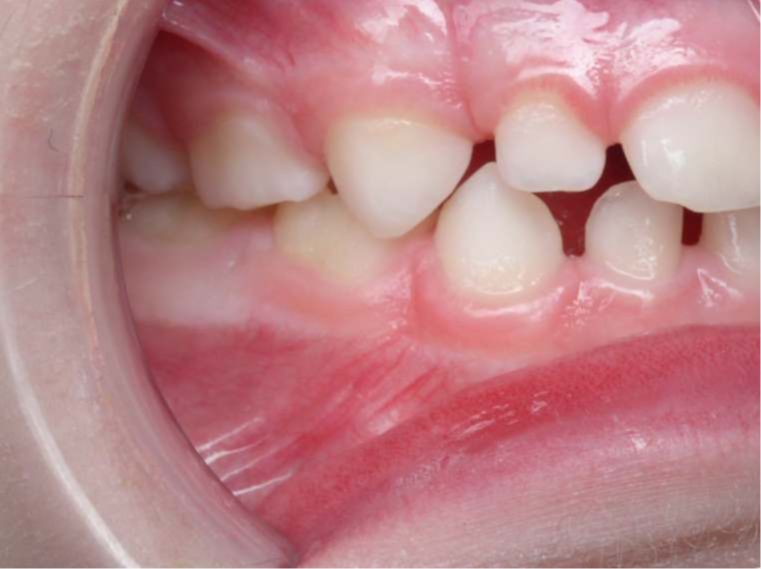
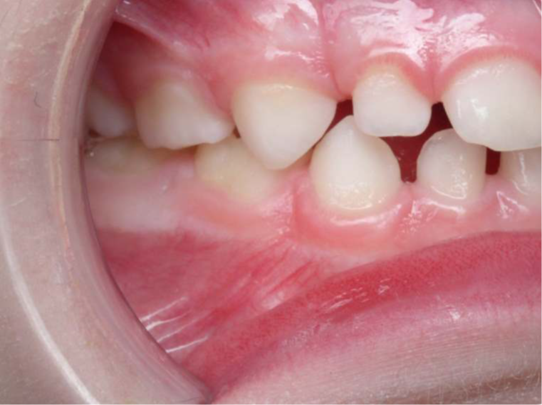
4.supraclusion inversé gauche 4 ans

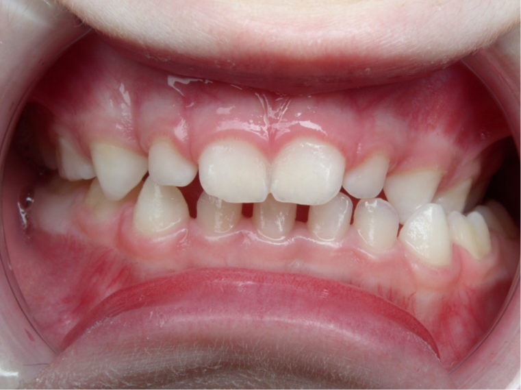
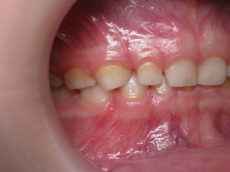
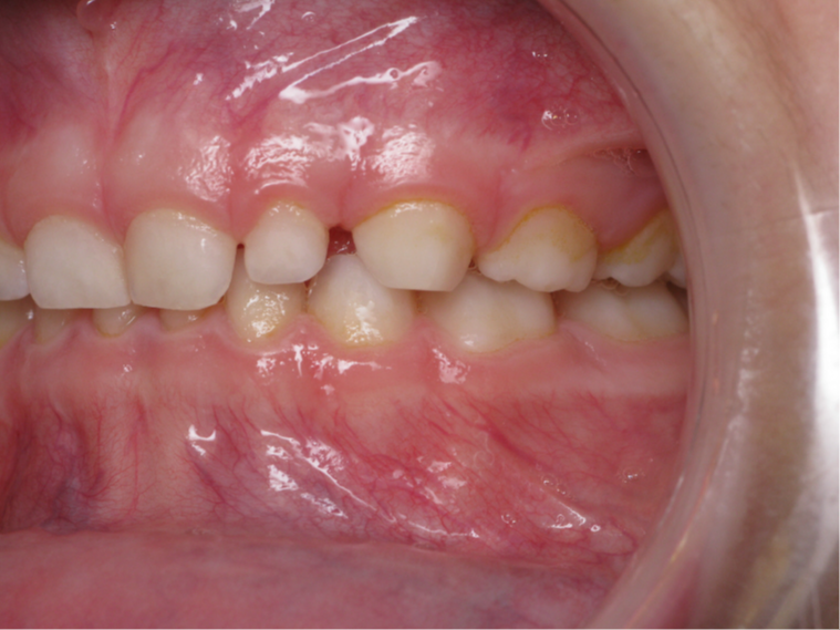
Sélectionnez les différentes étapes du traitement pour comparer et analyser la dentition du cas clinique.

inversion des dents postérieur coté gauche
appareillage mobile pendant 7 mois
attente évolution pendant 8 ans
traitement actif multibagues
maintien de la dentition par gouttières nocturne
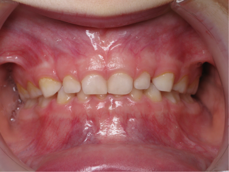
bilan début et fin de traitement
bilan des radiographies début et fin de traitement