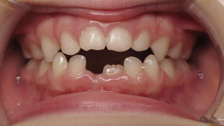
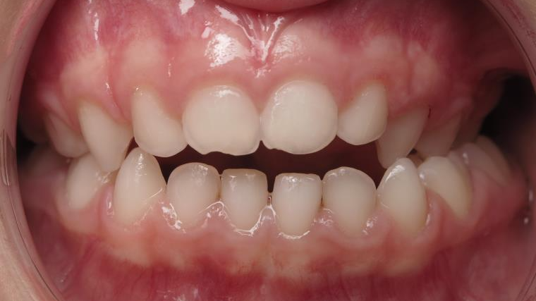
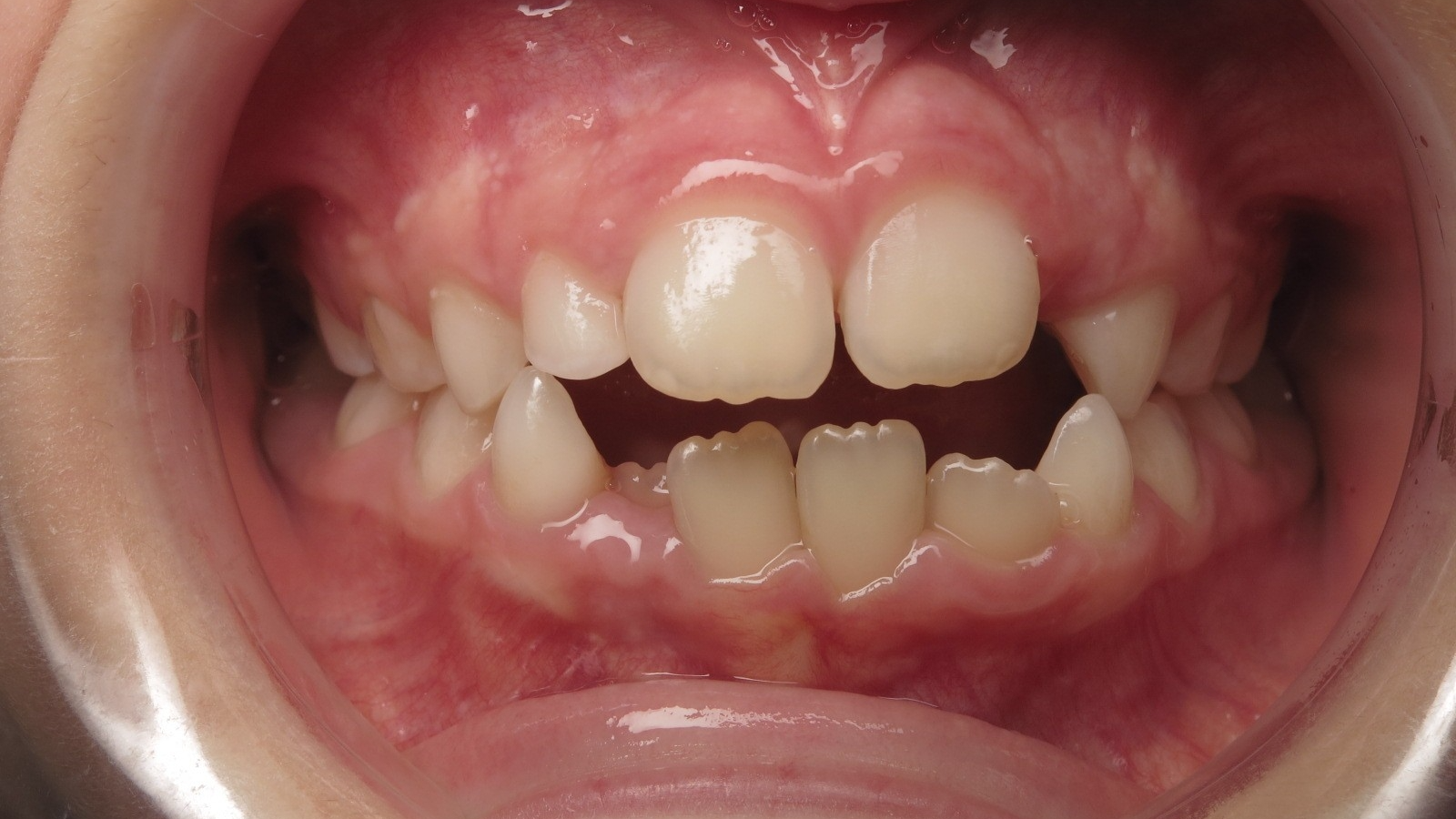
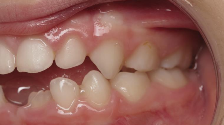
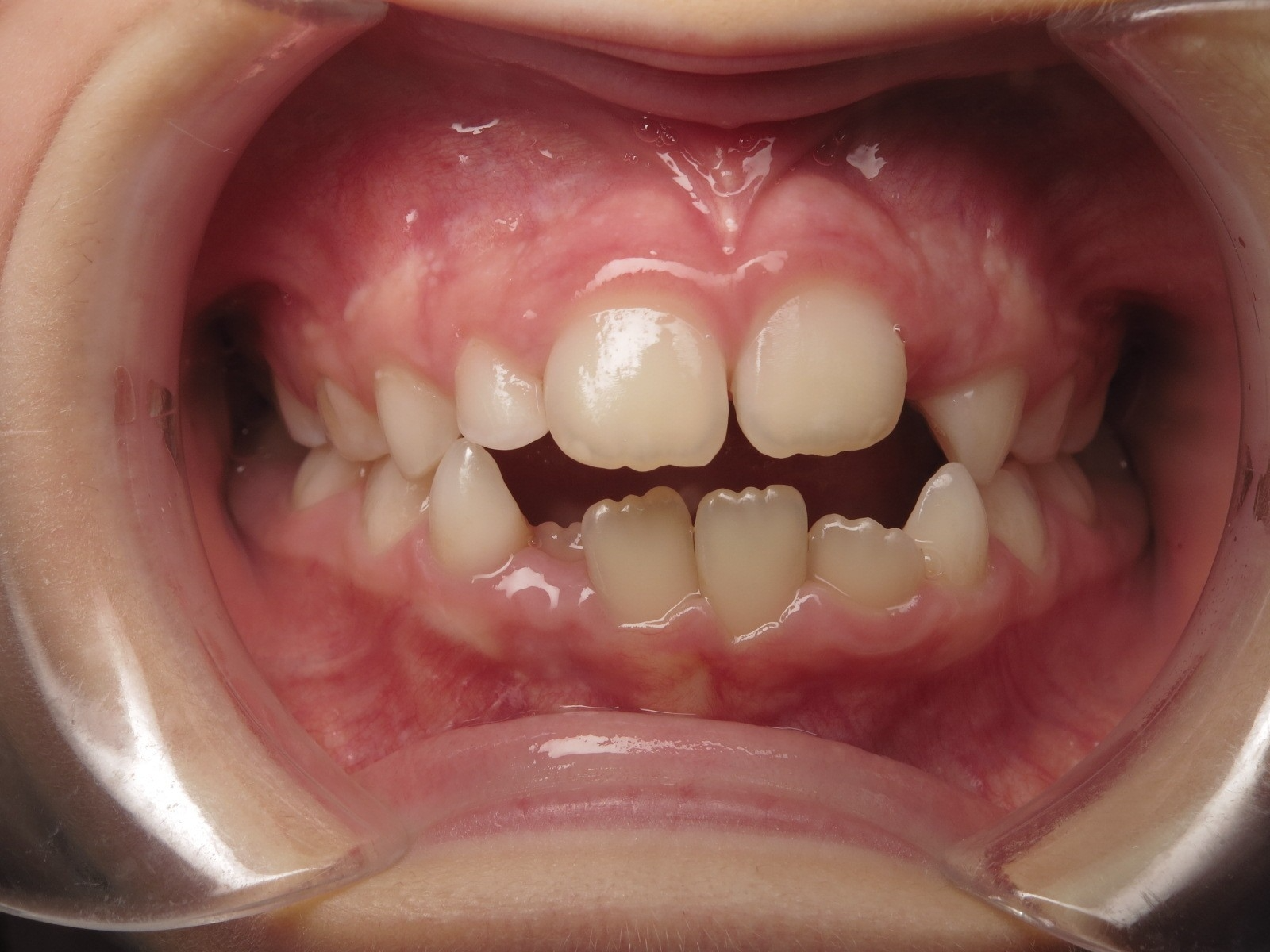
