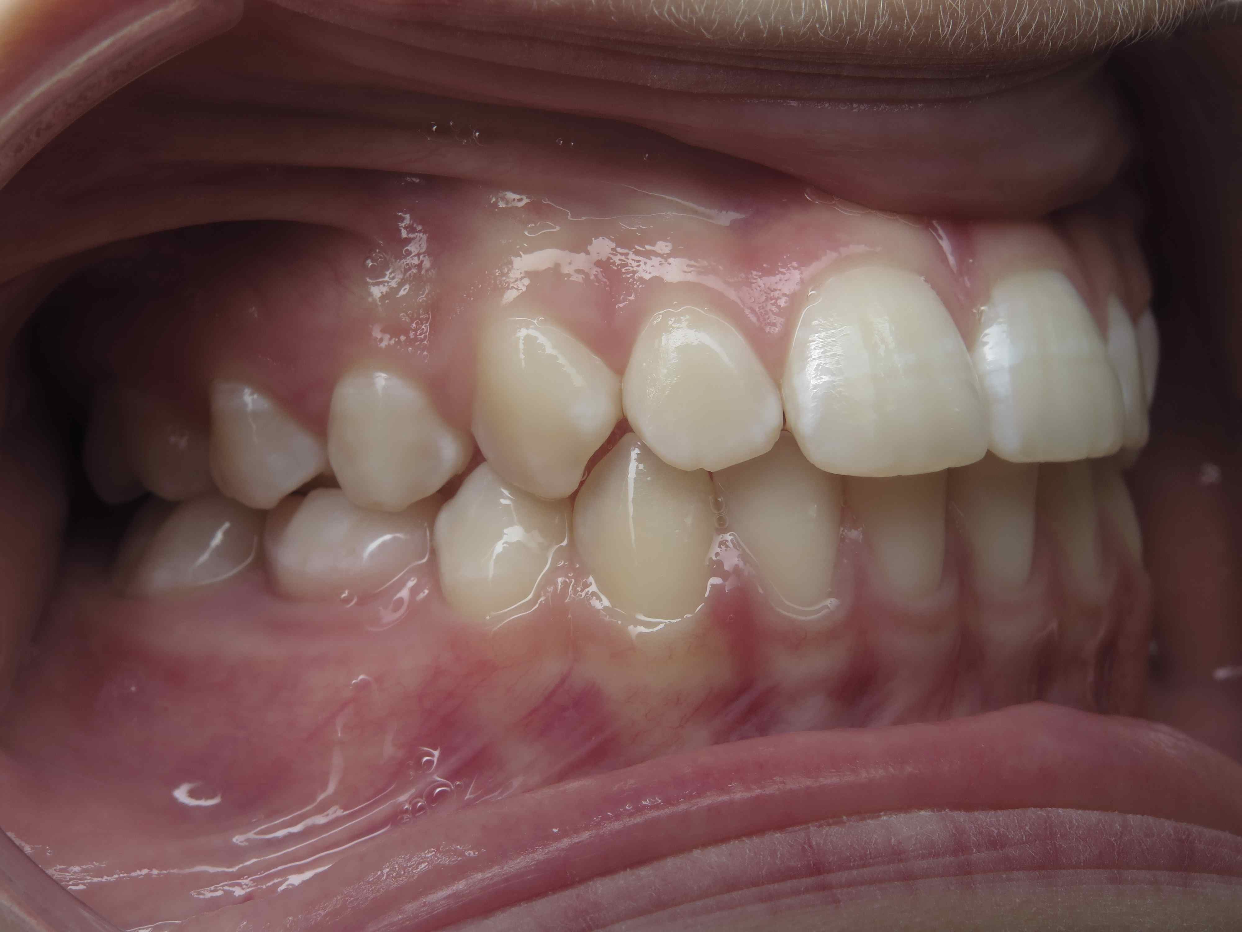
12 béance inversé droit 4 ans

Sélectionnez les différentes étapes du traitement pour comparer et analyser la dentition du cas clinique.

