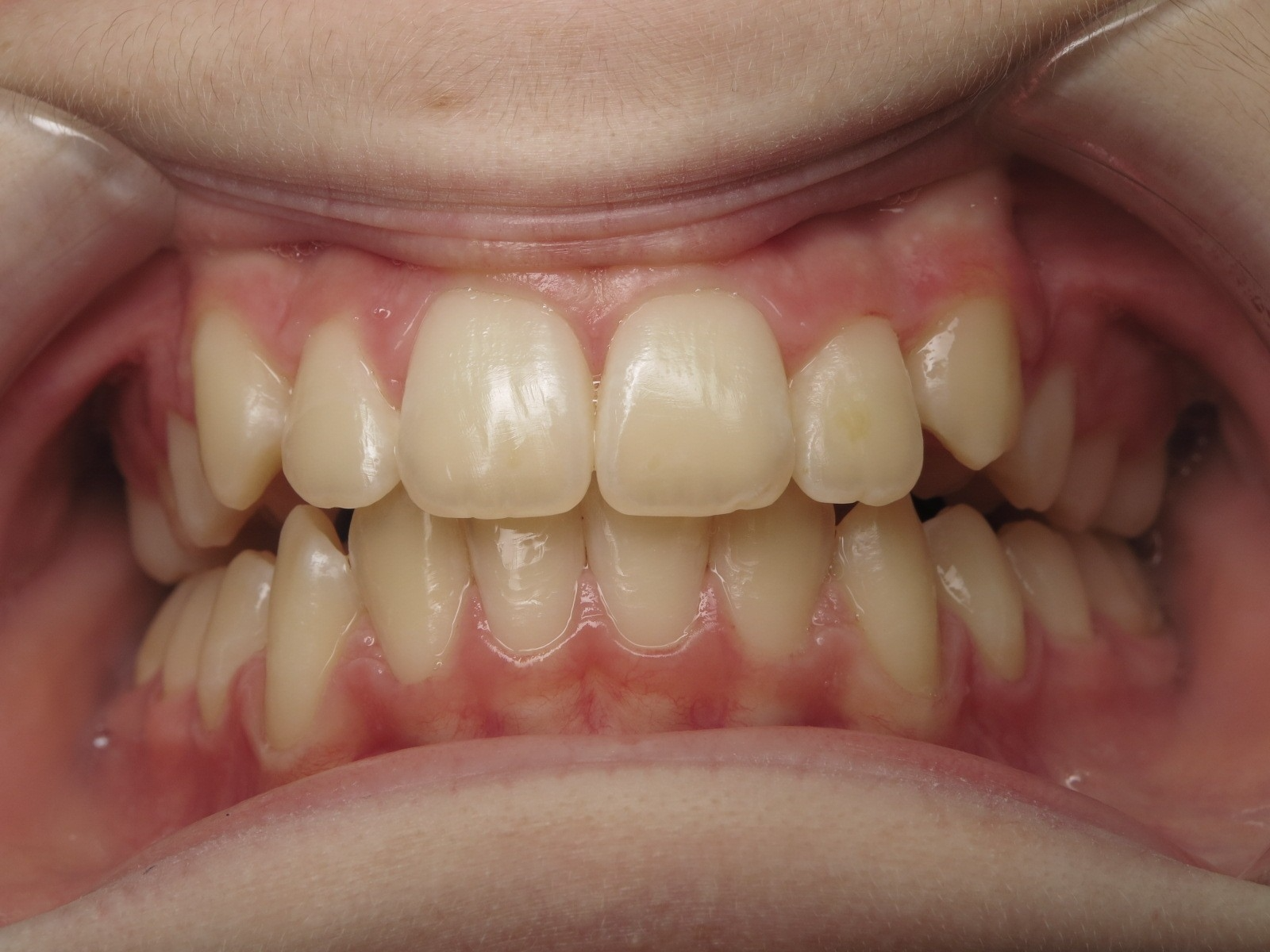
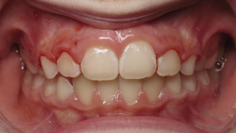
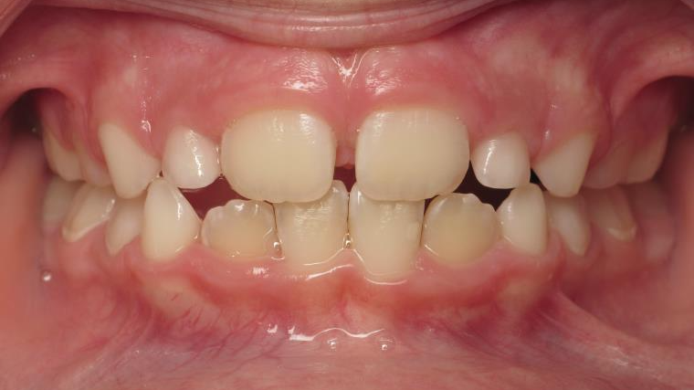
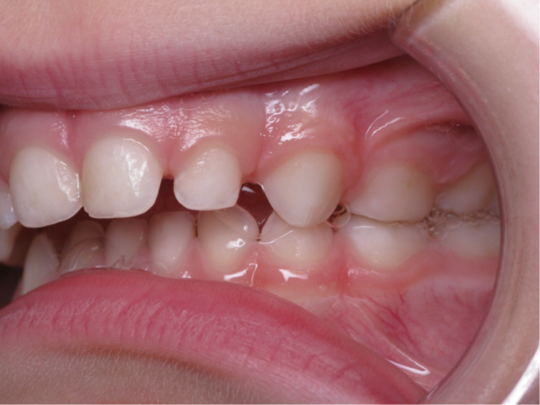
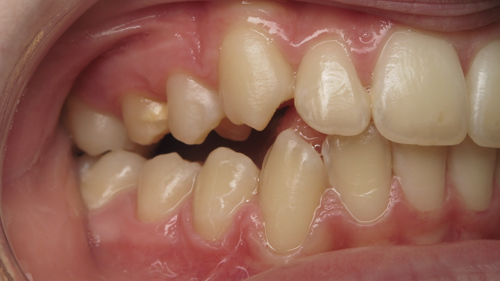
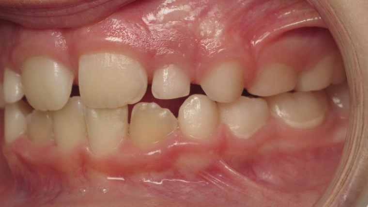