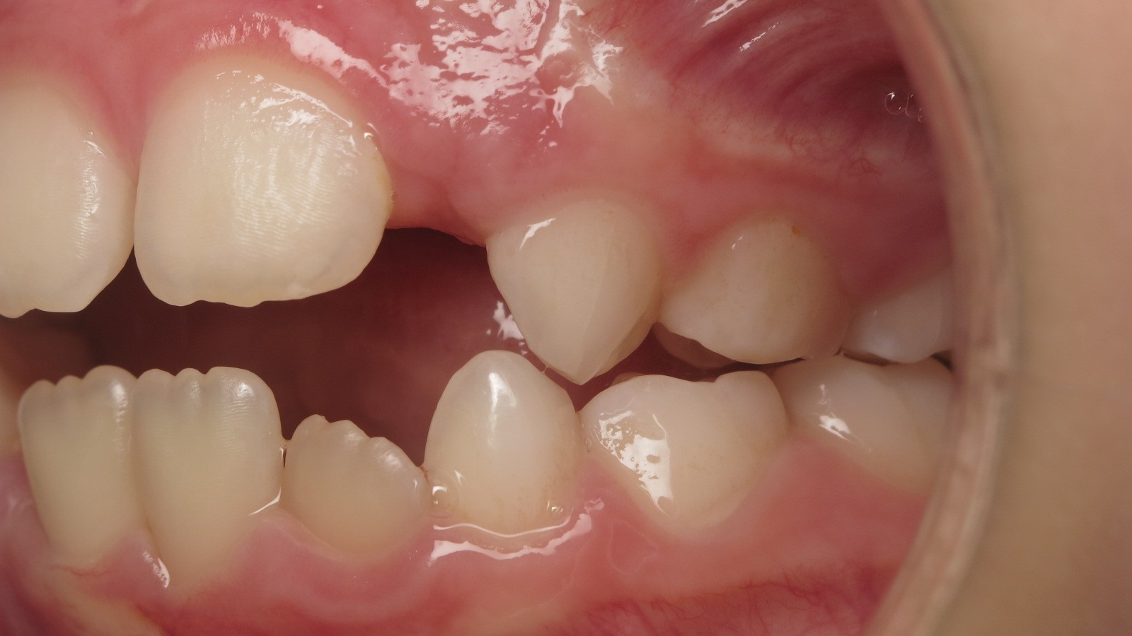
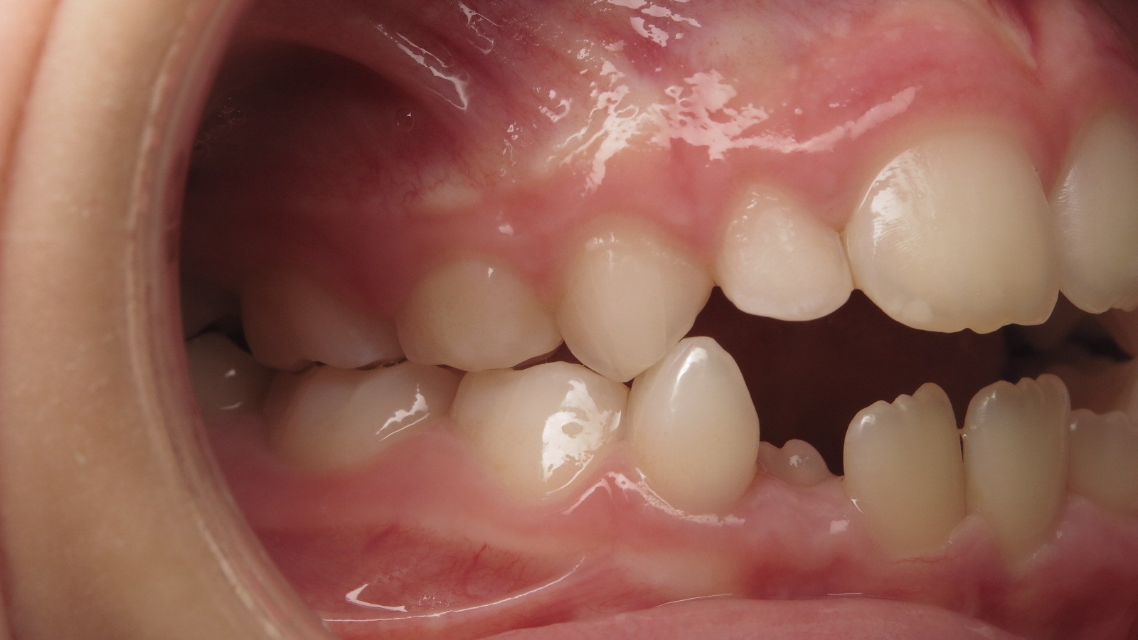
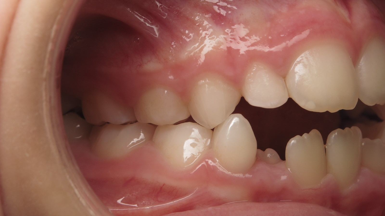
14 béance inversé gauche 5 ans

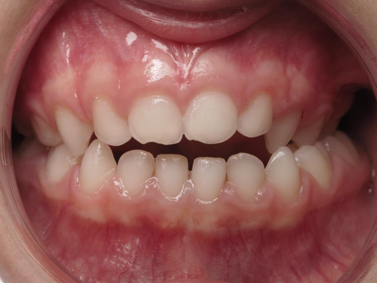
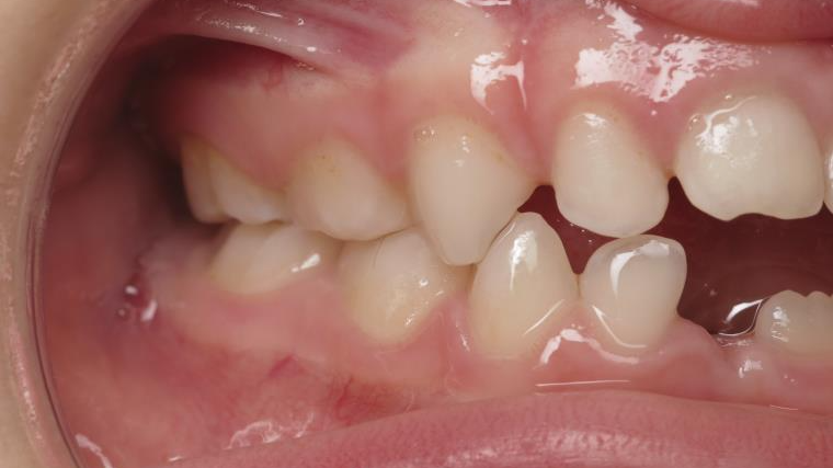