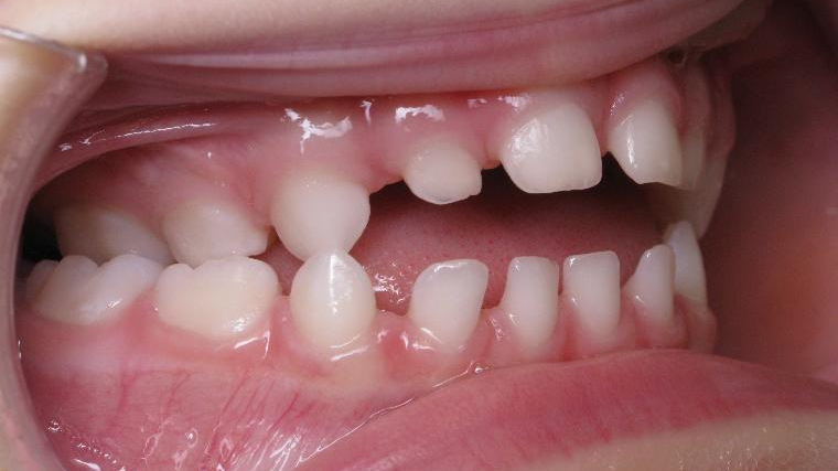
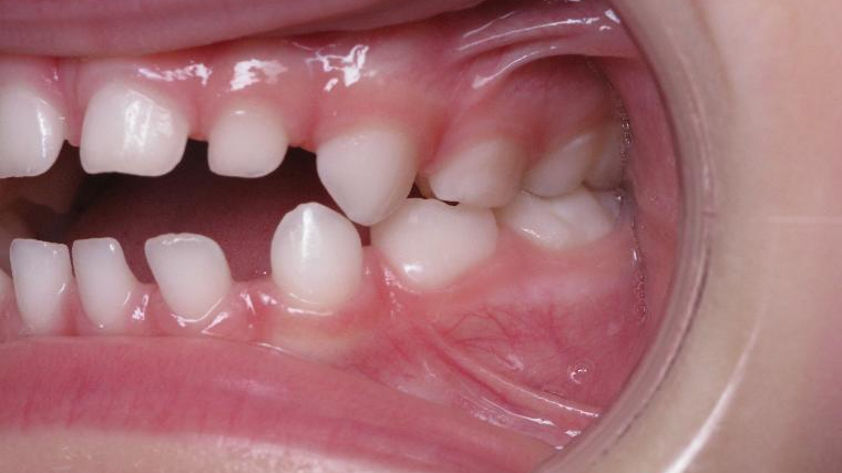
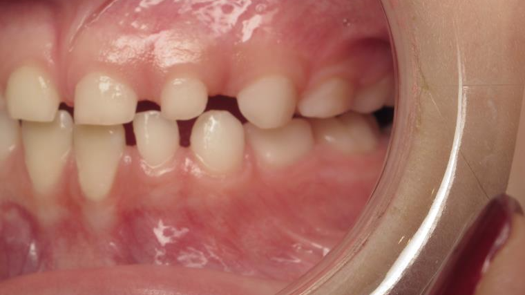
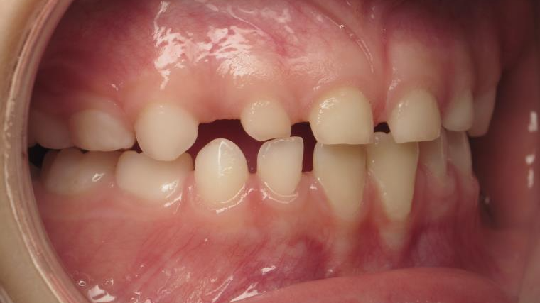