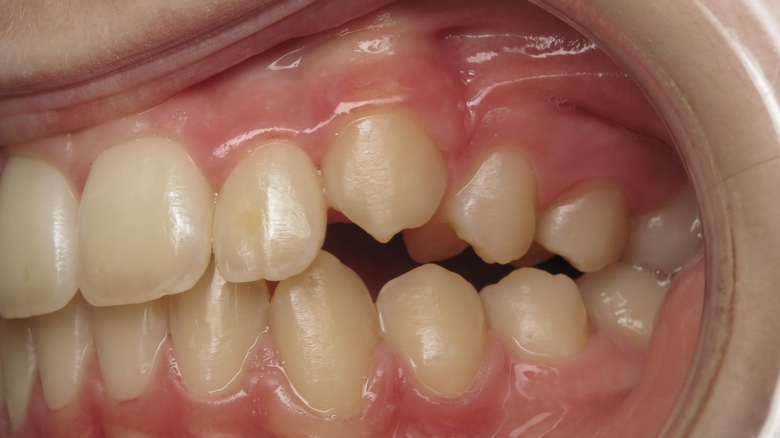
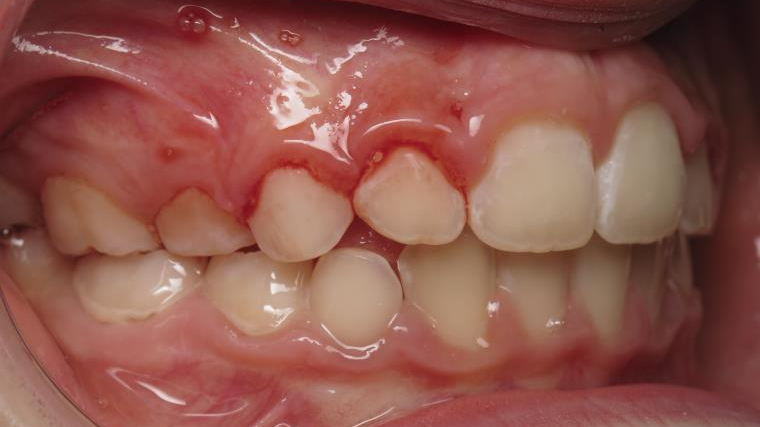
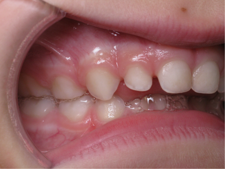
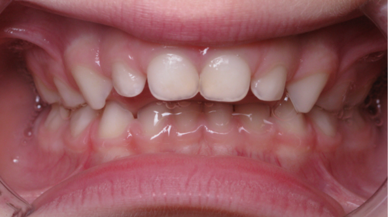
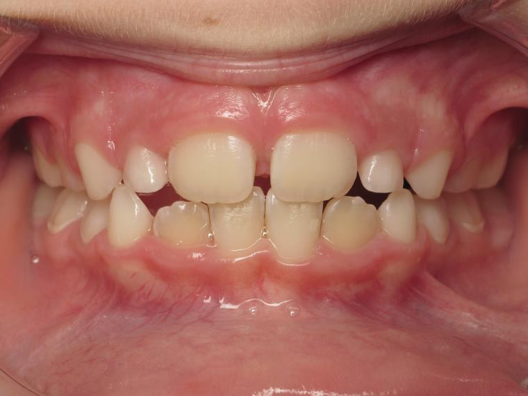
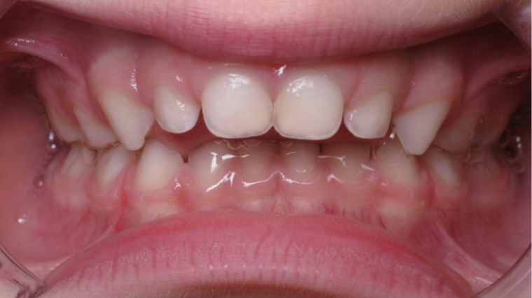
6 décalage sagittal 5 ans