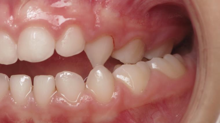
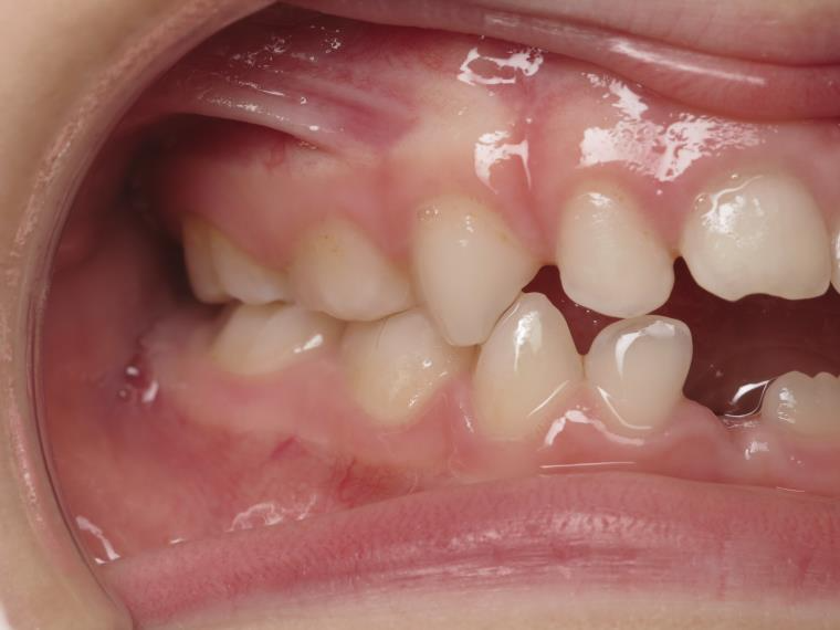
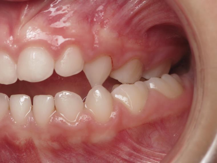
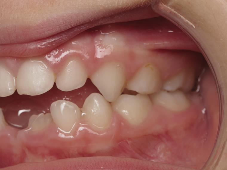
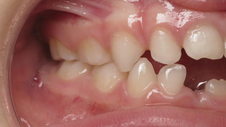