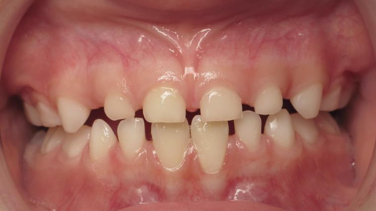
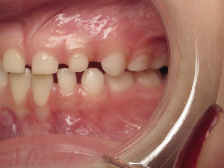
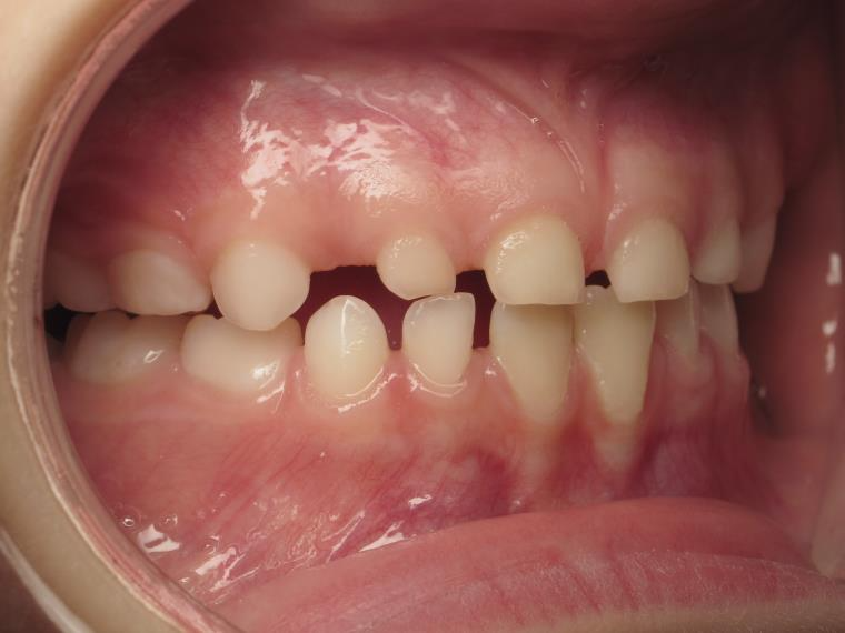
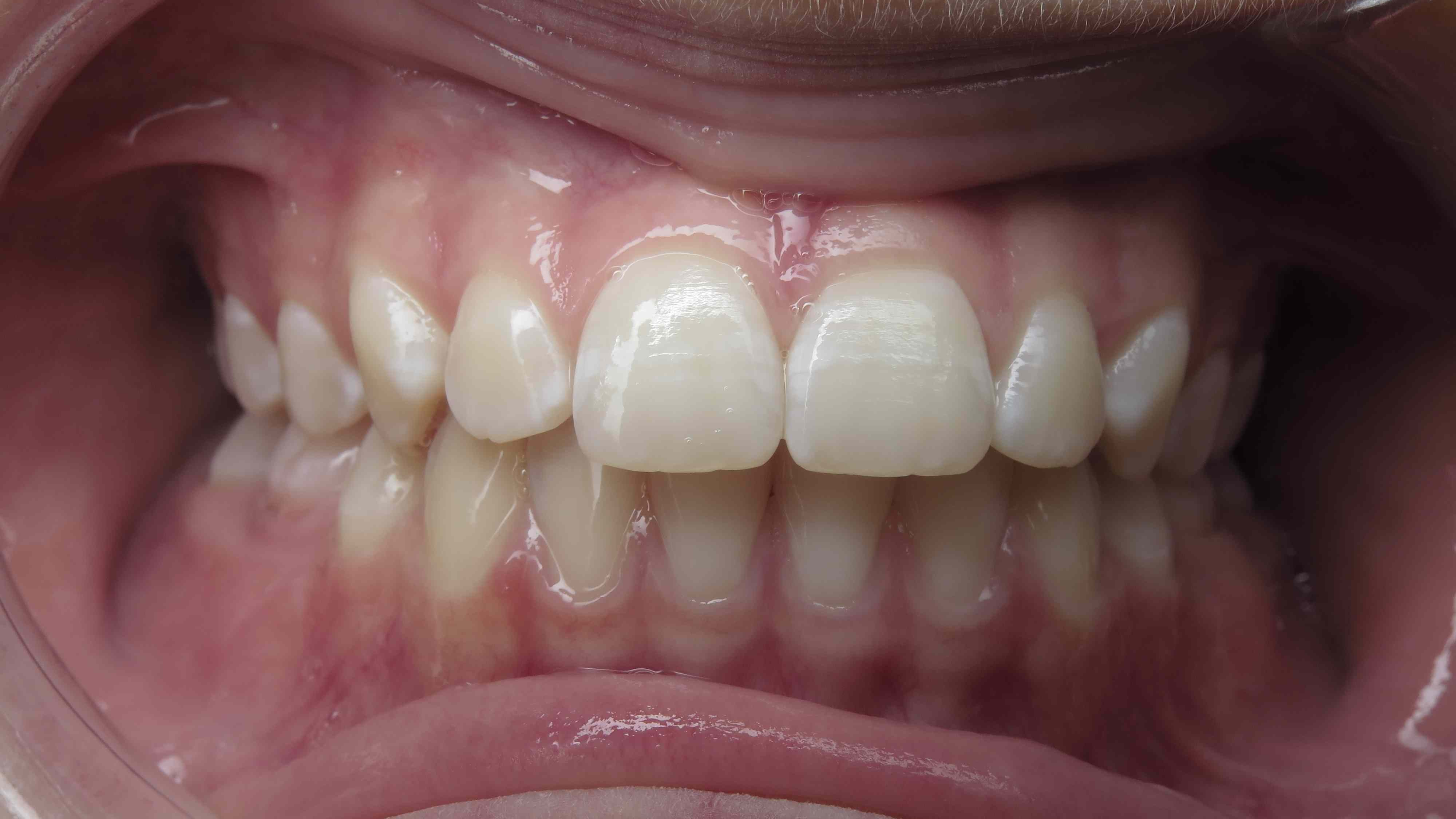