Sélectionnez les différentes étapes du traitement pour comparer et analyser la dentition du cas clinique.

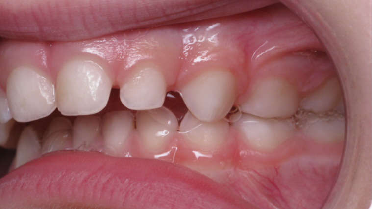
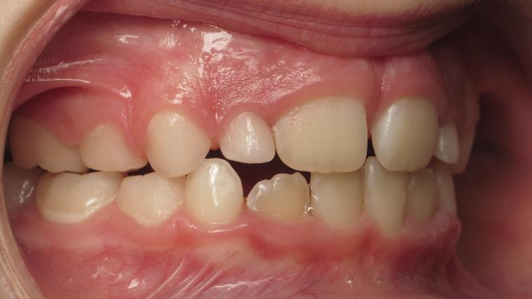
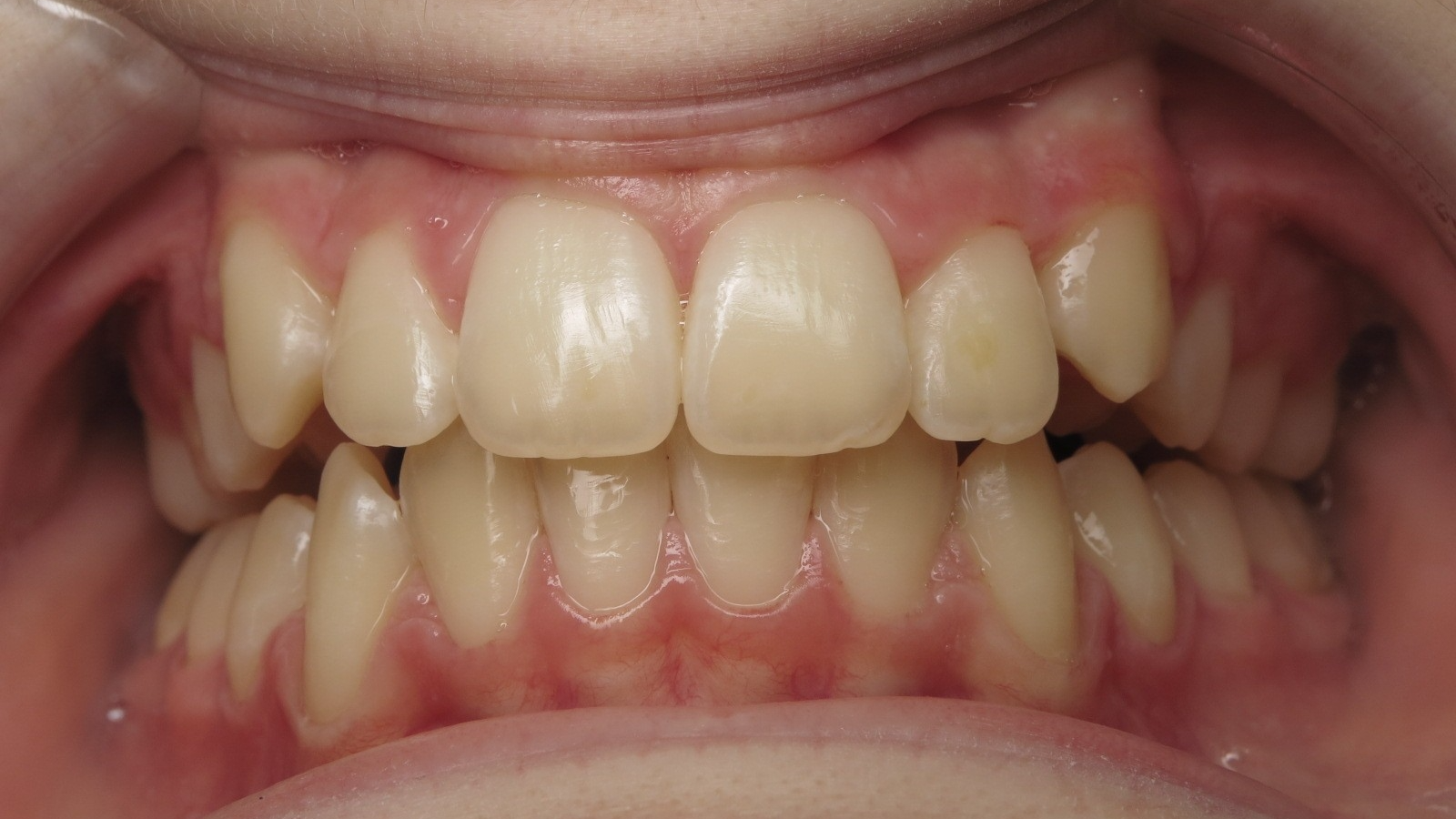
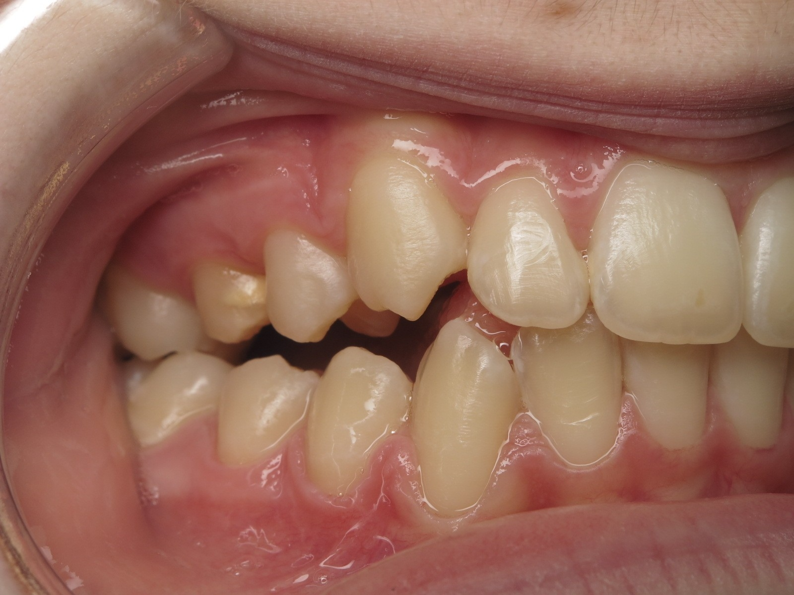