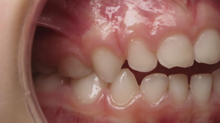
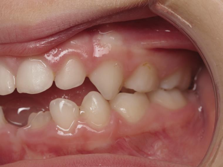
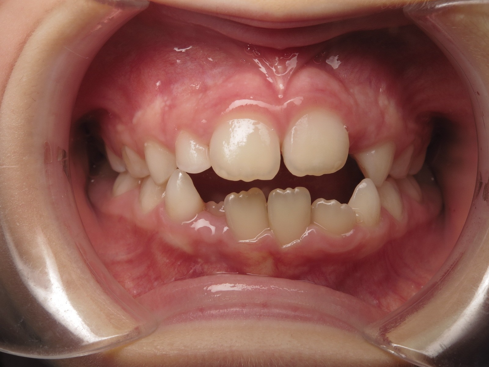
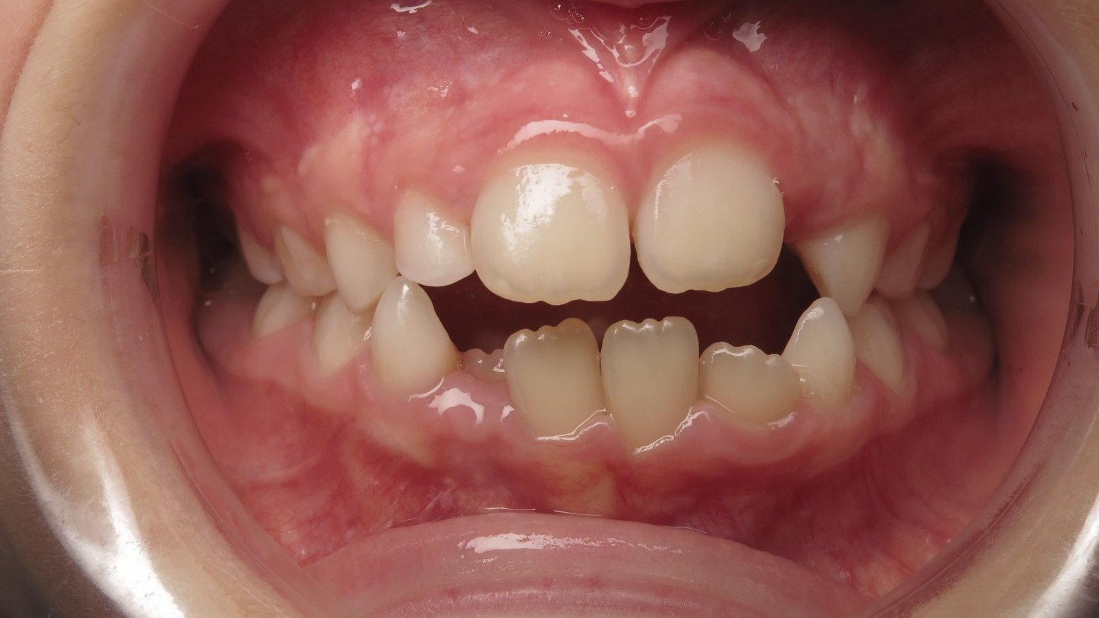
Sélectionnez les différentes étapes du traitement