inversion postérieur coté droit et espace entre les dents du haut et du bas (diastèmes)
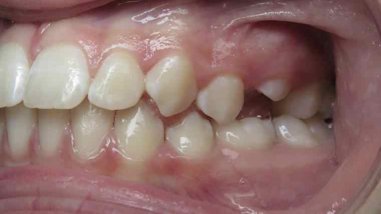
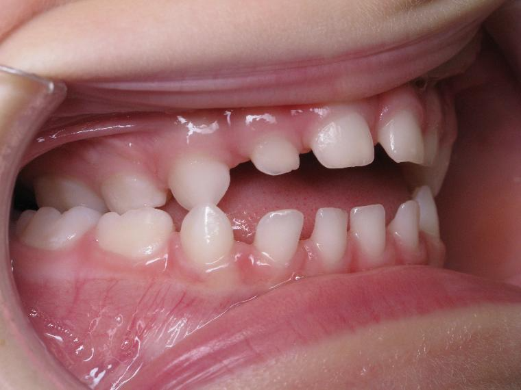
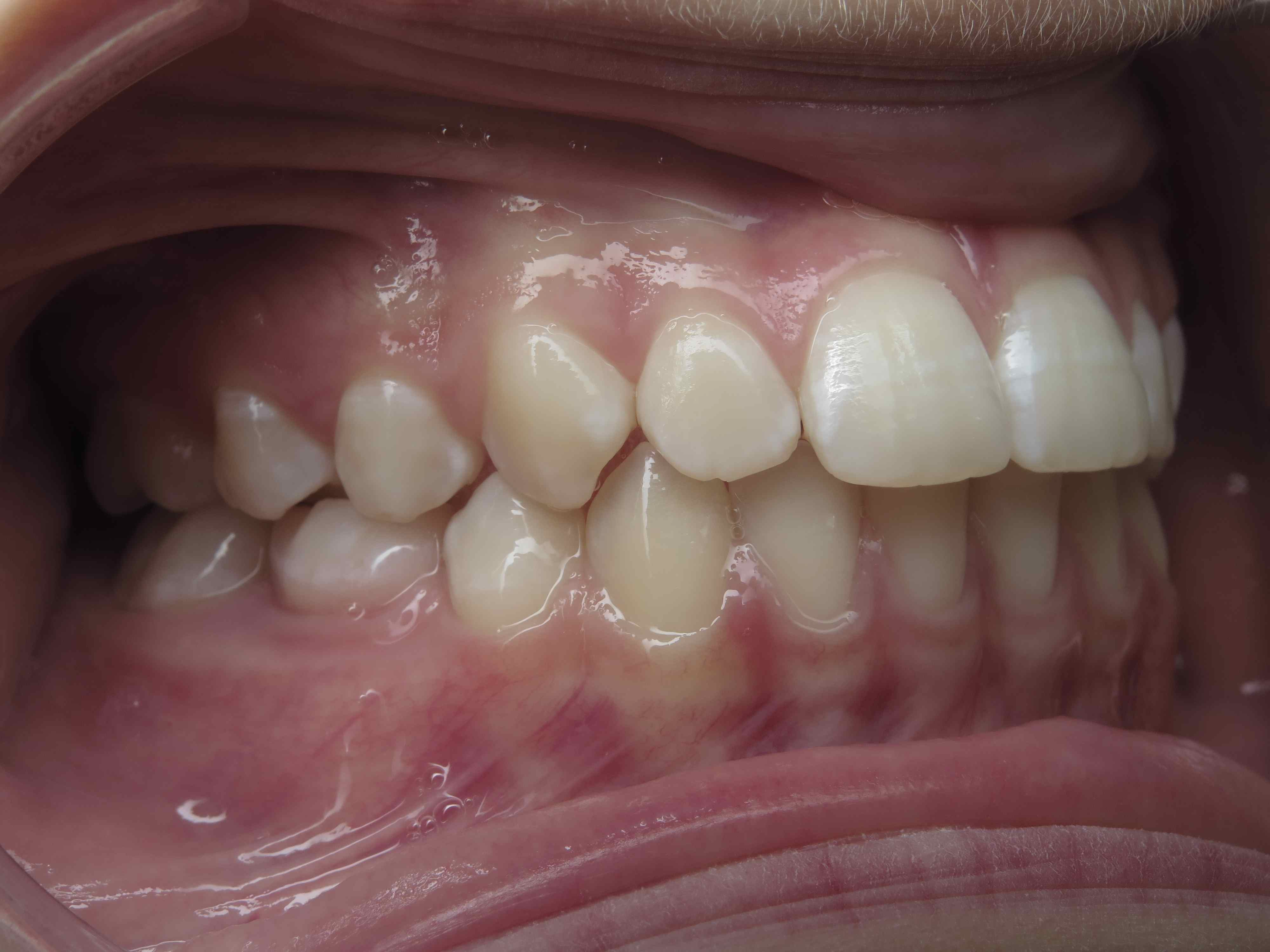
appareillage mobile pendant 35 mois
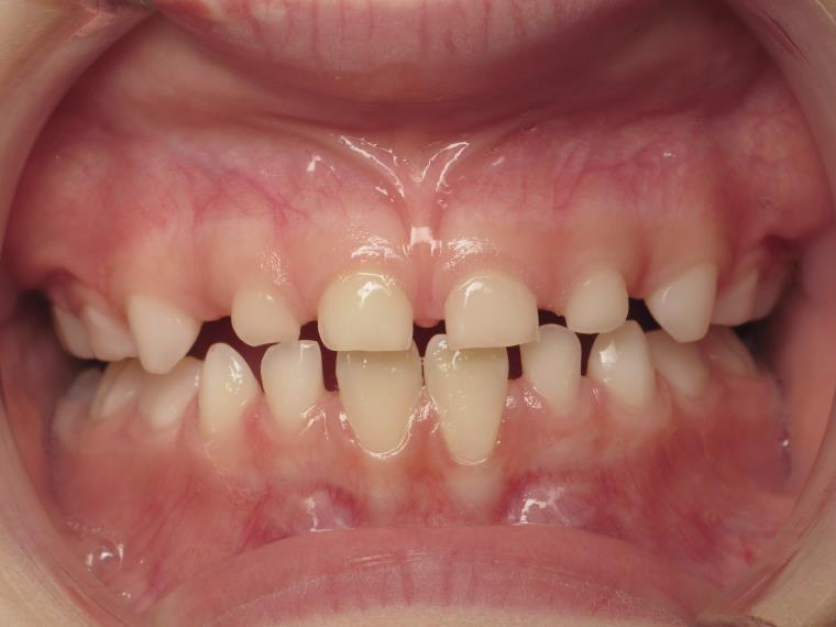
surveillance évolution de la dentition pendant 5 ans