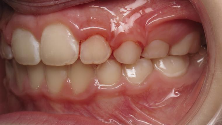
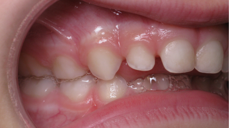
Décalage entre les dents d avant en arrière
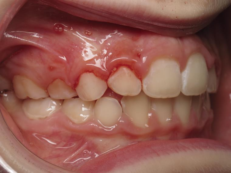
appareillage mobile
sectionnel multibagues
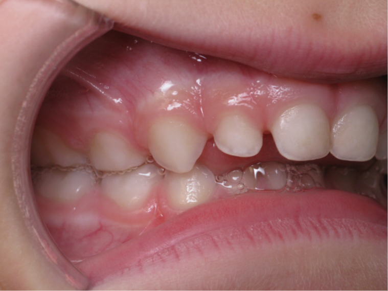
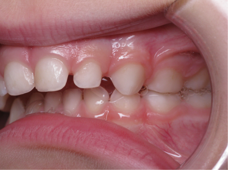
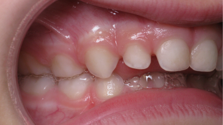
surveillance évolution de la dentition pendant 4 ans
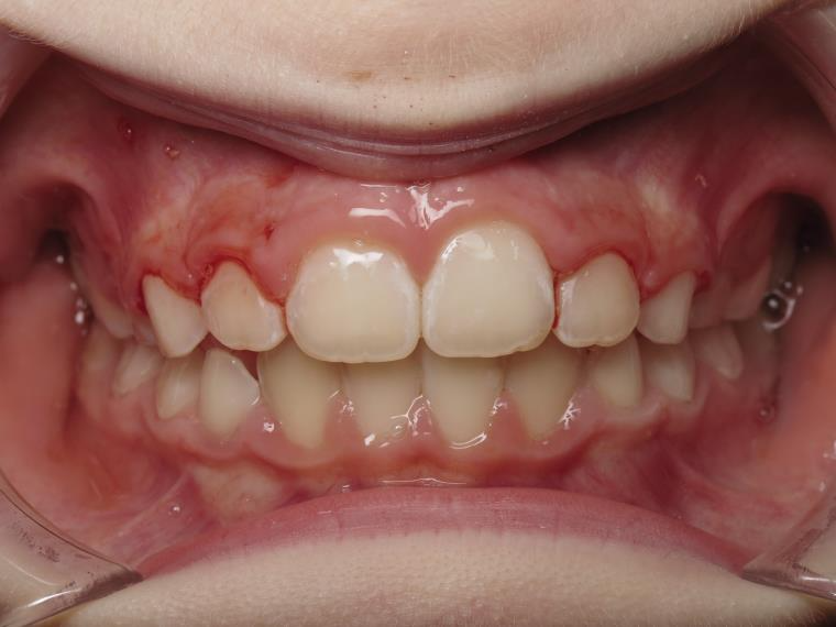
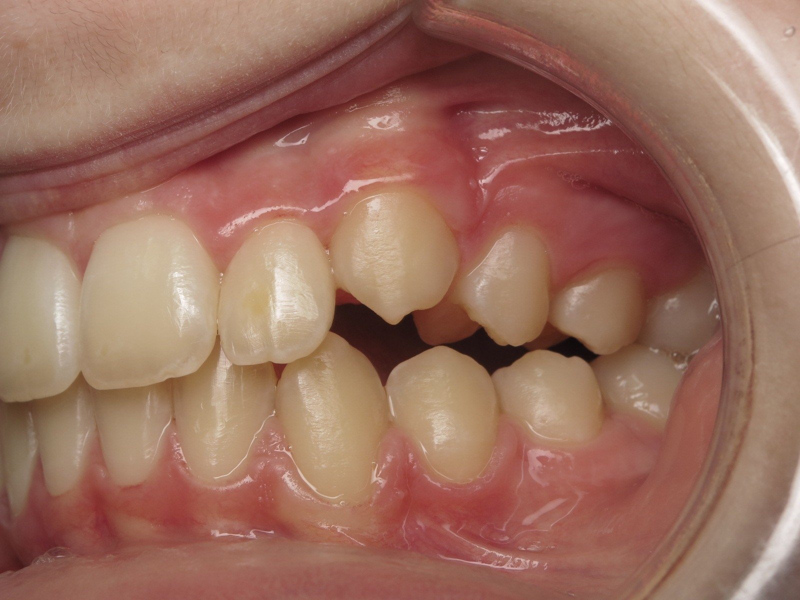
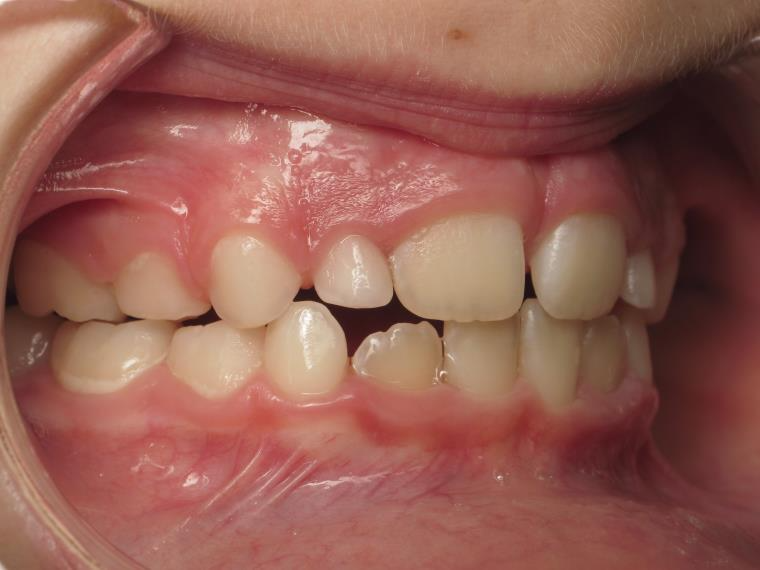