pour comparer et analyser la dentition du cas clinique.

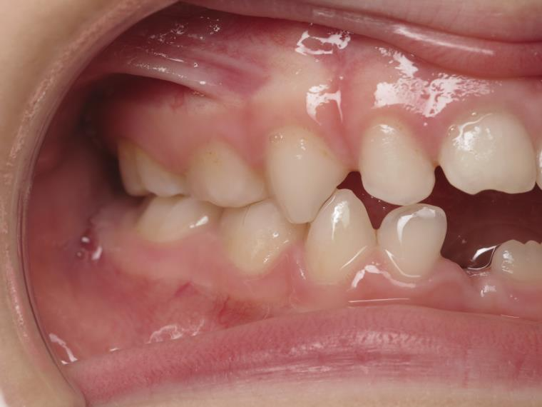
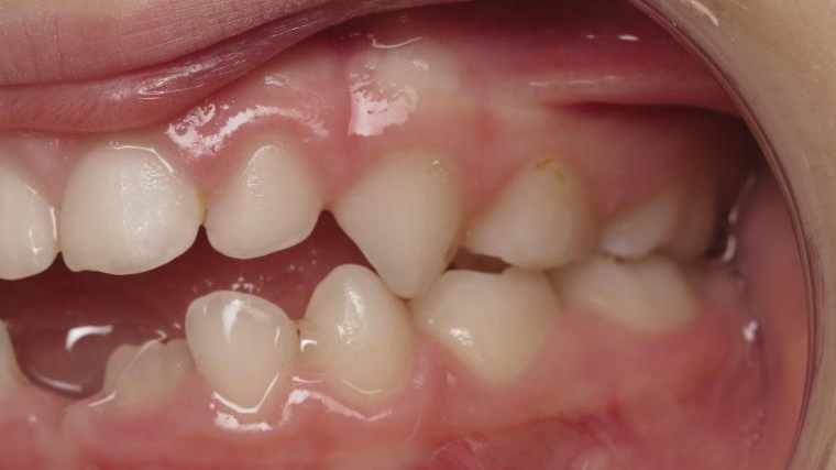
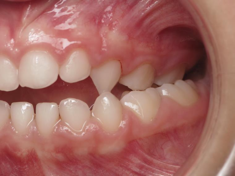
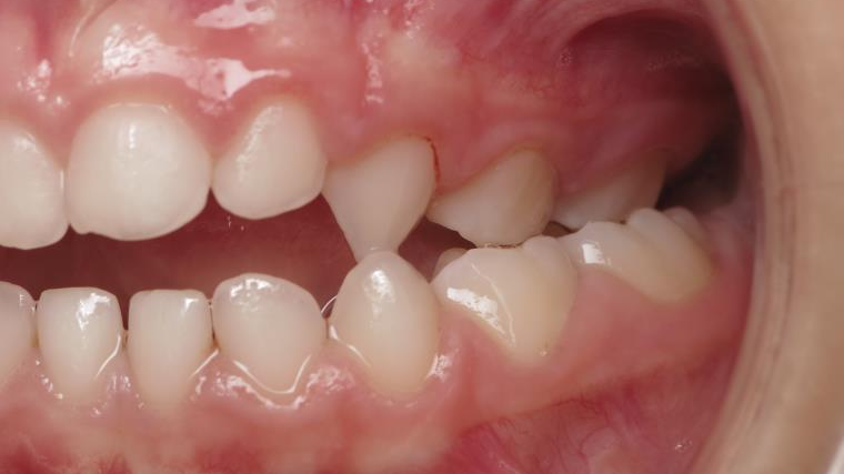