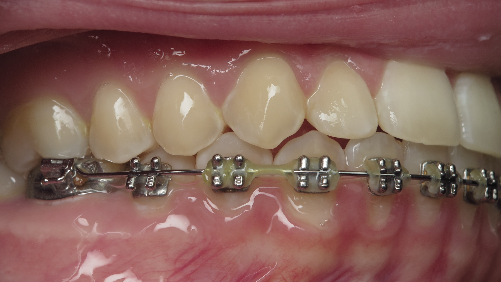
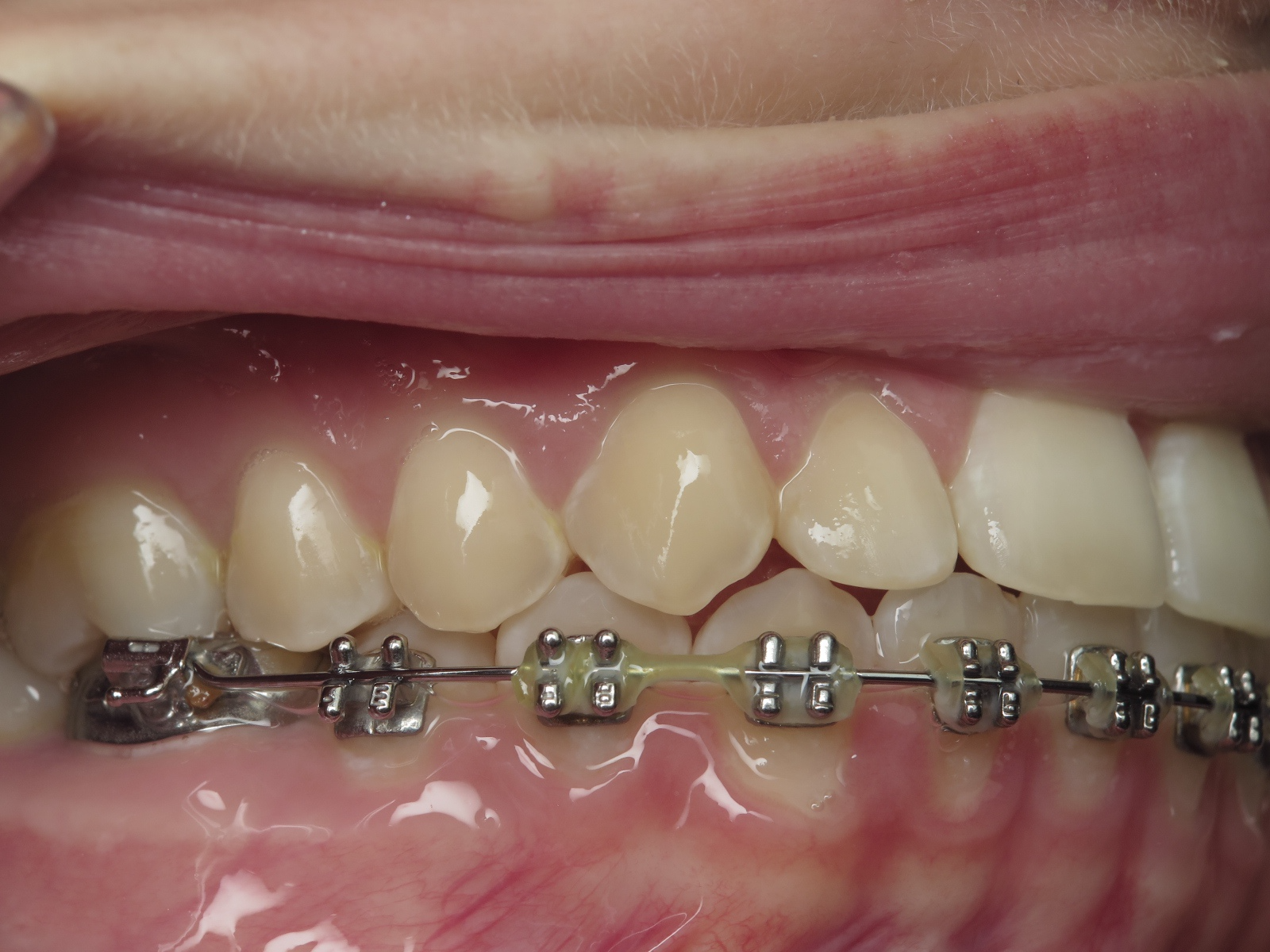
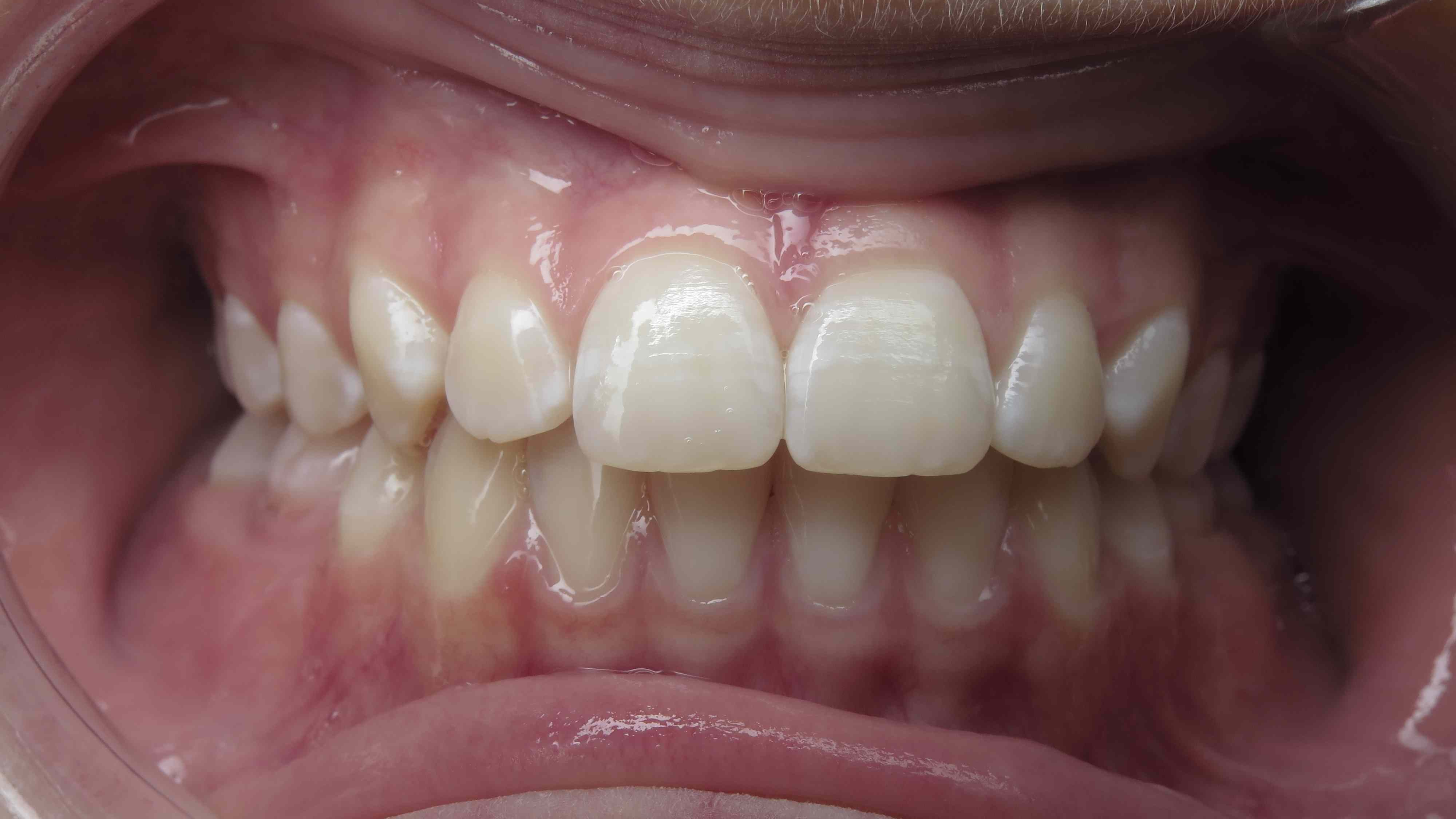
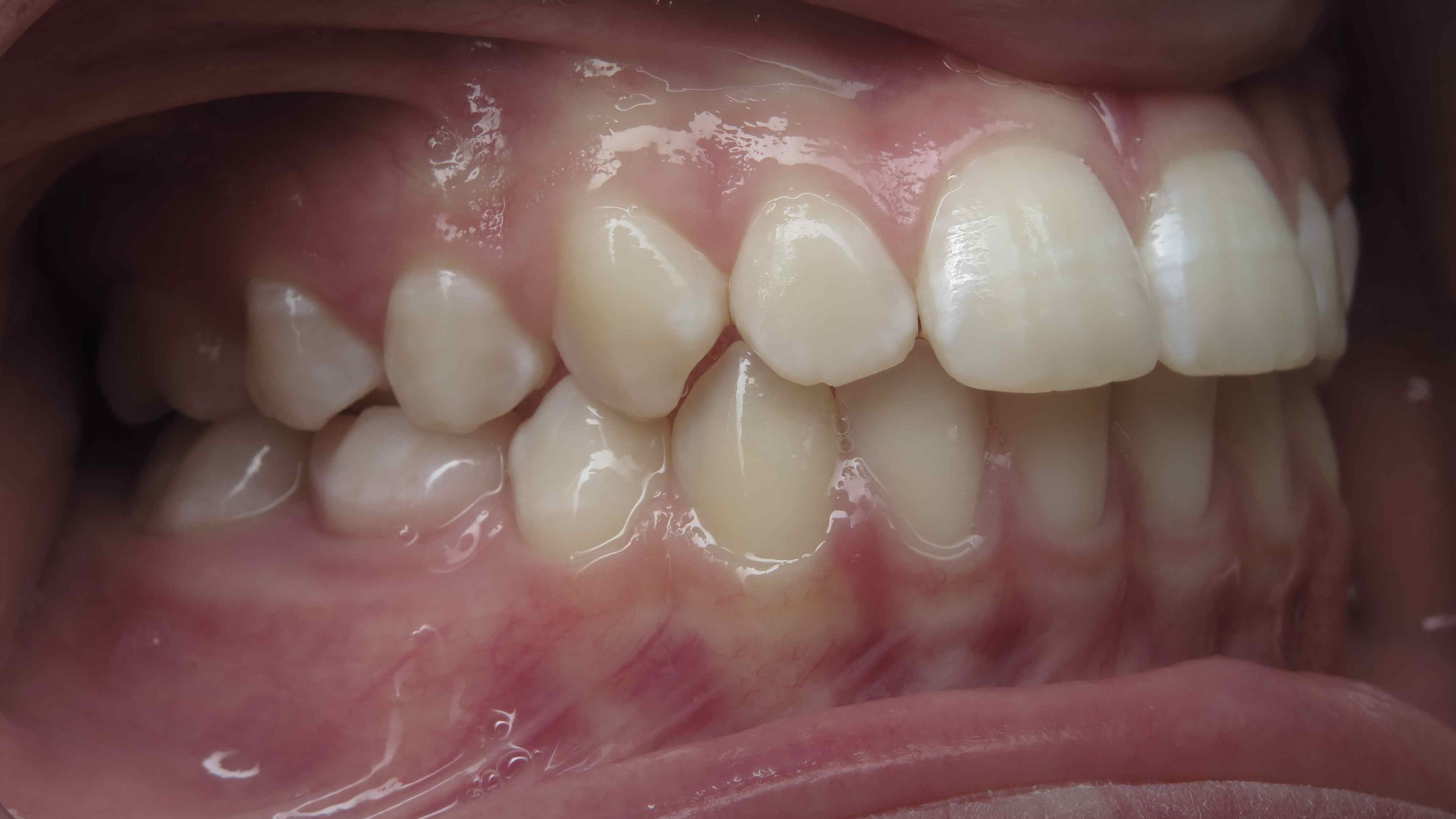