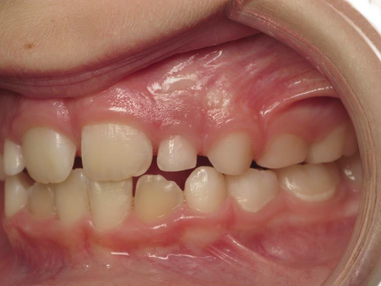
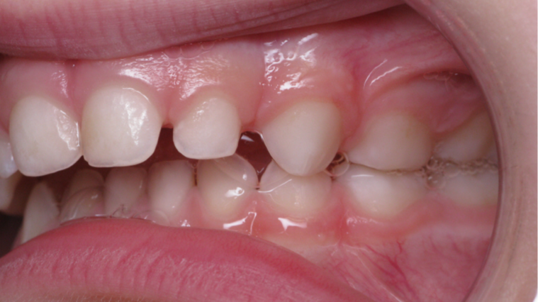
bilan début fin de traitement
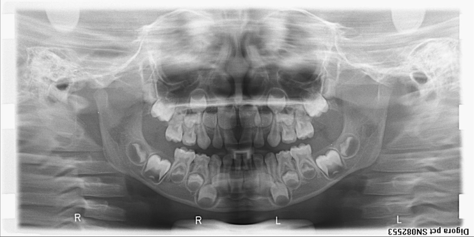
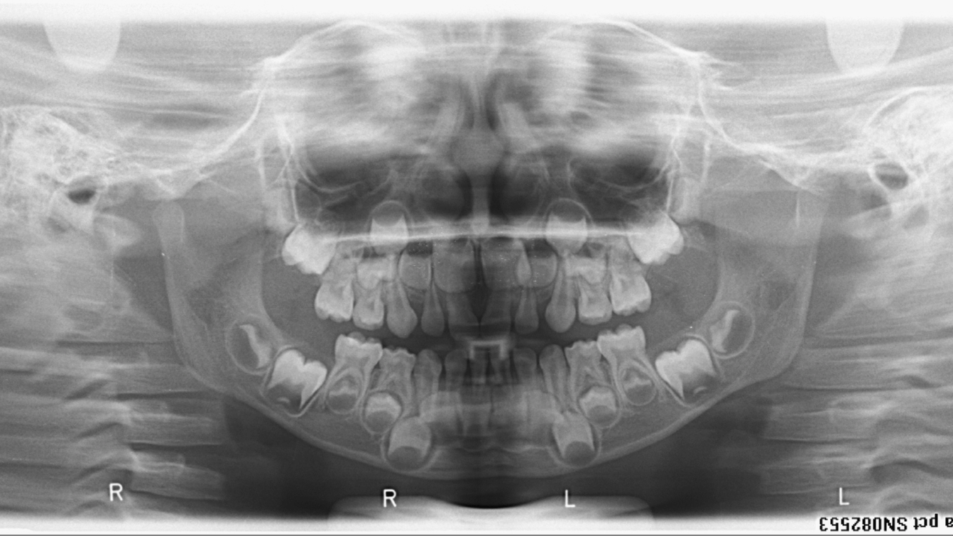
bilan des radiographies début et fin de traitement