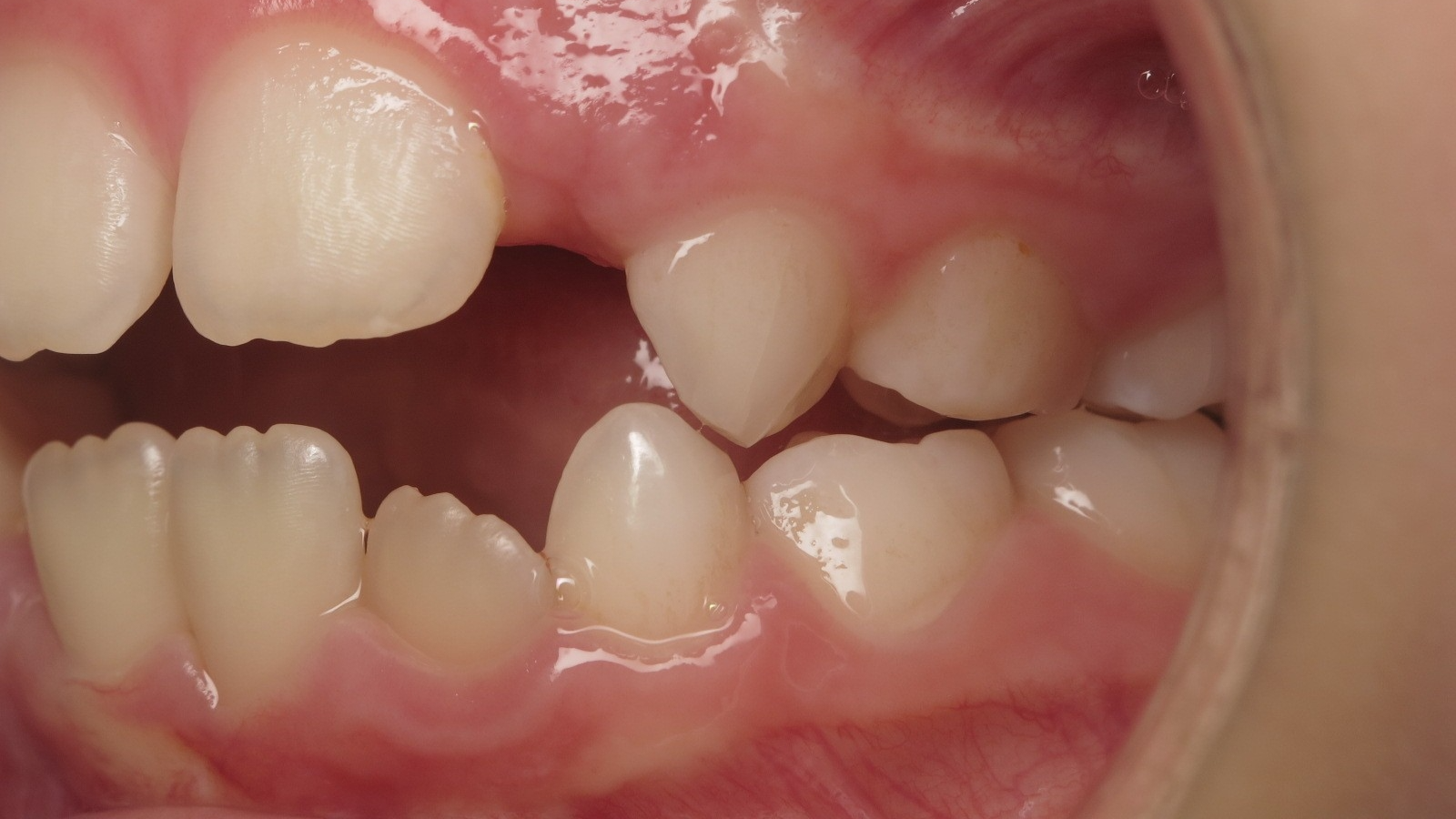
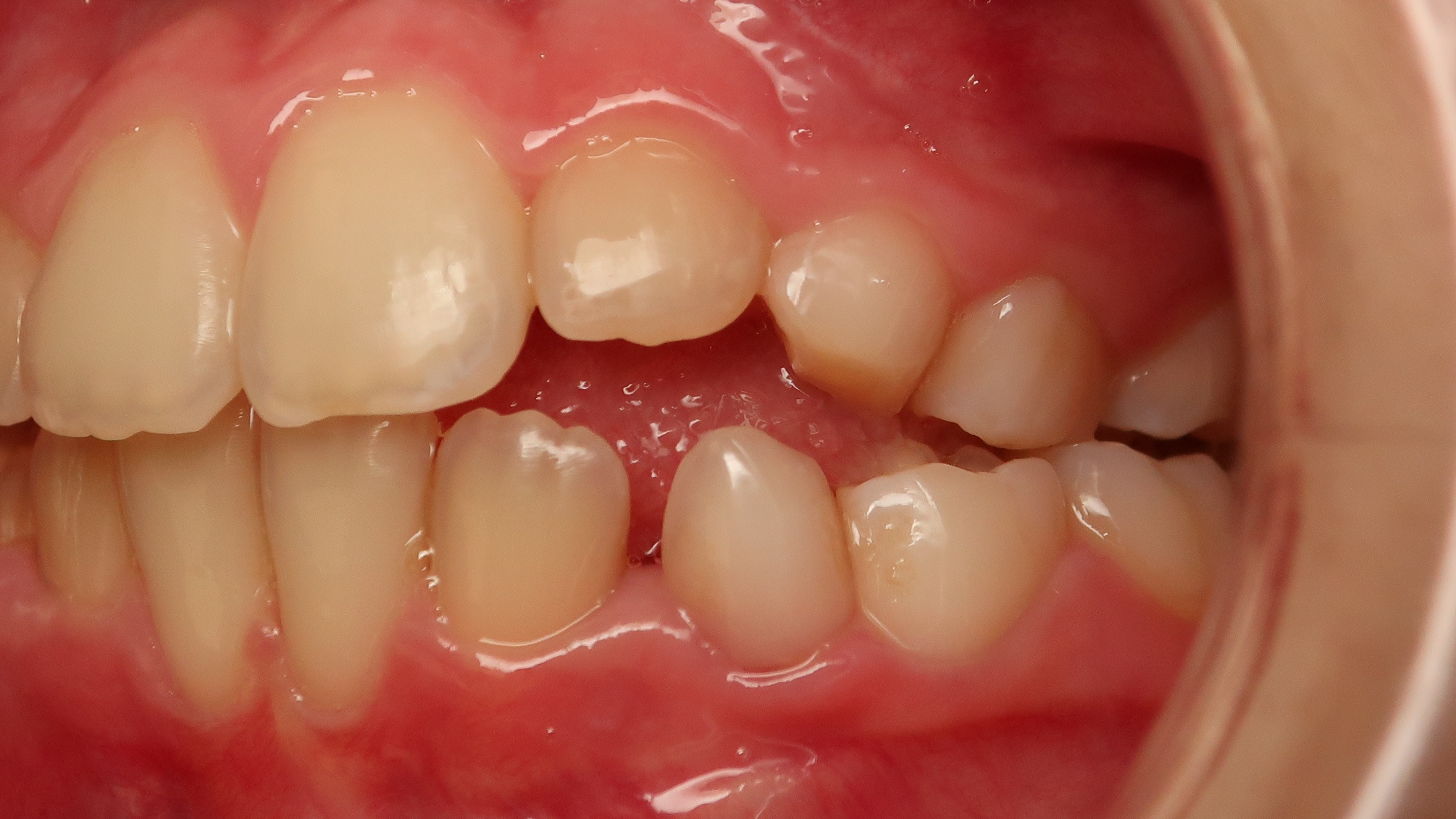
inversion postérieur coté droit et espace entre l'arcade du haut et du bas (béance)
appareillage mobile pendant 5 mois
