Recherche par sous-famille de DECALAGE SAGITTAL
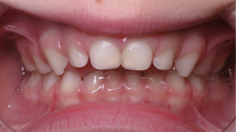
Sélectionnez votre type de dentition, puis comparez-la à la normalité située au centre de la grille. Ensuite, cliquez sur la sous-famille qui correspond le mieux à votre dentition.
Sélectionnez votre type de dentition, puis comparez-la à la normalité située au centre de la grille. Ensuite, cliquez sur la sous-famille qui correspond le mieux à votre dentition.