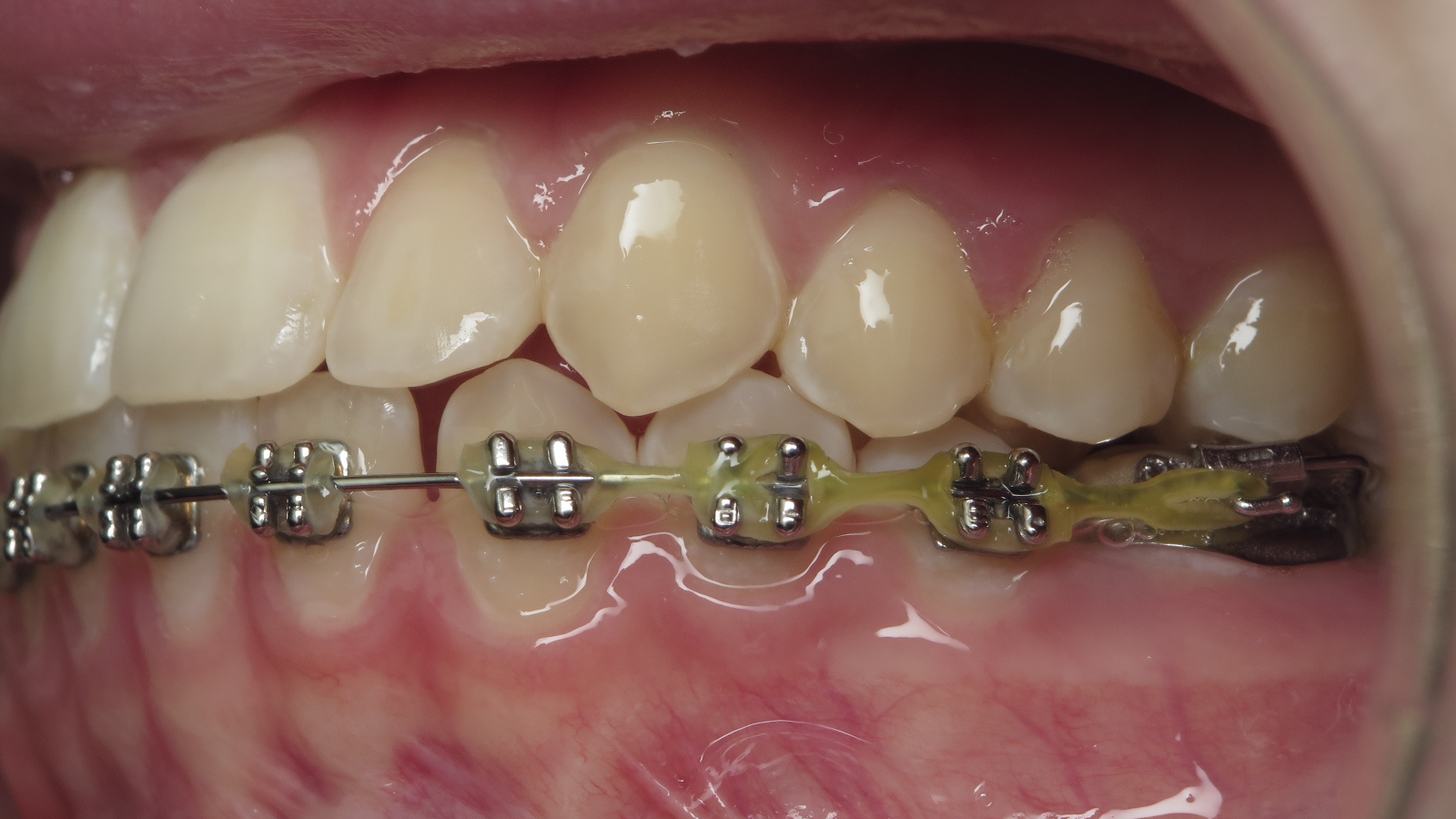
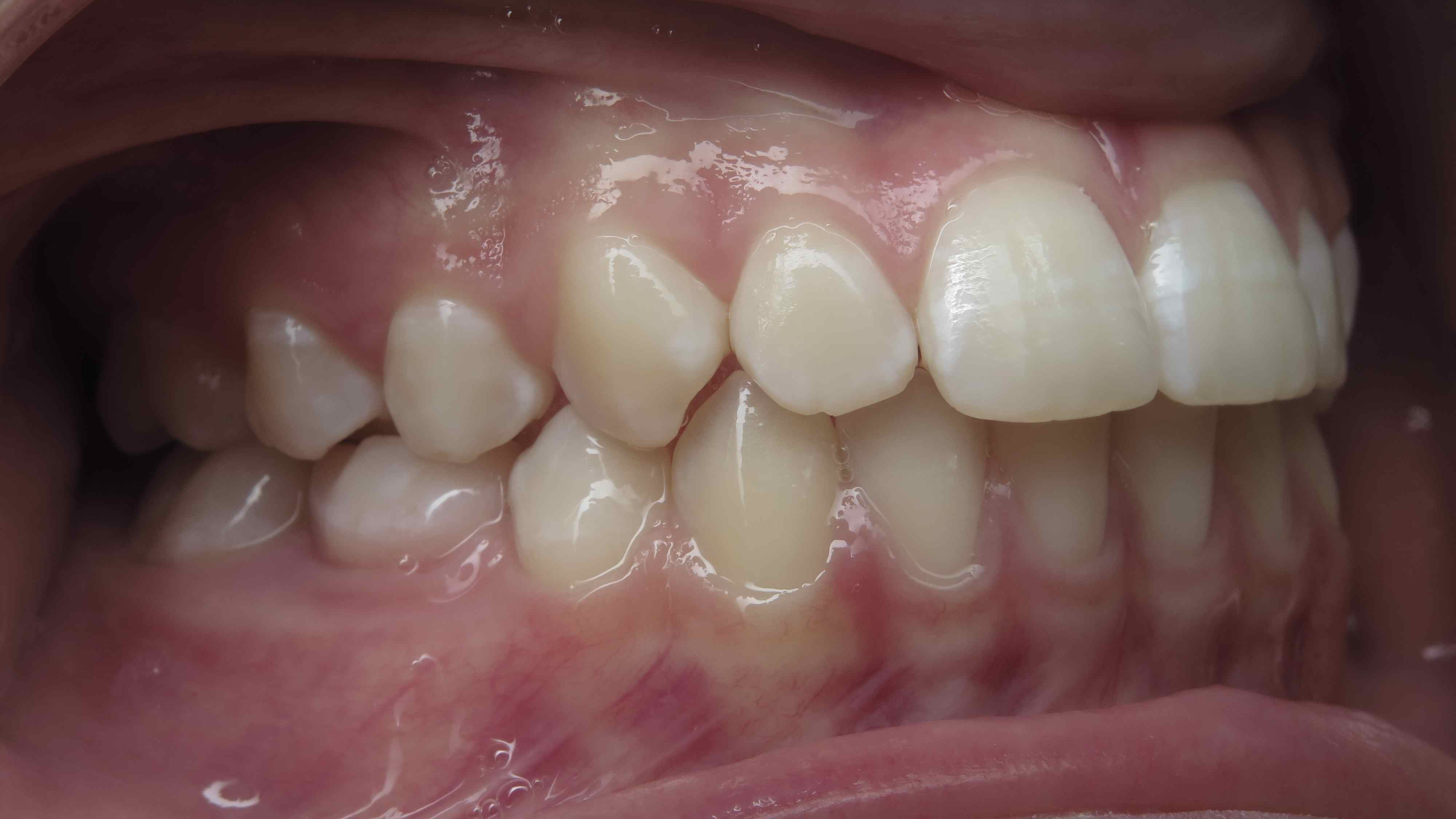
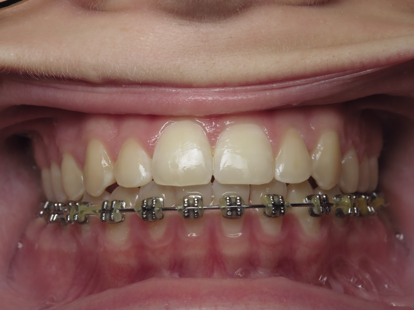
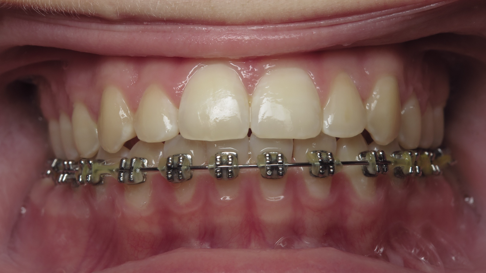
appareillage multibagues traitement en cours
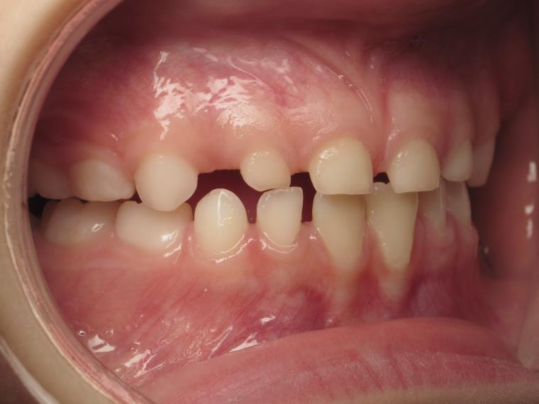
bilan début et en cours de traitement
bilan des radiographies début et en cours de traitement