surveillance évolution de la dentition pendant 27 mois
appareillage mobile pendant 14 mois
sectionnel multibagues pendant 8 mois
surveillance évolution de la dentition en cours
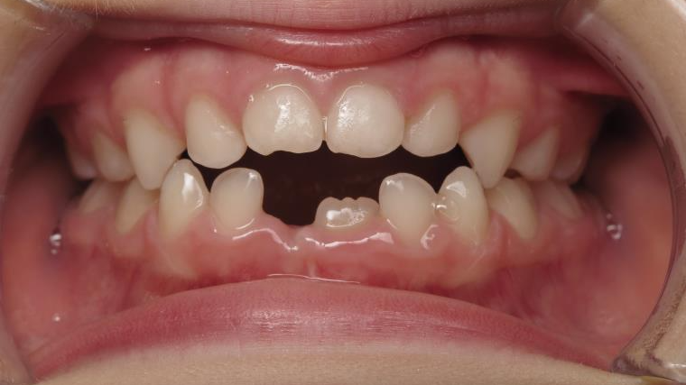
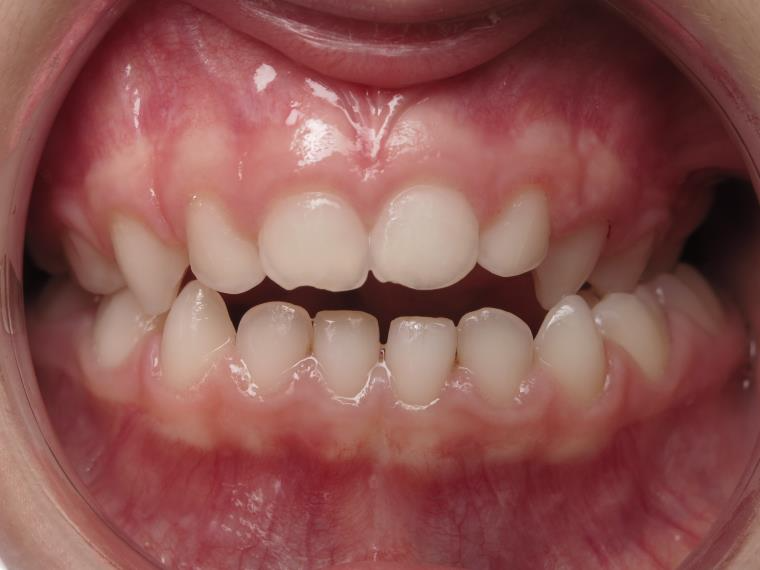
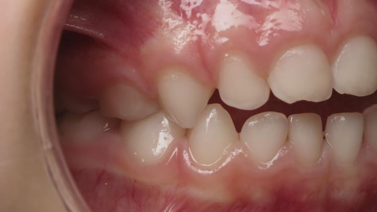
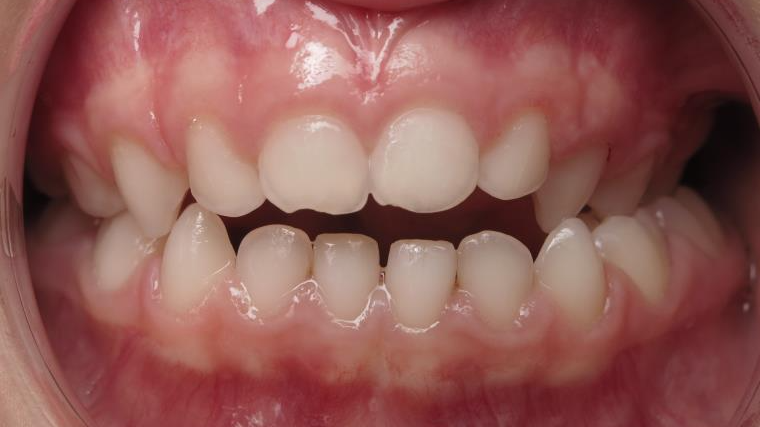
bilan début et en cours de traitement
bilan des radiographies début et en cours de traitement